• 文献检索
  • 文档翻译
  • 深度研究
  • 学术资讯
  • Suppr Zotero 插件Zotero 插件
  • 邀请有礼
  • 套餐&价格
  • 历史记录
应用&插件
Suppr Zotero 插件Zotero 插件浏览器插件Mac 客户端Windows 客户端微信小程序
定价
高级版会员购买积分包购买API积分包
服务
文献检索文档翻译深度研究API 文档MCP 服务
关于我们
关于 Suppr公司介绍联系我们用户协议隐私条款
关注我们

Suppr 超能文献

核心技术专利:CN118964589B侵权必究
粤ICP备2023148730 号-1Suppr @ 2026

文献检索

告别复杂PubMed语法,用中文像聊天一样搜索,搜遍4000万医学文献。AI智能推荐,让科研检索更轻松。

立即免费搜索

文件翻译

保留排版,准确专业,支持PDF/Word/PPT等文件格式,支持 12+语言互译。

免费翻译文档

深度研究

AI帮你快速写综述,25分钟生成高质量综述,智能提取关键信息,辅助科研写作。

立即免费体验

一种评估冷冻切片和石蜡切片中心肌纤维化的一站式方案。

A One-Stop Protocol to Assess Myocardial Fibrosis in Frozen and Paraffin Sections.

作者信息

Sridharan Divya, Pracha Nooruddin, Dougherty Julie A, Akhtar Ali, Alvi Syed Baseeruddin, Khan Mahmood

机构信息

Department of Emergency Medicine, The Ohio State University, Columbus, OH 43210, USA.

Department of Physiology and Cell Biology, The Ohio State University, Columbus, OH 43210, USA.

出版信息

Methods Protoc. 2022 Jan 27;5(1):13. doi: 10.3390/mps5010013.

DOI:10.3390/mps5010013
PMID:35200529
原文链接:https://pmc.ncbi.nlm.nih.gov/articles/PMC8877130/
Abstract

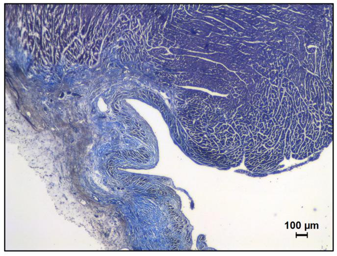
Masson's Trichrome Staining (MTS) is a useful tool for analyzing fibrosis in a plethora of disease pathologies by differential staining of tissue components. It is used to identify collagen fibers in different tissues like heart, lung, skin, and muscles. Especially in cardiac fibrosis, MTS stains the collagen fibers (blue color), which helps in the distinction of scar area versus the healthy area (red color). However, there are several challenges to stain both paraffin-embedded sections and frozen (cryosections) using a single protocol. Therefore, the goal of this study was to develop a simple short protocol to assess cardiac fibrosis in both paraffin-embedded and cryo heart sections. MTS uses three different stains, i.e., Weigert's Iron Hematoxylin, Biebrich scarlet-acid fuchsin, and aniline blue to detect nuclei, cytoplasm, and collagen, respectively. In this study, we developed a simple short protocol that can be adapted by any lab to easily assess cardiac fibrosis in paraffin and frozen heart sections. Furthermore, we have addressed the challenges that are commonly faced during the immunostaining process and troubleshooting techniques. Overall, we have successfully developed a simple one-step protocol to assess myocardial fibrosis in paraffin-embedded and frozen cryosections.

摘要

马松三色染色法(MTS)是一种通过对组织成分进行差异染色来分析多种疾病病理中纤维化的有用工具。它用于识别心脏、肺、皮肤和肌肉等不同组织中的胶原纤维。特别是在心脏纤维化中,MTS可将胶原纤维染成蓝色,这有助于区分瘢痕区域和健康区域(红色)。然而,使用单一方案对石蜡包埋切片和冷冻切片(冰冻切片)进行染色存在诸多挑战。因此,本研究的目的是开发一种简单的简短方案,以评估石蜡包埋和冷冻心脏切片中的心脏纤维化。MTS使用三种不同的染料,即魏格特铁苏木精、比布里希猩红酸性品红和苯胺蓝,分别用于检测细胞核、细胞质和胶原。在本研究中,我们开发了一种简单的简短方案,任何实验室都可以采用该方案轻松评估石蜡和冷冻心脏切片中的心脏纤维化。此外,我们还解决了免疫染色过程中常见的挑战及故障排除技术。总体而言,我们成功开发了一种简单的一步方案,用于评估石蜡包埋和冷冻冰冻切片中的心肌纤维化。

https://cdn.ncbi.nlm.nih.gov/pmc/blobs/fe8c/8877130/28b08177405e/mps-05-00013-g001.jpg
https://cdn.ncbi.nlm.nih.gov/pmc/blobs/fe8c/8877130/165ba4d7c460/mps-05-00013-g0A1.jpg
https://cdn.ncbi.nlm.nih.gov/pmc/blobs/fe8c/8877130/f82ec23ae084/mps-05-00013-g0A2.jpg
https://cdn.ncbi.nlm.nih.gov/pmc/blobs/fe8c/8877130/28b08177405e/mps-05-00013-g001.jpg
https://cdn.ncbi.nlm.nih.gov/pmc/blobs/fe8c/8877130/165ba4d7c460/mps-05-00013-g0A1.jpg
https://cdn.ncbi.nlm.nih.gov/pmc/blobs/fe8c/8877130/f82ec23ae084/mps-05-00013-g0A2.jpg
https://cdn.ncbi.nlm.nih.gov/pmc/blobs/fe8c/8877130/28b08177405e/mps-05-00013-g001.jpg

相似文献

1
A One-Stop Protocol to Assess Myocardial Fibrosis in Frozen and Paraffin Sections.一种评估冷冻切片和石蜡切片中心肌纤维化的一站式方案。
Methods Protoc. 2022 Jan 27;5(1):13. doi: 10.3390/mps5010013.
2
Staining efficacy assessment of a differential routine and special stains for pathological stromal calcifications in maxillofacial lesions.评估口腔颌面部病变中不同常规和特殊染色法对病理性间质钙化的染色效果。
J Histotechnol. 2020 Sep;43(3):118-124. doi: 10.1080/01478885.2020.1739192. Epub 2020 Mar 10.
3
Aggrandizing oral submucous fibrosis grading using an adjunct special stain: A pilot study.使用辅助特殊染色法强化口腔黏膜下纤维化分级:一项初步研究。
J Oral Maxillofac Pathol. 2016 Jan-Apr;20(1):36-46. doi: 10.4103/0973-029X.180925.
4
A combination Verhoeff's elastic and Masson's trichrome stain for routine histology.用于常规组织学的Verhoeff弹性染色和Masson三色染色组合。
Stain Technol. 1982 Jul;57(4):207-10. doi: 10.3109/10520298209066710.
5
Development of an optimal protocol for antigen retrieval: a 'test battery' approach exemplified with reference to the staining of retinoblastoma protein (pRB) in formalin-fixed paraffin sections.抗原修复最佳方案的制定:以福尔马林固定石蜡切片中视网膜母细胞瘤蛋白(pRB)染色为例的“测试组合”方法
J Pathol. 1996 Jul;179(3):347-52. doi: 10.1002/(SICI)1096-9896(199607)179:3<347::AID-PATH559>3.0.CO;2-L.
6
Histochemical and biochemical analysis of collagen content in formalin-fixed, paraffin embedded colonic samples.福尔马林固定、石蜡包埋结肠样本中胶原蛋白含量的组织化学和生化分析。
MethodsX. 2023 Oct 8;11:102416. doi: 10.1016/j.mex.2023.102416. eCollection 2023 Dec.
7
Lung Section Staining and Microscopy.肺部切片染色与显微镜检查。
Bio Protoc. 2017 May 20;7(10). doi: 10.21769/BioProtoc.2286.
8
Application of standard micro-anatomical staining methods to epoxy resin-embedded sections.标准显微解剖染色方法在环氧树脂包埋切片上的应用。
J Clin Pathol. 1969 Sep;22(5):589-92. doi: 10.1136/jcp.22.5.589.
9
Delineation of the healthy rabbit heart by immunohistochemistry - A technical note.通过免疫组织化学描绘健康兔心脏——技术说明。
Acta Histochem. 2023 Jan;125(1):151993. doi: 10.1016/j.acthis.2022.151993. Epub 2022 Dec 28.
10
Comparison of staining adequacy between tissues stored in formalin and paraffin embedded blocks for prolonged duration.长期保存在福尔马林中的组织与石蜡包埋块之间染色充分性的比较。
J Oral Maxillofac Pathol. 2020 Sep-Dec;24(3):586. doi: 10.4103/jomfp.JOMFP_49_20. Epub 2021 Jan 9.

引用本文的文献

1
The Inhibition of Prolyl Endopeptidase (PREP) by KYP-2047 Treatment to Reduce Myocardial Ischemia/Reperfusion Injury.KYP-2047治疗通过抑制脯氨酰内肽酶(PREP)减轻心肌缺血/再灌注损伤
Antioxidants (Basel). 2025 Apr 8;14(4):442. doi: 10.3390/antiox14040442.
2
In silico, in vitro, and in vivo assessment of chitosan-diltiazem nanoparticles against pulmonary fibrosis.壳聚糖-地尔硫䓬纳米颗粒抗肺纤维化的计算机模拟、体外及体内评估
Ther Deliv. 2025 Jun;16(6):555-568. doi: 10.1080/20415990.2025.2478803. Epub 2025 Mar 24.
3
Overexpression of Wild-Type TMEM43 Improves Cardiac Function in Arrhythmogenic Right Ventricular Cardiomyopathy Type 5.

本文引用的文献

1
Influence of the distribution of fibrosis within an area of myocardial infarction on wave propagation in ventricular tissue.心肌梗死区域内纤维化分布对心室组织中波传播的影响。
Sci Rep. 2019 Oct 2;9(1):14151. doi: 10.1038/s41598-019-50478-5.
2
Cardiac fibrosis - A short review of causes and therapeutic strategies.心肌纤维化——病因和治疗策略简述。
Adv Drug Deliv Rev. 2019 Jun;146:77-82. doi: 10.1016/j.addr.2019.05.011. Epub 2019 May 31.
3
Understanding myocardial infarction.了解心肌梗死。
野生型TMEM43的过表达改善5型致心律失常性右室心肌病的心脏功能。
Circ Res. 2025 Apr 11;136(8):830-844. doi: 10.1161/CIRCRESAHA.124.325848. Epub 2025 Mar 17.
4
promotes fertility and pregnancy outcomes in Rat model of uterine adhesions.在大鼠子宫粘连模型中促进生育能力和妊娠结局。
Front Pharmacol. 2025 Jan 27;15:1496136. doi: 10.3389/fphar.2024.1496136. eCollection 2024.
5
The Use of Autologous Omentum Transposition as a Therapeutic Intervention to Reduce the Complication of Ischemia/Reperfusion Injuries in a Rat Model.自体大网膜转位作为一种治疗干预措施以减少大鼠模型中缺血/再灌注损伤并发症的应用。
Can J Kidney Health Dis. 2024 Nov 28;11:20543581241300773. doi: 10.1177/20543581241300773. eCollection 2024.
6
The methyltransferase MLL4 promotes nonalcoholic steatohepatitis by enhancing NF-κB signaling.甲基转移酶MLL4通过增强NF-κB信号传导促进非酒精性脂肪性肝炎。
J Biol Chem. 2024 Dec;300(12):107984. doi: 10.1016/j.jbc.2024.107984. Epub 2024 Nov 13.
7
Oenothera biennis improves pregnancy outcomes by suppressing inflammation and fibrosis in an intra-uterine adhesion rat model.月见草通过抑制宫腔粘连大鼠模型中的炎症和纤维化来改善妊娠结局。
Sci Rep. 2024 Sep 27;14(1):22376. doi: 10.1038/s41598-024-69488-z.
8
Open thoracic surgical implantation of cardiac pacemakers in rats.开胸手术在大鼠体内植入心脏起搏器。
Nat Protoc. 2023 Feb;18(2):374-395. doi: 10.1038/s41596-022-00770-y. Epub 2022 Nov 21.
9
Comparative Evaluation of Inducible Cre Mouse Models for Fibroblast Targeting in the Healthy and Infarcted Myocardium.用于健康和梗死心肌中靶向成纤维细胞的诱导型Cre小鼠模型的比较评估
Biomedicines. 2022 Sep 21;10(10):2350. doi: 10.3390/biomedicines10102350.
F1000Res. 2018 Sep 3;7. doi: 10.12688/f1000research.15096.1. eCollection 2018.
4
Kinetic alterations of collagen and elastic fibres and their association with cardiac function in acute myocardial infarction.急性心肌梗死中心脏功能与胶原和弹性纤维的动力学改变及其相关性。
Mol Med Rep. 2018 Mar;17(3):3519-3526. doi: 10.3892/mmr.2017.8347. Epub 2017 Dec 27.
5
Folic acid prevents cardiac dysfunction and reduces myocardial fibrosis in a mouse model of high-fat diet-induced obesity.在高脂饮食诱导的肥胖小鼠模型中,叶酸可预防心脏功能障碍并减少心肌纤维化。
Nutr Metab (Lond). 2017 Nov 2;14:68. doi: 10.1186/s12986-017-0224-0. eCollection 2017.
6
Degradability, biocompatibility, and osteogenesis of biocomposite scaffolds containing nano magnesium phosphate and wheat protein both in vitro and in vivo for bone regeneration.含纳米磷酸镁和小麦蛋白的生物复合支架在体外和体内用于骨再生的降解性、生物相容性和成骨作用。
Int J Nanomedicine. 2016 Jul 26;11:3435-49. doi: 10.2147/IJN.S105645. eCollection 2016.
7
Physiological Implications of Myocardial Scar Structure.心肌瘢痕结构的生理意义。
Compr Physiol. 2015 Sep 20;5(4):1877-909. doi: 10.1002/cphy.c140067.
8
Hepatoprotective effect of mulberry (Morus nigra) leaves extract against methotrexate induced hepatotoxicity in male albino rat.黑桑树叶提取物对甲氨蝶呤诱导的雄性白化大鼠肝毒性的保肝作用
BMC Complement Altern Med. 2015 Jul 25;15:252. doi: 10.1186/s12906-015-0744-y.
9
Strategies for cardiac regeneration and repair.心脏再生与修复策略。
Sci Transl Med. 2014 Jun 4;6(239):239rv1. doi: 10.1126/scitranslmed.3006681.
10
Cardiac hypertrophy associated with myeloproliferative neoplasms in JAK2V617F transgenic mice.JAK2V617F 转基因小鼠中的骨髓增生性肿瘤相关心肌肥厚。
J Hematol Oncol. 2014 Mar 19;7:25. doi: 10.1186/1756-8722-7-25.