Suppr超能文献

腹壁无菌性脓肿伴单克隆丙种球蛋白病,酷似直肠癌局部复发:一例报告

Aseptic abscess in the abdominal wall accompanied by monoclonal gammopathy simulating the local recurrence of rectal cancer: A case report.

作者信息

Yu Yan, Feng Yong-Dong, Zhang Chao, Li Ran, Tian De-An, Huang Huan-Jun

机构信息

Department of Gastroenterology, Tongji Hospital, Tongji Medical College, Huazhong University of Science and Technology, Wuhan 430030, Hubei Province, China.

Department of Gastrointestinal Surgery Center, Tongji Hospital, Tongji Medical College, Huazhong University of Science and Technology, Wuhan 430030, Hubei Province, China.

出版信息

World J Clin Cases. 2022 Feb 16;10(5):1702-1708. doi: 10.12998/wjcc.v10.i5.1702.

Abstract

BACKGROUND

Infectious abscesses in the abdominal wall can be secondary to retained foreign bodies ( stones, use of artificial mesh, use of silk yarn in surgical suture), inflammatory diseases (., acute appendicitis), and perforated malignancies of the digestive tract (particularly the colon). Aseptic abscesses (AAs) are relatively rare. To the best of our knowledge, this is the first report of an AA in the abdominal wall accompanied by monoclonal gammopathy of undetermined significance (MGUS) at 5 years after laparoscopic proctectomy.

CASE SUMMARY

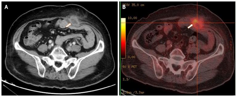
A 72-year-old female patient presented with an enlarged painless mass in the lower abdomen for 1 year. She had a history of obesity, diabetes, and MGUS. Her surgical history was laparoscopic resection for rectal cancer 6 years prior, followed by chemotherapy. She was afebrile. Abdominal examination revealed a smooth abdomen with a clinically palpable solid mass under a laparotomy scar in the left lower quadrant. No obvious tenderness or skin redness was spotted. Laboratory data were not remarkable. Computed tomography scan revealed a low-density mass of 4.8 cm in diameter in the lower abdominal wall, which showed high uptake on positron emission tomography. The preoperative diagnosis was an abscess or tumor, and surgical resection was recommended. The mass was confirmed to be an AA by microbiological and pathological examinations. The patient recovered well after surgery. There was no evidence of recurrence 2 years later.

CONCLUSION

It is important to consider underlying conditions (diabetes, chemotherapy, MGUS) which may contribute to AA formation in the surgical wound.

摘要

背景

腹壁感染性脓肿可能继发于异物残留(结石、使用人工网片、手术缝合中使用丝线)、炎症性疾病(如急性阑尾炎)以及消化道穿孔性恶性肿瘤(尤其是结肠癌)。无菌性脓肿(AA)相对少见。据我们所知,这是首例腹腔镜直肠切除术后5年腹壁出现AA并伴有意义未明的单克隆丙种球蛋白病(MGUS)的报告。

病例摘要

一名72岁女性患者,下腹部出现无痛性肿块增大1年。她有肥胖、糖尿病和MGUS病史。她的手术史为6年前因直肠癌行腹腔镜切除术,随后进行化疗。她无发热。腹部检查显示腹部光滑,左下腹剖腹手术瘢痕下可触及一个临床可触及的实性肿块。未发现明显压痛或皮肤发红。实验室检查数据无异常。计算机断层扫描显示下腹壁有一个直径4.8 cm的低密度肿块,在正电子发射断层扫描上显示高摄取。术前诊断为脓肿或肿瘤,建议手术切除。经微生物学和病理学检查证实肿块为AA。患者术后恢复良好。2年后无复发迹象。

结论

考虑可能导致手术伤口形成AA的潜在疾病(糖尿病、化疗、MGUS)很重要。

https://cdn.ncbi.nlm.nih.gov/pmc/blobs/9599/8855253/334cf18c3b44/WJCC-10-1702-g001.jpg

文献检索

告别复杂PubMed语法,用中文像聊天一样搜索,搜遍4000万医学文献。AI智能推荐,让科研检索更轻松。

立即免费搜索

文件翻译

保留排版,准确专业,支持PDF/Word/PPT等文件格式,支持 12+语言互译。

免费翻译文档

深度研究

AI帮你快速写综述,25分钟生成高质量综述,智能提取关键信息,辅助科研写作。

立即免费体验