Suppr超能文献

用GP1而非展示孤立受体结合表位的类核心颗粒进行免疫接种可引发针对胡宁病毒的病毒中和抗体。

Immunization with GP1 but Not Core-like Particles Displaying Isolated Receptor-Binding Epitopes Elicits Virus-Neutralizing Antibodies against Junín Virus.

作者信息

Roman-Sosa Gleyder, Leske Anne, Ficht Xenia, Dau Tung Huy, Holzerland Julia, Hoenen Thomas, Beer Martin, Kammerer Robert, Schirmbeck Reinhold, Rey Felix A, Cordo Sandra M, Groseth Allison

机构信息

Department of Internal Medicine I, Ulm University Hospital, 89081 Ulm, Germany.

Laboratory for Arenavirus Biology, Institute of Molecular Virology and Cell Biology, Friedrich-Loeffler-Institut, 17493 Greifswald, Germany.

出版信息

Vaccines (Basel). 2022 Jan 22;10(2):173. doi: 10.3390/vaccines10020173.

Abstract

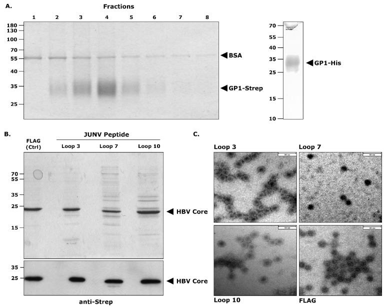
New World arenaviruses are rodent-transmitted viruses and include a number of pathogens that are responsible for causing severe human disease. This includes Junín virus (JUNV), which is the causative agent of Argentine hemorrhagic fever. The wild nature and mobility of the rodent reservoir host makes it difficult to control the disease, and currently passive immunization with high-titer neutralizing antibody-containing plasma from convalescent patients is the only specific therapy. However, dwindling supplies of naturally available convalescent plasma, and challenges in developing similar resources for other closely related viruses, have made the development of alternative antibody-based therapeutic approaches of critical importance. In this study, we sought to induce a neutralizing antibody response in rabbits against the receptor-binding subunit of the viral glycoprotein, GP1, and the specific peptide sequences in GP1 involved in cellular receptor contacts. While these specific receptor-interacting peptides did not efficiently induce the production of neutralizing antibodies when delivered as a particulate antigen (as part of hepatitis B virus core-like particles), we showed that recombinant JUNV GP1 purified from transfected mammalian cells induced virus-neutralizing antibodies at high titers in rabbits. Further, neutralization was observed across a range of unrelated JUNV strains, a feature that is critical for effectiveness in the field. These results underscore the potential of GP1 alone to induce a potent neutralizing antibody response and highlight the importance of epitope presentation. In addition, effective virus neutralization by rabbit antibodies supports the potential applicability of this species for the future development of immunotherapeutics (e.g., based on humanized monoclonal antibodies). Such information can be applied in the design of vaccines and immunogens for both prevention and specific therapies against this and likely also other closely related pathogenic New World arenaviruses.

摘要

新大陆沙粒病毒是由啮齿动物传播的病毒,包括一些可导致人类严重疾病的病原体。这其中包括胡宁病毒(JUNV),它是阿根廷出血热的病原体。啮齿动物储存宿主的野生特性和流动性使得控制该疾病变得困难,目前,使用来自康复患者的含有高滴度中和抗体的血浆进行被动免疫是唯一的特异性治疗方法。然而,天然可用的康复血浆供应日益减少,以及为其他密切相关病毒开发类似资源面临挑战,使得开发基于抗体的替代治疗方法变得至关重要。在本研究中,我们试图在兔子体内诱导针对病毒糖蛋白受体结合亚基GP1以及GP1中参与细胞受体接触的特定肽序列的中和抗体反应。虽然这些特定的受体相互作用肽作为颗粒抗原(作为乙肝病毒核心样颗粒的一部分)递送时不能有效地诱导中和抗体的产生,但我们表明,从转染的哺乳动物细胞中纯化的重组JUNV GP1能在兔子体内诱导出高滴度的病毒中和抗体。此外,在一系列不相关的JUNV毒株中均观察到了中和作用,这一特性对于在实际应用中的有效性至关重要。这些结果强调了单独的GP1诱导有效中和抗体反应的潜力,并突出了表位呈递的重要性。此外,兔子抗体的有效病毒中和作用支持了该物种在免疫治疗(例如基于人源化单克隆抗体)未来发展中的潜在适用性。此类信息可应用于疫苗和免疫原的设计,用于预防和针对这种以及可能其他密切相关的致病性新大陆沙粒病毒的特异性治疗。

https://cdn.ncbi.nlm.nih.gov/pmc/blobs/274d/8874384/91b46aa12b1f/vaccines-10-00173-g001.jpg

文献检索

告别复杂PubMed语法,用中文像聊天一样搜索,搜遍4000万医学文献。AI智能推荐,让科研检索更轻松。

立即免费搜索

文件翻译

保留排版,准确专业,支持PDF/Word/PPT等文件格式,支持 12+语言互译。

免费翻译文档

深度研究

AI帮你快速写综述,25分钟生成高质量综述,智能提取关键信息,辅助科研写作。

立即免费体验