Suppr超能文献

一只食蟹猴发生自发性自身免疫性皮肤病的病例()。 (括号内容原文缺失,无法准确完整翻译)

A case of spontaneous autoimmune skin disease in a cynomolgus monkey ().

作者信息

Onishi Shinichi, Nakagawa Minto, Matsuo Saori, Shinozuka Junko, Hiramatsu Mio, Isobe Takehito, Watanabe Toshihiko, Kato Atsuhiko

机构信息

Translational Research Division, Chugai Pharmaceutical Co., Ltd., 1-135 Komakado, Gotemba, Shizuoka 412-8513, Japan.

Chugai Research Institute for Medical Science, Inc., 1-135, Komakado, Gotemba, Shizuoka 412-8513, Japan.

出版信息

J Toxicol Pathol. 2022 Jan;35(1):103-106. doi: 10.1293/tox.2021-0048. Epub 2021 Oct 16.

Abstract

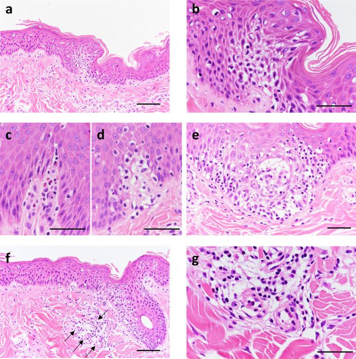
Pemphigus is an autoimmune blistering disease characterized by lesions on the skin and mucous membranes. To date, no spontaneous cases of this disease have been reported in cynomolgus monkeys. This report describes the histopathological characteristics of spontaneous pemphigus in a cynomolgus monkey. Macroscopically, redness and scaling with pruritus were observed on the skin of the entire body. Histopathologically, the epidermis showed intercellular edema, and eosinophils and mononuclear cells infiltrated the epidermis. There was no obvious acantholysis in the epidermis. The perivascular area showed edema, and eosinophils and mononuclear cells infiltrated the vessels in the dermis. Immunohistochemically, the intercellular area in the epidermis was positive for Immunoglobulin G and Complement component 3. Serologically, anti-desmoglein 1 and desmoglein 3 antibodies in the serum were negative. From these findings, this case was diagnosed as an autoimmune skin disease, suspected to be pemphigus, and concluded as lesions being similar to those in human "pemphigus herpetiformis".

摘要

天疱疮是一种自身免疫性水疱病,其特征为皮肤和黏膜出现病变。迄今为止,食蟹猴尚未报道过该疾病的自发病例。本报告描述了一只食蟹猴自发天疱疮的组织病理学特征。肉眼可见,全身皮肤出现发红、脱屑伴瘙痒。组织病理学检查显示,表皮出现细胞间水肿,嗜酸性粒细胞和单核细胞浸润表皮。表皮未见明显棘层松解。血管周围区域出现水肿,嗜酸性粒细胞和单核细胞浸润真皮血管。免疫组化检查显示,表皮细胞间区域免疫球蛋白G和补体成分3呈阳性。血清学检查显示,血清中抗桥粒芯糖蛋白1和桥粒芯糖蛋白3抗体均为阴性。根据这些发现,该病例被诊断为自身免疫性皮肤病,疑似天疱疮,最终结论为病变与人类“疱疹样天疱疮”相似。

https://cdn.ncbi.nlm.nih.gov/pmc/blobs/6a91/8828599/80efaf1dd8fa/tox-35-103-g001.jpg

文献检索

告别复杂PubMed语法,用中文像聊天一样搜索,搜遍4000万医学文献。AI智能推荐,让科研检索更轻松。

立即免费搜索

文件翻译

保留排版,准确专业,支持PDF/Word/PPT等文件格式,支持 12+语言互译。

免费翻译文档

深度研究

AI帮你快速写综述,25分钟生成高质量综述,智能提取关键信息,辅助科研写作。

立即免费体验