Suppr超能文献

急性阑尾炎合并低氧性呼吸衰竭:小儿新型冠状病毒肺炎背景下,支气管腹膜瘘作为阑尾炎的首发症状

Hypoxic respiratory failure in acute appendicitis: A bronchoperitoneal fistula as the presenting symptom of appendicitis in the setting of pediatric COVID-19.

作者信息

Quinn Kristen M, Huang Kevin X, Jones Richard H, Cina Robert A

机构信息

Department of Surgery, Medical University of South Carolina, USA.

Department of Radiology, Medical University of South Carolina Shawn Jenkins Children's Hospital, USA.

出版信息

J Pediatr Surg Case Rep. 2022 Apr;79:102223. doi: 10.1016/j.epsc.2022.102223. Epub 2022 Feb 22.

Abstract

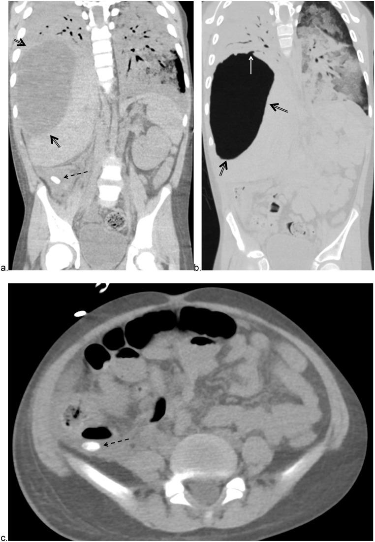
Symptomatic COVID-19 less frequently affects the pediatric population and is often associated with atypical presenting symptoms. Here we describe a nine-year-old patient who presented with acute hypoxic respiratory failure and was found to have perforated appendicitis, intra-abdominal abscess, and bronchoperitoneal fistula. The rapid progression of this pathology, complex critical care decision making, and ultimate surgical management has not been previously described. Documenting this patient's clinical course and effective treatments may serve to inform and guide the medical community and pediatric care providers as the world continues to combat the COVID-19 pandemic.

摘要

有症状的新冠病毒病(COVID-19)较少影响儿童群体,且常伴有非典型的症状表现。在此,我们描述一名9岁患者,该患者出现急性低氧性呼吸衰竭,经检查发现患有阑尾穿孔、腹腔脓肿和支气管腹膜瘘。此前尚未有关于这种病情快速进展、复杂的重症监护决策以及最终手术治疗的描述。记录该患者的临床病程及有效治疗方法,可能有助于在全球继续抗击COVID-19大流行之际,为医学界和儿科护理人员提供信息并给予指导。

https://cdn.ncbi.nlm.nih.gov/pmc/blobs/2e7a/8860748/e1e478947612/gr1_lrg.jpg

文献AI研究员

20分钟写一篇综述,助力文献阅读效率提升50倍。

立即体验

用中文搜PubMed

大模型驱动的PubMed中文搜索引擎

马上搜索

文档翻译

学术文献翻译模型,支持多种主流文档格式。

立即体验