• 文献检索
  • 文档翻译
  • 深度研究
  • 学术资讯
  • Suppr Zotero 插件Zotero 插件
  • 邀请有礼
  • 套餐&价格
  • 历史记录
应用&插件
Suppr Zotero 插件Zotero 插件浏览器插件Mac 客户端Windows 客户端微信小程序
定价
高级版会员购买积分包购买API积分包
服务
文献检索文档翻译深度研究API 文档MCP 服务
关于我们
关于 Suppr公司介绍联系我们用户协议隐私条款
关注我们

Suppr 超能文献

核心技术专利:CN118964589B侵权必究
粤ICP备2023148730 号-1Suppr @ 2026

文献检索

告别复杂PubMed语法,用中文像聊天一样搜索,搜遍4000万医学文献。AI智能推荐,让科研检索更轻松。

立即免费搜索

文件翻译

保留排版,准确专业,支持PDF/Word/PPT等文件格式,支持 12+语言互译。

免费翻译文档

深度研究

AI帮你快速写综述,25分钟生成高质量综述,智能提取关键信息,辅助科研写作。

立即免费体验

肝血管周上皮样细胞肿瘤诊断与治疗的单中心经验

Single-center Experience in the Diagnosis and Treatment of Hepatic Perivascular Epithelioid Cell Neoplasm.

作者信息

Jia Junjun, Luo Jia, Pan Cheng-Gen, Ge Guomei, Feng Meibao, Zou Bei, Liu Li, Zheng Shusen, Yu Jun

机构信息

Division of Hepatobiliary and Pancreatic Surgery, Department of Surgery, The First Affiliated Hospital, Zhejiang University School of Medicine, Hangzhou, Zhejiang, China.

Key Laboratory of Organ Transplantation, Research Center for Diagnosis and Treatment of Hepatobiliary Diseases, Hangzhou, Zhejiang, China.

出版信息

J Clin Transl Hepatol. 2022 Feb 28;10(1):72-79. doi: 10.14218/JCTH.2020.00170. Epub 2021 Jun 21.

DOI:10.14218/JCTH.2020.00170
PMID:35233375
原文链接:https://pmc.ncbi.nlm.nih.gov/articles/PMC8845148/
Abstract

BACKGROUND AND AIMS

Perivascular epithelioid cell neoplasms (PEComas) are a rare type of mesenchymal neoplasm and their preoperative diagnosis is challenging. In this study, we summarized the experience from a single medical center to study the examinations, clinical presentations, and pathological and histological characteristics of PEComas in the liver in order to optimize overall understanding of the diagnosis and treatment of these neoplasms.

METHODS

We conducted a retrospective analysis to investigate the clinical and pathological characteristics as well as imaging presentations of 75 patients diagnosed with hepatic PEComa in The First Affiliated Hospital of Zhejiang University between April 2010 and April 2020.

RESULTS

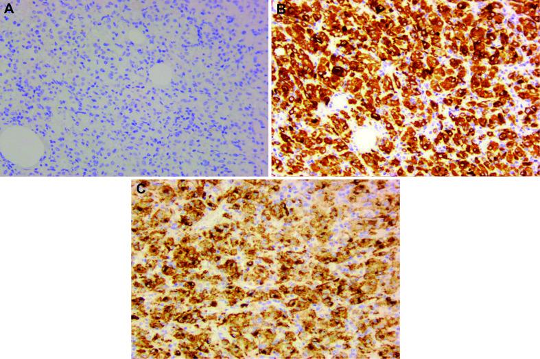
Among the 75 patients, 52 were women, and the median age was 48 years. Most patients had no specific symptoms, and two were admitted to the hospital for a second time owing to relapse. All patients underwent surgical resection. Histologically, 38 patients had classical angiomyolipoma (AML) and 37 had epithelioid AML. The PEComas were accompanied by positive immunohistochemical expression of HMB45, Melan-A, and smooth muscle actin. Follow-up data were obtained from 47 of the total 75 patients, through October 2020. Two patients had metastasis after surgery.

CONCLUSIONS

AML is the most common type of hepatic PEComa. There are no specific symptoms of hepatic PEComa, and serological examinations and imaging modalities for accurate preoperative diagnosis are lacking. Epithelioid AML should be considered a tumor of uncertain malignant potential; however, the prognosis of PEComa after resection is promising.

摘要

背景与目的

血管周上皮样细胞肿瘤(PEComas)是一种罕见的间叶性肿瘤,其术前诊断具有挑战性。在本研究中,我们总结了单一医学中心的经验,以研究肝脏PEComas的检查、临床表现以及病理和组织学特征,从而优化对这些肿瘤诊断和治疗的整体认识。

方法

我们进行了一项回顾性分析,以调查2010年4月至2020年4月期间在浙江大学第一附属医院确诊为肝脏PEComa的75例患者的临床和病理特征以及影像学表现。

结果

75例患者中,52例为女性,中位年龄为48岁。大多数患者无特异性症状,2例因复发再次入院。所有患者均接受了手术切除。组织学上,38例患者为经典血管平滑肌脂肪瘤(AML),37例为上皮样AML。PEComas伴有HMB45、Melan-A和平滑肌肌动蛋白免疫组化阳性表达。截至2020年10月,共获得了75例患者中47例的随访数据。2例患者术后出现转移。

结论

AML是肝脏PEComa最常见的类型。肝脏PEComa无特异性症状,缺乏用于准确术前诊断的血清学检查和影像学方法。上皮样AML应被视为具有不确定恶性潜能的肿瘤;然而,PEComa切除术后的预后良好。

https://cdn.ncbi.nlm.nih.gov/pmc/blobs/c8ee/8845148/0706a86ebce5/JCTH-10-072-g002.jpg
https://cdn.ncbi.nlm.nih.gov/pmc/blobs/c8ee/8845148/2ce8db770d8a/JCTH-10-072-g001.jpg
https://cdn.ncbi.nlm.nih.gov/pmc/blobs/c8ee/8845148/0706a86ebce5/JCTH-10-072-g002.jpg
https://cdn.ncbi.nlm.nih.gov/pmc/blobs/c8ee/8845148/2ce8db770d8a/JCTH-10-072-g001.jpg
https://cdn.ncbi.nlm.nih.gov/pmc/blobs/c8ee/8845148/0706a86ebce5/JCTH-10-072-g002.jpg

相似文献

1
Single-center Experience in the Diagnosis and Treatment of Hepatic Perivascular Epithelioid Cell Neoplasm.肝血管周上皮样细胞肿瘤诊断与治疗的单中心经验
J Clin Transl Hepatol. 2022 Feb 28;10(1):72-79. doi: 10.14218/JCTH.2020.00170. Epub 2021 Jun 21.
2
Retrospective analysis of hepatic perivascular epithelioid cell tumour (PEComa) in a single centre for clinical diagnosis and treatment clinical diagnosis and treatment of hepatic PEComa.回顾性分析单一中心肝血管周上皮样细胞瘤(PEComa)的临床诊断和治疗。
Medicine (Baltimore). 2022 Jun 24;101(25):e29506. doi: 10.1097/MD.0000000000029506.
3
PNL2: A Useful Adjunct Biomarker to HMB45 in the Diagnosis of Uterine Perivascular Epithelioid Cell Tumor (PEComa).PNL2:HMB45 在子宫血管周上皮样细胞肿瘤(PEComa)诊断中的有用辅助标志物。
Int J Gynecol Pathol. 2020 Nov;39(6):529-536. doi: 10.1097/PGP.0000000000000653.
4
Hepatic perivascular epithelioid cell neoplasm: A clinical and pathological experience in diagnosis and treatment.肝血管周上皮样细胞肿瘤:诊断与治疗的临床及病理经验
Mol Clin Oncol. 2017 Apr;6(4):487-493. doi: 10.3892/mco.2017.1168. Epub 2017 Feb 16.
5
Hepatic perivascular epithelioid cell tumor: a retrospective analysis of 36 cases.肝血管周上皮样细胞肿瘤:36例回顾性分析
Front Oncol. 2024 Aug 16;14:1416254. doi: 10.3389/fonc.2024.1416254. eCollection 2024.
6
[Clinical analysis of hepatic perivascular epithelioid cell neoplasm: a report of eleven cases].肝血管周上皮样细胞肿瘤的临床分析:附11例报告
Zhonghua Yi Xue Za Zhi. 2018 Sep 11;98(34):2715-2717. doi: 10.3760/cma.j.issn.0376-2491.2018.34.007.
7
Perivascular epithelioid cell tumor ('PEComa') of the uterus: a subset of HMB-45-positive epithelioid mesenchymal neoplasms with an uncertain relationship to pure smooth muscle tumors.子宫血管周上皮样细胞瘤(“PEComa”):一组HMB-45阳性上皮样间叶肿瘤,与纯平滑肌肿瘤的关系尚不明确。
Am J Surg Pathol. 2002 Jan;26(1):1-13. doi: 10.1097/00000478-200201000-00001.
8
PNL2: an adjunctive biomarker for renal angiomyolipomas and perivascular epithelioid cell tumours.PNL2:肾血管平滑肌脂肪瘤和血管周上皮样细胞瘤的辅助生物标志物。
Histopathology. 2018 Feb;72(3):441-448. doi: 10.1111/his.13369. Epub 2017 Nov 21.
9
Hepatic perivascular epithelioid cell tumor: Clinicopathological analysis of 26 cases with emphasis on disease management and prognosis.肝血管周上皮样细胞瘤:26 例临床病理分析,重点关注疾病的管理和预后。
World J Gastroenterol. 2021 Sep 21;27(35):5967-5977. doi: 10.3748/wjg.v27.i35.5967.
10
Multiple perivascular epithelioid cell tumors: clear cell tumor of the lung accompanied by angiomyolipoma of the liver.多发性血管周上皮样细胞瘤:肺透明细胞瘤伴肝血管平滑肌脂肪瘤。
Ann Thorac Cardiovasc Surg. 2014;20 Suppl:453-6. doi: 10.5761/atcs.cr.12.02179. Epub 2013 Apr 20.

引用本文的文献

1
Rare Encounter: A Case Report of Hepatic Perivascular Epithelioid Cell Tumor - An Uncommon Mesenchymal Tumor in the Liver.罕见病例:肝血管周上皮样细胞肿瘤病例报告——一种肝脏中罕见的间叶性肿瘤
Case Rep Gastroenterol. 2025 Jan 24;19(1):43-51. doi: 10.1159/000543018. eCollection 2025 Jan-Dec.
2
Massive simultaneous hepatic and renal perivascular epithelioid cell tumor benefitted from surgery and everolimus treatment: A case report.巨大同时性肝和肾血管周围上皮样细胞瘤经手术和依维莫司治疗获益:一例报告
World J Gastrointest Surg. 2024 Oct 27;16(10):3334-3342. doi: 10.4240/wjgs.v16.i10.3334.
3
Hepatic perivascular epithelioid cell tumor: a retrospective analysis of 36 cases.

本文引用的文献

1
Rapidly enlarging malignant abdominal PEComa with hepatic metastasis: a promising initial response to sirolimus following surgical excision of primary tumor.伴有肝转移的快速增大的恶性腹部PEComa:原发肿瘤手术切除后对西罗莫司有良好的初始反应
Oxf Med Case Reports. 2020 Mar 30;2020(3):omaa013. doi: 10.1093/omcr/omaa013. eCollection 2020 Mar.
2
Primary hepatic perivascular epithelioid cell tumors: imaging findings with histopathological correlation.原发性肝血管周上皮样细胞瘤:与组织病理学相关性的影像学表现。
Cancer Imaging. 2019 Jun 6;19(1):32. doi: 10.1186/s40644-019-0212-x.
3
Malignant renal epithelioid angiomyolipoma with TFE3 gene amplification mimicking renal carcinoma.
肝血管周上皮样细胞肿瘤:36例回顾性分析
Front Oncol. 2024 Aug 16;14:1416254. doi: 10.3389/fonc.2024.1416254. eCollection 2024.
4
Case report: Liver PEComa after kidney transplantation in recipient with tuberous sclerosis complex.病例报告:结节性硬化症复合体患者肾移植后发生肝脏血管周上皮样细胞瘤。
Front Oncol. 2024 Jul 4;14:1386569. doi: 10.3389/fonc.2024.1386569. eCollection 2024.
5
Multimodal imaging study of hepatic perivascular epithelioid cell tumors: a case report.肝血管周上皮样细胞肿瘤的多模态影像学研究:一例报告
Front Med (Lausanne). 2023 Dec 7;10:1322048. doi: 10.3389/fmed.2023.1322048. eCollection 2023.
伴有TFE3基因扩增的恶性肾上皮样血管平滑肌脂肪瘤,酷似肾癌。
Clin Nephrol Case Stud. 2018 May 24;6:11-15. doi: 10.5414/CNCS109443. eCollection 2018.
4
Hepatic perivascular epithelioid cell neoplasm: A clinical and pathological experience in diagnosis and treatment.肝血管周上皮样细胞肿瘤:诊断与治疗的临床及病理经验
Mol Clin Oncol. 2017 Apr;6(4):487-493. doi: 10.3892/mco.2017.1168. Epub 2017 Feb 16.
5
Primary perivascular epithelioid cell tumors of the liver: CT/MRI findings and clinical outcomes.肝脏原发性血管周上皮样细胞瘤:CT/MRI 表现与临床结局。
Abdom Radiol (NY). 2017 Jun;42(6):1705-1712. doi: 10.1007/s00261-017-1074-y.
6
Improving recognition of hepatic perivascular epithelioid cell tumor: Case report and literature review.提高肝脏血管周上皮样细胞肿瘤的认识:病例报告及文献复习
World J Gastroenterol. 2015 May 7;21(17):5432-41. doi: 10.3748/wjg.v21.i17.5432.
7
A Four-Year Follow-up Study of Renal Epithelioid Angiomyolipoma: A Multi-Center Experience and Literature Review.肾上皮样血管平滑肌脂肪瘤的四年随访研究:多中心经验及文献综述
Sci Rep. 2015 May 5;5:10030. doi: 10.1038/srep10030.
8
MRI diagnosis of perivascular epithelioid cell tumor (PEComa) of the liver.肝脏血管周上皮样细胞瘤(PEComa)的磁共振成像(MRI)诊断
Rom J Morphol Embryol. 2013;54(3):643-7.
9
Is surgery necessary for patients with hepatic angiomyolipoma? Retrospective analysis from eight Chinese cases.肝血管平滑肌脂肪瘤患者是否需要手术?来自 8 例中国患者的回顾性分析。
J Gastroenterol Hepatol. 2013 Oct;28(10):1648-53. doi: 10.1111/jgh.12289.
10
PEComa of the colon resistant to sirolimus but responsive to doxorubicin/ifosfamide.结肠的PEComa 对西罗莫司耐药,但对多柔比星/异环磷酰胺敏感。
World J Gastroenterol. 2013 Mar 14;19(10):1657-60. doi: 10.3748/wjg.v19.i10.1657.