• 文献检索
  • 文档翻译
  • 深度研究
  • 学术资讯
  • Suppr Zotero 插件Zotero 插件
  • 邀请有礼
  • 套餐&价格
  • 历史记录
应用&插件
Suppr Zotero 插件Zotero 插件浏览器插件Mac 客户端Windows 客户端微信小程序
定价
高级版会员购买积分包购买API积分包
服务
文献检索文档翻译深度研究API 文档MCP 服务
关于我们
关于 Suppr公司介绍联系我们用户协议隐私条款
关注我们

Suppr 超能文献

核心技术专利:CN118964589B侵权必究
粤ICP备2023148730 号-1Suppr @ 2026

文献检索

告别复杂PubMed语法,用中文像聊天一样搜索,搜遍4000万医学文献。AI智能推荐,让科研检索更轻松。

立即免费搜索

文件翻译

保留排版,准确专业,支持PDF/Word/PPT等文件格式,支持 12+语言互译。

免费翻译文档

深度研究

AI帮你快速写综述,25分钟生成高质量综述,智能提取关键信息,辅助科研写作。

立即免费体验

采用双重固定和全膝关节置换术治疗合并骨关节炎的髁上骨折的新型治疗方法的短期结果

Short-term results of a novel management of supracondylar fracture with coexisting osteoarthritis with bifold fixation and total knee arthroplasty.

作者信息

Antao Nicholas A, Londhe Sanjay, Toor Rajan, Shirishkar Rajesh, Aiyer Siddharth

机构信息

Department of Orthopaedics Holy Spirit Hospital, Jeevan Data Hostel, Mahakali Caves Road, Andheri (E), Mumbai, Maharashtra, 400093, India.

Indian Orthopaedic Research Group, Thane, Maharashtra, 400604, India.

出版信息

Arthroplasty. 2021 Dec 4;3(1):44. doi: 10.1186/s42836-021-00098-0.

DOI:10.1186/s42836-021-00098-0
PMID:35236499
原文链接:https://pmc.ncbi.nlm.nih.gov/articles/PMC8796440/
Abstract

PURPOSE

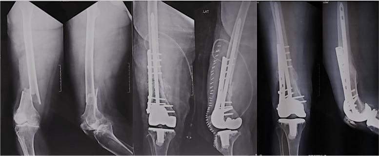
Presence of supracondylar and periarticular femoral fracture with associated arthritis of knee poses a challenging situation to the orthopaedic surgeon. The results of fixation of fracture in osteoporosis are not very satisfactory and have complications. With fixation alone, they still cannot bear weight on affected leg due to severe disability of osteoarthritis. To make patient walk, conventionally three surgeries in the form of fracture fixation, removal of implant and total knee arthroplasty (TKA) needs to be done in staged manner. We propose a novel management in form of bifold fixation and simultaneous TKA.

METHODS

Eight cases (6 females, 2 males) of supracondylar femoral fractures with severe osteoarthritis of the knee and osteoporosis were primarily fixed with bifold fixation using SIGN nail ( www.signfracturecare.org ) and locking plate together with simultaneous total knee arthroplasty. There were five cases (2 males and 3 females) of grade 4 (Kellgren-Lawrence grading) osteoarthritis (OA) and three cases (all females) of severe rheumatoid arthritis (RA).

RESULTS

The mean age was 68 years and average time for full weight bearing was 6 days. Radiographic evidence of fracture union was achieved in 16.25 weeks. The mean Knee Society Score (KSS) and Western Ontario and McMaster Universities Osteoarthritis Index (WOMAC) score at 26 months was 83.13 and 22.13 respectively.

CONCLUSIONS

Single stage combined bifold osteosynthesis with interlocking nail and locking plate together with total knee arthroplasty helps in one time management of these difficult injuries. It is a cost-effective and economically sound option and gives excellent results with good patient satisfaction.

摘要

目的

股骨髁上及关节周围骨折合并膝关节关节炎给骨科医生带来了具有挑战性的情况。骨质疏松患者骨折固定的效果不太令人满意且存在并发症。仅通过固定,由于骨关节炎导致的严重残疾,患者患侧腿仍无法负重。为了让患者行走,传统上需要分阶段进行三次手术,即骨折固定、取出植入物和全膝关节置换术(TKA)。我们提出了一种采用双折固定和同期TKA的新型治疗方法。

方法

8例(6例女性,2例男性)股骨髁上骨折合并严重膝关节骨关节炎和骨质疏松的患者,首先使用SIGN钉(www.signfracturecare.org)和锁定钢板进行双折固定,并同期进行全膝关节置换术。其中有5例(2例男性和3例女性)为4级(凯尔格伦-劳伦斯分级)骨关节炎(OA),3例(均为女性)为严重类风湿关节炎(RA)。

结果

平均年龄为68岁,完全负重的平均时间为6天。骨折愈合的影像学证据在16.25周时获得。26个月时的平均膝关节协会评分(KSS)和西安大略和麦克马斯特大学骨关节炎指数(WOMAC)评分分别为83.13和22.13。

结论

单阶段联合使用带锁髓内钉和锁定钢板的双折骨固定术以及全膝关节置换术有助于一次性处理这些复杂损伤。这是一种经济有效且合理的选择,能取得优异的效果并让患者满意度良好。

https://cdn.ncbi.nlm.nih.gov/pmc/blobs/3d3a/8796440/e50763db6379/42836_2021_98_Fig5_HTML.jpg
https://cdn.ncbi.nlm.nih.gov/pmc/blobs/3d3a/8796440/3943c1284ebc/42836_2021_98_Fig1_HTML.jpg
https://cdn.ncbi.nlm.nih.gov/pmc/blobs/3d3a/8796440/00567bfe9df0/42836_2021_98_Fig2_HTML.jpg
https://cdn.ncbi.nlm.nih.gov/pmc/blobs/3d3a/8796440/7b31fc2374c3/42836_2021_98_Fig3_HTML.jpg
https://cdn.ncbi.nlm.nih.gov/pmc/blobs/3d3a/8796440/9f5296e5bf18/42836_2021_98_Fig4_HTML.jpg
https://cdn.ncbi.nlm.nih.gov/pmc/blobs/3d3a/8796440/e50763db6379/42836_2021_98_Fig5_HTML.jpg
https://cdn.ncbi.nlm.nih.gov/pmc/blobs/3d3a/8796440/3943c1284ebc/42836_2021_98_Fig1_HTML.jpg
https://cdn.ncbi.nlm.nih.gov/pmc/blobs/3d3a/8796440/00567bfe9df0/42836_2021_98_Fig2_HTML.jpg
https://cdn.ncbi.nlm.nih.gov/pmc/blobs/3d3a/8796440/7b31fc2374c3/42836_2021_98_Fig3_HTML.jpg
https://cdn.ncbi.nlm.nih.gov/pmc/blobs/3d3a/8796440/9f5296e5bf18/42836_2021_98_Fig4_HTML.jpg
https://cdn.ncbi.nlm.nih.gov/pmc/blobs/3d3a/8796440/e50763db6379/42836_2021_98_Fig5_HTML.jpg

相似文献

1
Short-term results of a novel management of supracondylar fracture with coexisting osteoarthritis with bifold fixation and total knee arthroplasty.采用双重固定和全膝关节置换术治疗合并骨关节炎的髁上骨折的新型治疗方法的短期结果
Arthroplasty. 2021 Dec 4;3(1):44. doi: 10.1186/s42836-021-00098-0.
2
[Osteosynthesis for periprosthetic supracondylar fracture above a total knee arthroplasty using a locking compression plate].使用锁定加压钢板治疗全膝关节置换术后假体周围髁上骨折的接骨术
Acta Chir Orthop Traumatol Cech. 2009 Dec;76(6):473-8.
3
Comparison of retrograde nailing and minimally invasive plating for treatment of periprosthetic supracondylar femur fractures (OTA 33-A) above total knee arthroplasty.全膝关节置换术后股骨髁上假体周围骨折(OTA 33 - A)的逆行髓内钉与微创钢板治疗比较
Arch Orthop Trauma Surg. 2016 Mar;136(3):331-8. doi: 10.1007/s00402-015-2374-8. Epub 2015 Dec 8.
4
Similar outcomes of locking compression plating and retrograde intramedullary nailing for periprosthetic supracondylar femoral fractures following total knee arthroplasty: a meta-analysis.锁定加压钢板与逆行髓内钉治疗全膝关节置换术后股骨假体周围髁上骨折的疗效比较:一项荟萃分析。
Knee Surg Sports Traumatol Arthrosc. 2017 Sep;25(9):2921-2928. doi: 10.1007/s00167-016-4050-0. Epub 2016 Feb 20.
5
Outcomes of long retrograde intramedullary nailing for periprosthetic supracondylar femoral fractures following total knee arthroplasty.全膝关节置换术后股骨假体周围髁上骨折长逆行髓内钉固定的疗效。
Arch Orthop Trauma Surg. 2014 Jan;134(1):47-52. doi: 10.1007/s00402-013-1890-7. Epub 2013 Nov 26.
6
Outcomes of Surgical Management of Supracondylar Periprosthetic Femur Fractures.股骨髁上假体周围骨折的手术治疗结果
J Arthroplasty. 2017 Jan;32(1):189-192. doi: 10.1016/j.arth.2016.06.056. Epub 2016 Aug 3.
7
[One-stage total knee arthroplasty for femoral supracondylar fracture combined with knee osteoarthritis].一期全膝关节置换术治疗股骨髁上骨折合并膝关节骨关节炎
Zhongguo Xiu Fu Chong Jian Wai Ke Za Zhi. 2017 Dec 15;31(12):1423-1427. doi: 10.7507/1002-1892.201707071.
8
Computer Navigation-assisted Bilateral Total Knee Arthroplasty with Osteosynthesis in Single Sitting in Patients Presenting with Distal Femur Fracture with Pre-existing Knee Arthritis: A Case Series.计算机导航辅助下一期双侧全膝关节置换术联合接骨术治疗合并膝关节关节炎的股骨远端骨折患者:病例系列报道
J Orthop Case Rep. 2024 Mar;14(3):176-181. doi: 10.13107/jocr.2024.v14.i03.4332.
9
An alternative treatment for osteoporotic Su Type III periprosthetic supracondylar femur fractures: Double locking plate fixation.骨质疏松性苏氏Ⅲ型股骨髁上假体周围骨折的一种替代治疗方法:双锁定钢板固定。
Acta Orthop Traumatol Turc. 2018 Mar;52(2):92-96. doi: 10.1016/j.aott.2017.09.010. Epub 2018 Jan 3.
10
Factors affecting peri-implant fracture following locking plate for osteoporotic distal femur fractures.影响锁定钢板治疗骨质疏松性股骨远端骨折后钢板周围骨折的因素。
Orthop Traumatol Surg Res. 2017 Dec;103(8):1201-1204. doi: 10.1016/j.otsr.2017.08.008. Epub 2017 Sep 19.

引用本文的文献

1
Single-stage internal fixation with knee arthroplasty: a novel approach for concurrent knee osteoarthritis and distal femoral fracture.膝关节置换术的单阶段内固定:一种同时治疗膝关节骨关节炎和股骨远端骨折的新方法。
J Surg Case Rep. 2025 May 22;2025(5):rjaf322. doi: 10.1093/jscr/rjaf322. eCollection 2025 May.
2
Long-term functional outcomes of BIFOLD osteosynthesis in distal femoral fractures with metaphyseal comminution: A retrospective analysis.双钢板内固定治疗股骨远端骨折伴干骺端粉碎的长期功能结果:一项回顾性分析
J Orthop. 2024 Nov 8;69:68-72. doi: 10.1016/j.jor.2024.10.044. eCollection 2025 Nov.
3
Long-term functional outcomes of BIFOLD osteosynthesis in distal femoral fractures with metaphyseal comminution: A retrospective analysis.

本文引用的文献

1
Short-Term Outcome of Early Primary Total Knee Arthroplasty for Fractures Around the Knee in the Elderly Population: The Experience of a Secondary Healthcare Centre in Malaysia.老年人群膝关节周围骨折早期初次全膝关节置换术的短期疗效:马来西亚一家二级医疗中心的经验
Malays J Med Sci. 2020 Jul;27(4):64-71. doi: 10.21315/mjms2020.27.4.6. Epub 2020 Aug 19.
2
Medium term results of total knee arthroplasty as a primary treatment for knee fractures.全膝关节置换术作为膝关节骨折主要治疗方法的中期结果。
SICOT J. 2018;4:6. doi: 10.1051/sicotj/2017060. Epub 2018 Mar 16.
3
Patient Mortality in Geriatric Distal Femur Fractures.
双钢板内固定治疗伴有干骺端粉碎的股骨远端骨折的长期功能结果:一项回顾性分析
J Orthop. 2024 Oct 23;63:16-20. doi: 10.1016/j.jor.2024.10.033. eCollection 2025 May.
4
What is the stable internal fixation for the unstable and osteoporotic supracondylar femoral fractures: a finite element analysis.不稳定型骨质疏松性股骨髁上骨折的稳定内固定:有限元分析。
J Orthop Surg Res. 2023 Oct 7;18(1):759. doi: 10.1186/s13018-023-04256-9.
老年股骨远端骨折患者的死亡率。
J Orthop Trauma. 2018 Mar;32(3):111-115. doi: 10.1097/BOT.0000000000001078.
4
Primary total knee arthroplasty for acute fracture around the knee.膝关节周围急性骨折的初次全膝关节置换术。
Orthop Traumatol Surg Res. 2018 Feb;104(1S):S71-S80. doi: 10.1016/j.otsr.2017.05.029. Epub 2017 Dec 2.
5
Population-based epidemiology and incidence of distal femur fractures.基于人群的股骨远端骨折流行病学及发病率
Int Orthop. 2018 Jan;42(1):191-196. doi: 10.1007/s00264-017-3665-1. Epub 2017 Nov 7.
6
Primary Total Knee Arthroplasty for Distal Femur Fractures: A Systematic Review of Indications, Implants, Techniques, and Results.股骨远端骨折的初次全膝关节置换术:适应症、植入物、技术及结果的系统评价
Am J Orthop (Belle Mead NJ). 2017 May/Jun;46(3):E163-E171.
7
Does primary total knee arthroplasty for acute knee joint fracture maintain autonomy in the elderly? A retrospective study of 21 cases.老年急性膝关节骨折行一期全膝关节置换术能否保持膝关节自主活动?一项21例的回顾性研究。
Orthop Traumatol Surg Res. 2015 Dec;101(8):947-51. doi: 10.1016/j.otsr.2015.09.021. Epub 2015 Nov 14.
8
Primary total knee arthroplasty for simple distal femoral fractures in elderly patients with knee osteoarthritis.老年膝骨关节炎患者单纯股骨远端骨折的初次全膝关节置换术
Knee Surg Relat Res. 2013 Sep;25(3):141-6. doi: 10.5792/ksrr.2013.25.3.141. Epub 2013 Aug 29.
9
Primary arthroplasty for management of osteoporotic fractures about the knee.膝关节周围骨质疏松性骨折的初次关节置换术。
Curr Osteoporos Rep. 2012 Dec;10(4):322-7. doi: 10.1007/s11914-012-0122-3.
10
The operative management of osteoporotic fractures of the knee: to fix or replace?膝关节骨质疏松性骨折的手术治疗:固定还是置换?
J Bone Joint Surg Br. 2012 Sep;94(9):1160-9. doi: 10.1302/0301-620X.94B9.28130.