Suppr超能文献

肠系膜原发性腹膜后孤立性纤维瘤:它是如何表现的?

Primary intraperitoneal solitary fibrous tumor in mesentery: How does it present?

作者信息

Tuan Ho Xuan, Hung Nguyen Duy, Khuong Nguyen Ha, Duy Ngo Quang, Hue Nguyen Duy, Duc Nguyen Minh

机构信息

Department of Radiology, School of Medicine and Pharmacy, University of Da Nang, Da Nang, Vietnam.

Department of Radiology, Hanoi Medical University, Hanoi, Vietnam.

出版信息

Radiol Case Rep. 2022 Feb 18;17(4):1318-1324. doi: 10.1016/j.radcr.2022.01.068. eCollection 2022 Apr.

Abstract

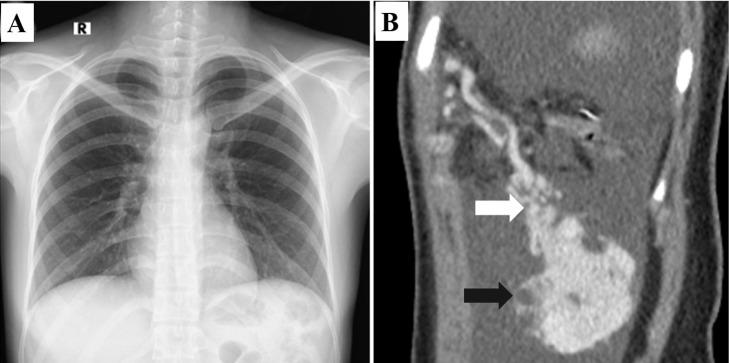
Intra-abdominal solitary fibrous tumor (SFT), also known as hemangiopericytoma, is rare, especially for those with a mesenteric location, and only a few cases have been reported. Distinguishing a hemangiopericytoma from other intra-abdominal benign or malignant tumors can be difficult, as they have similar presentations on both computed tomography and magnetic resonance imaging. In the present study, the records for a 31-year-old Vietnamese woman who underwent abdominal surgery for greater omental tumor resection and received histopathological results revealing SFT are retrospectively reviewed. The case is discussed and similar reported cases are reviewed. Due to the aggressive behavior and high rate of postoperative recurrence associated with SFT, a thorough understanding of the radiologic and histopathological features of the disease is necessary to achieve an appropriate diagnosis and treatment.

摘要

腹腔内孤立性纤维瘤(SFT),也称为血管外皮细胞瘤,较为罕见,尤其是位于肠系膜的病例,仅有少数病例报道。将血管外皮细胞瘤与其他腹腔内良性或恶性肿瘤区分开来可能具有挑战性,因为它们在计算机断层扫描和磁共振成像上表现相似。在本研究中,回顾性分析了一名31岁越南女性的病历,该患者接受了腹部手术以切除大网膜肿瘤,并获得了组织病理学结果显示为SFT。对该病例进行了讨论,并回顾了类似的报道病例。由于SFT具有侵袭性且术后复发率高,因此全面了解该疾病的放射学和组织病理学特征对于实现恰当的诊断和治疗至关重要。

https://cdn.ncbi.nlm.nih.gov/pmc/blobs/891c/8861309/df5139b5cf99/gr1.jpg

文献AI研究员

20分钟写一篇综述,助力文献阅读效率提升50倍。

立即体验

用中文搜PubMed

大模型驱动的PubMed中文搜索引擎

马上搜索

文档翻译

学术文献翻译模型,支持多种主流文档格式。

立即体验