• 文献检索
  • 文档翻译
  • 深度研究
  • 学术资讯
  • Suppr Zotero 插件Zotero 插件
  • 邀请有礼
  • 套餐&价格
  • 历史记录
应用&插件
Suppr Zotero 插件Zotero 插件浏览器插件Mac 客户端Windows 客户端微信小程序
定价
高级版会员购买积分包购买API积分包
服务
文献检索文档翻译深度研究API 文档MCP 服务
关于我们
关于 Suppr公司介绍联系我们用户协议隐私条款
关注我们

Suppr 超能文献

核心技术专利:CN118964589B侵权必究
粤ICP备2023148730 号-1Suppr @ 2026

文献检索

告别复杂PubMed语法,用中文像聊天一样搜索,搜遍4000万医学文献。AI智能推荐,让科研检索更轻松。

立即免费搜索

文件翻译

保留排版,准确专业,支持PDF/Word/PPT等文件格式,支持 12+语言互译。

免费翻译文档

深度研究

AI帮你快速写综述,25分钟生成高质量综述,智能提取关键信息,辅助科研写作。

立即免费体验

棘球蚴病的一种罕见定位:胆囊包虫囊肿。

An unusual localization of echinococcosis: Gallbladder hydatid cyst.

作者信息

Kbir Ghassen Hamdi, Messaoudi Sohaib, Selmi Marwen, Maatouk Mohamed, Bouzidi Mohamed Tahar, Ennaceur Farouk, Ben Moussa Mounir

机构信息

A21 Surgery Department, Charles Nicolle Hospital, Research laboratory LR12ES01, Faculty of medicine of Tunis, Tunis El Manar University, Tunis, Tunisia.

出版信息

IDCases. 2022 Feb 18;27:e01455. doi: 10.1016/j.idcr.2022.e01455. eCollection 2022.

DOI:10.1016/j.idcr.2022.e01455
PMID:35242561
原文链接:https://pmc.ncbi.nlm.nih.gov/articles/PMC8866152/
Abstract

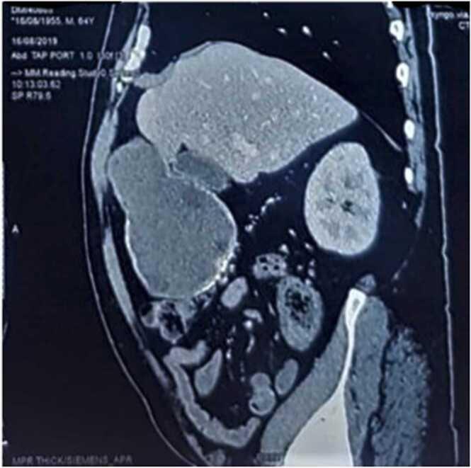
Echinococcosis is endemic in Mediterranean countries. Liver then lungs are the most affected organs. Gallbladder hydatid cyst is an exceptional localization. A 64-year-old patient was referred to our surgical outpatient department by his physician for suspicion of liver hydatid cyst based on right upper quadrant abdominal pain, associated with nausea. Physical examination showed mild tenderness of the right upper quadrant of the abdomen. A computed tomography abdominal scan showed a multivesicular cystic lesion of the segment IV measuring 9.5 × 7.5 × 13 cm with exophytic component abutting the gallbladder. The patient underwent right subcostal laparotomy. The exploration has found that the hydatid cyst is developed from the fundus of the gallbladder, without any connections or fistulas to nearby organs. A cholecystectomy was performed. Histopathological examination confirmed the diagnosis of gallbladder echinococcosis. Primary gallbladder hydatid cysts (PGHC) is an extremely rare condition, occurring in less than 0.4% of echinococcosis localizations. After literature research of case reports, only twenty-three such cases, including our case, have been reported in English literature. Due to its uncommon nature, radiologists rarely consider a PHGB as the first diagnosis. Preoperative diagnosis of hydatid cyst was possible only in 50% of cases. Therefore, a careful attention is necessary to assist in making the diagnosis preoperatively, leading to the appropriate treatment.

摘要

包虫病在地中海国家呈地方性流行。肝脏和肺是最常受累的器官。胆囊包虫囊肿是一种罕见的发病部位。一名64岁患者因右上腹腹痛伴恶心,被其医生转诊至我们的外科门诊,怀疑患有肝包虫囊肿。体格检查发现右上腹轻度压痛。腹部计算机断层扫描显示IV段有一个多房性囊性病变,大小为9.5×7.5×13厘米,有外生性成分紧邻胆囊。患者接受了右肋缘下剖腹手术。探查发现包虫囊肿起源于胆囊底部,与附近器官无任何连接或瘘管。进行了胆囊切除术。组织病理学检查证实了胆囊包虫病的诊断。原发性胆囊包虫囊肿(PGHC)是一种极为罕见的疾病,在包虫病发病部位中所占比例不到0.4%。在对病例报告进行文献研究后,英文文献中仅报道了包括我们的病例在内的23例此类病例。由于其不常见的性质,放射科医生很少将原发性胆囊包虫囊肿作为首要诊断。术前仅50%的病例能够诊断出包虫囊肿。因此,术前需要仔细关注以协助做出诊断,从而进行适当的治疗。

https://cdn.ncbi.nlm.nih.gov/pmc/blobs/dd62/8866152/a621c7243c23/gr3.jpg
https://cdn.ncbi.nlm.nih.gov/pmc/blobs/dd62/8866152/fcef6ed8e149/gr1.jpg
https://cdn.ncbi.nlm.nih.gov/pmc/blobs/dd62/8866152/6be570513ae9/gr2.jpg
https://cdn.ncbi.nlm.nih.gov/pmc/blobs/dd62/8866152/a621c7243c23/gr3.jpg
https://cdn.ncbi.nlm.nih.gov/pmc/blobs/dd62/8866152/fcef6ed8e149/gr1.jpg
https://cdn.ncbi.nlm.nih.gov/pmc/blobs/dd62/8866152/6be570513ae9/gr2.jpg
https://cdn.ncbi.nlm.nih.gov/pmc/blobs/dd62/8866152/a621c7243c23/gr3.jpg

相似文献

1
An unusual localization of echinococcosis: Gallbladder hydatid cyst.棘球蚴病的一种罕见定位:胆囊包虫囊肿。
IDCases. 2022 Feb 18;27:e01455. doi: 10.1016/j.idcr.2022.e01455. eCollection 2022.
2
Primary hydatid cyst of the gallbladder: a case report.胆囊原发性包虫囊肿:一例报告
J Med Case Rep. 2010 Jan 29;4:29. doi: 10.1186/1752-1947-4-29.
3
Primary hydatid cyst of the pancreas.胰腺原发性包虫囊肿
Acta Chir Belg. 2009 Oct;109(5):626-8. doi: 10.1080/00015458.2009.11680501.
4
Retrohepatic Gallbladder Masquerading as Hydatid Cyst in a Patient with Right Liver Agenesis.右肝缺如患者中伪装成包虫囊肿的肝后胆囊
Chirurgia (Bucur). 2019 Jan-Feb;114(1):121-125. doi: 10.21614/chirurgia.114.1.121.
5
Perineal and right femoral hydatid cyst in a female with regional paresthesia: a rare case report.女性会阴部和右股部包虫囊肿伴区域性感觉异常:罕见病例报告。
BMC Surg. 2022 Feb 23;22(1):64. doi: 10.1186/s12893-022-01516-z.
6
Primary hydatid cyst of the gallbladder: an unusual localization diagnosed by magnetic resonance imaging (MRI).胆囊原发性包虫囊肿:一种通过磁共振成像(MRI)诊断的罕见定位情况。
Pan Afr Med J. 2013;14:15. doi: 10.11604/pamj.2013.14.15.1424. Epub 2013 Jan 9.
7
A rare presentation of hydatid cyst in abdominal wall: case report.腹壁包虫囊肿的罕见表现:病例报告。
Pan Afr Med J. 2021 Dec 21;40:246. doi: 10.11604/pamj.2021.40.246.32301. eCollection 2021.
8
Primary mesenteric hydatid cyst; a rare manifestation of hydatid disease through a case report and literature review.原发性肠系膜包虫囊肿:通过一例病例报告及文献复习探讨包虫病的一种罕见表现
Int J Surg Case Rep. 2022 Oct;99:107592. doi: 10.1016/j.ijscr.2022.107592. Epub 2022 Sep 5.
9
Case Report: Disseminated hydatid cyst: Unusual presentation and therapeutic challenges.病例报告:播散性包虫囊肿:不常见的表现和治疗挑战。
F1000Res. 2024 Jul 11;12:1492. doi: 10.12688/f1000research.142072.2. eCollection 2023.
10
Gallbladder lymphangioma simulating liver hydatid cyst: A case report.模拟肝包虫囊肿的胆囊淋巴管瘤:一例报告。
Int J Surg Case Rep. 2022 Sep;98:107540. doi: 10.1016/j.ijscr.2022.107540. Epub 2022 Aug 22.

引用本文的文献

1
Liver hydatid cyst rupture into gallbladder and right hepatic duct: A case report.肝包虫囊肿破入胆囊及右肝管:一例报告
Int J Surg Case Rep. 2024 Oct;123:110305. doi: 10.1016/j.ijscr.2024.110305. Epub 2024 Sep 18.
2
Small bowel volvulus as a rare manifestation of a primary peritoneal hydatid cyst.小肠扭转作为原发性腹膜包虫囊肿的罕见表现。
IDCases. 2022 Mar 29;28:e01488. doi: 10.1016/j.idcr.2022.e01488. eCollection 2022.

本文引用的文献

1
Gallbladder Hydatid Cyst: A Review on Clinical Features, Investigations and Current Management.胆囊包虫囊肿:临床特征、检查及当前治疗方法综述
Clin Exp Gastroenterol. 2020 Apr 2;13:87-97. doi: 10.2147/CEG.S243344. eCollection 2020.
2
Atypical localizations of hydatid disease: experience from a single institute.包虫病的非典型定位:来自单一机构的经验
Niger J Surg. 2012 Jan;18(1):2-7. doi: 10.4103/1117-6806.95466.
3
[Descriptive epidemiology of extrapulmonary hydatid cysts: a report of 265 Tunisian cases].[肺外包虫囊肿的描述性流行病学:265例突尼斯病例报告]
Tunis Med. 2009 Feb;87(2):123-6.
4
Primary hydatid disease of the gallbladder: a rare clinical entity.胆囊原发性包虫病:一种罕见的临床病症。
J Hepatobiliary Pancreat Surg. 2004;11(5):352-6. doi: 10.1007/s00534-004-0915-6.
5
International classification of ultrasound images in cystic echinococcosis for application in clinical and field epidemiological settings.用于临床和现场流行病学环境的囊性棘球蚴病超声图像国际分类
Acta Trop. 2003 Feb;85(2):253-61. doi: 10.1016/s0001-706x(02)00223-1.