• 文献检索
  • 文档翻译
  • 深度研究
  • 学术资讯
  • Suppr Zotero 插件Zotero 插件
  • 邀请有礼
  • 套餐&价格
  • 历史记录
应用&插件
Suppr Zotero 插件Zotero 插件浏览器插件Mac 客户端Windows 客户端微信小程序
定价
高级版会员购买积分包购买API积分包
服务
文献检索文档翻译深度研究API 文档MCP 服务
关于我们
关于 Suppr公司介绍联系我们用户协议隐私条款
关注我们

Suppr 超能文献

核心技术专利:CN118964589B侵权必究
粤ICP备2023148730 号-1Suppr @ 2026

文献检索

告别复杂PubMed语法,用中文像聊天一样搜索,搜遍4000万医学文献。AI智能推荐,让科研检索更轻松。

立即免费搜索

文件翻译

保留排版,准确专业,支持PDF/Word/PPT等文件格式,支持 12+语言互译。

免费翻译文档

深度研究

AI帮你快速写综述,25分钟生成高质量综述,智能提取关键信息,辅助科研写作。

立即免费体验

Preoperative Accelerated Hyperfractionated Whole-Breast Radiation as Treatment for Secondary Angiosarcoma of the Breast After Prior Accelerated Hypofractionated Whole-Breast Radiation Therapy: A Case Report and Review of the Literature.

作者信息

Layton Christina, Twadell Sara, McDonald Kerry Ann, Genuit Thomas, Richter Samuel

机构信息

Charles E. Schmidt College of Medicine, Florida Atlantic University, Boca Raton, Florida.

Department of Breast Surgery, Lynn Women's Health and Wellness Institute, Boca Raton, Florida.

出版信息

Adv Radiat Oncol. 2022 Jan 19;7(4):100846. doi: 10.1016/j.adro.2021.100846. eCollection 2022 Jul-Aug.

DOI:10.1016/j.adro.2021.100846
PMID:35243183
原文链接:https://pmc.ncbi.nlm.nih.gov/articles/PMC8866668/
Abstract
摘要
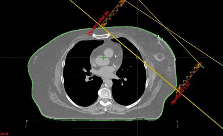
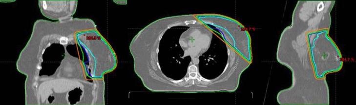
https://cdn.ncbi.nlm.nih.gov/pmc/blobs/768d/8866668/2ae51eed555e/gr4.jpg
https://cdn.ncbi.nlm.nih.gov/pmc/blobs/768d/8866668/f5a12e75be2e/gr1.jpg
https://cdn.ncbi.nlm.nih.gov/pmc/blobs/768d/8866668/71221fbe102b/gr2.jpg
https://cdn.ncbi.nlm.nih.gov/pmc/blobs/768d/8866668/a43e1046c894/gr3.jpg
https://cdn.ncbi.nlm.nih.gov/pmc/blobs/768d/8866668/2ae51eed555e/gr4.jpg
https://cdn.ncbi.nlm.nih.gov/pmc/blobs/768d/8866668/f5a12e75be2e/gr1.jpg
https://cdn.ncbi.nlm.nih.gov/pmc/blobs/768d/8866668/71221fbe102b/gr2.jpg
https://cdn.ncbi.nlm.nih.gov/pmc/blobs/768d/8866668/a43e1046c894/gr3.jpg
https://cdn.ncbi.nlm.nih.gov/pmc/blobs/768d/8866668/2ae51eed555e/gr4.jpg

相似文献

1
Preoperative Accelerated Hyperfractionated Whole-Breast Radiation as Treatment for Secondary Angiosarcoma of the Breast After Prior Accelerated Hypofractionated Whole-Breast Radiation Therapy: A Case Report and Review of the Literature.术前加速超分割全乳放疗作为既往加速分割全乳放疗后乳腺继发性血管肉瘤的治疗方法:一例病例报告及文献复习
Adv Radiat Oncol. 2022 Jan 19;7(4):100846. doi: 10.1016/j.adro.2021.100846. eCollection 2022 Jul-Aug.
2
Intensification of Treatment for Angiosarcoma of the Breast with Accelerated Hyperfractionated Radiation, Hyperthermia, and Surgical Resection.采用加速超分割放疗、热疗及手术切除强化治疗乳腺血管肉瘤
Cureus. 2017 Jun 28;9(6):e1406. doi: 10.7759/cureus.1406.
3
Angiosarcoma after breast-conserving therapy: experience with hyperfractionated radiotherapy.保乳治疗后发生的血管肉瘤:超分割放疗的经验
Int J Radiat Oncol Biol Phys. 2002 Mar 1;52(3):620-6. doi: 10.1016/s0360-3016(01)02669-4.
4
Angiosarcoma after breast-conserving therapy: long-term disease control and late effects with hyperfractionated accelerated re-irradiation (HART).保乳治疗后发生的血管肉瘤:超分割加速再照射(HART)的长期疾病控制及晚期效应
Acta Oncol. 2014 Feb;53(2):235-41. doi: 10.3109/0284186X.2013.819117. Epub 2013 Dec 17.
5
Hyperfractionated-Accelerated Reirradiation with Proton Therapy for Radiation-Associated Breast Angiosarcoma.质子治疗超分割加速再照射用于放射性相关乳腺血管肉瘤
Int J Part Ther. 2022 Jan 18;8(4):55-67. doi: 10.14338/IJPT-21-00031.1. eCollection 2022 Spring.
6
Comparison of radiation-induced fatigue across 3 different radiotherapeutic methods for early stage breast cancer.比较 3 种不同放射治疗方法治疗早期乳腺癌的放射诱导疲劳。
Cancer. 2011 Sep 15;117(18):4116-24. doi: 10.1002/cncr.26013. Epub 2011 Mar 1.
7
Radiation-induced breast angiosarcoma: report of two patients after accelerated partial breast irradiation (APBI) and review of the literature.放射诱导的乳腺血管肉瘤:两例加速部分乳腺照射(APBI)后患者的报告及文献复习
Rep Pract Oncol Radiother. 2021 Sep 30;26(5):827-832. doi: 10.5603/RPOR.a2021.0080. eCollection 2021.
8
Accelerated hypofractionated adjuvant whole breast radiotherapy with concomitant photon boost after conserving surgery for early stage breast cancer: a prospective evaluation on 463 patients.保乳术后加速缩野适形放疗联合同期光子推量治疗早期乳腺癌的前瞻性研究:463 例患者的结果分析
Breast J. 2011 Nov-Dec;17(6):586-93. doi: 10.1111/j.1524-4741.2011.01159.x. Epub 2011 Sep 21.
9
Hypofractionated radiation therapy for invasive breast cancer: From moderate to extreme protocols.浸润性乳腺癌的大分割放射治疗:从中度方案到极端方案。
Cancer Radiother. 2019 Dec;23(8):874-882. doi: 10.1016/j.canrad.2019.09.002. Epub 2019 Oct 11.
10
[Results of accelerated hyperfractionated radiotherapy in breast conserving therapy: a pilot study].[保乳治疗中加速超分割放疗的结果:一项初步研究]
Nihon Igaku Hoshasen Gakkai Zasshi. 2003 May;63(5):231-6.

本文引用的文献

1
Hypofractionated Versus Conventional Fractionated Radiotherapy After Breast-Conserving Surgery in the Modern Treatment Era: A Multicenter, Randomized Controlled Trial From China.保乳术后在现代治疗时代采用低分割与常规分割放疗的比较:来自中国的一项多中心随机对照试验。
J Clin Oncol. 2020 Nov 1;38(31):3604-3614. doi: 10.1200/JCO.20.01024. Epub 2020 Aug 11.
2
Progress of clinical study on hypofractionated radiotherapy after breast-conserving surgery.保乳术后大分割放疗的临床研究进展
Ann Palliat Med. 2020 Mar;9(2):463-471. doi: 10.21037/apm.2020.02.18. Epub 2020 Mar 17.
3
Hypofractionated radiotherapy versus conventional radiotherapy in patients with intermediate- to high-risk localized prostate cancer: a meta-analysis of randomized controlled trials.
中高危局限性前列腺癌患者的亚分次放疗与常规放疗比较:随机对照试验的荟萃分析。
BMC Cancer. 2019 Nov 8;19(1):1063. doi: 10.1186/s12885-019-6285-x.
4
Hypofractionated versus conventional fractionated postmastectomy radiotherapy for patients with high-risk breast cancer: a randomised, non-inferiority, open-label, phase 3 trial.对于高危乳腺癌患者,采用低分割与常规分割术后放疗的随机、非劣效、开放标签、3 期临床试验。
Lancet Oncol. 2019 Mar;20(3):352-360. doi: 10.1016/S1470-2045(18)30813-1. Epub 2019 Jan 30.
5
Radiation-induced angiosarcoma of the breast: a retrospective analysis of 15 years' experience at an oncology center.放疗诱发的乳腺血管肉瘤:肿瘤中心15年经验的回顾性分析
Radiol Bras. 2018 Sep-Oct;51(5):281-286. doi: 10.1590/0100-3984.2017.0129.
6
Radiation therapy for the whole breast: Executive summary of an American Society for Radiation Oncology (ASTRO) evidence-based guideline.全乳放射治疗:美国放射肿瘤学会(ASTRO)基于证据的指南执行摘要。
Pract Radiat Oncol. 2018 May-Jun;8(3):145-152. doi: 10.1016/j.prro.2018.01.012. Epub 2018 Mar 12.
7
Radical chest wall resection and hyperfractionated accelerated radiotherapy for radiation-associated angiosarcoma of the breast: A safe and effective treatment strategy.根治性胸壁切除术联合超分割加速放疗治疗乳腺放射性血管肉瘤:一种安全有效的治疗策略。
Breast J. 2018 May;24(3):245-252. doi: 10.1111/tbj.12886. Epub 2017 Aug 27.
8
Angiosarcoma after breast-conserving therapy: long-term disease control and late effects with hyperfractionated accelerated re-irradiation (HART).保乳治疗后发生的血管肉瘤:超分割加速再照射(HART)的长期疾病控制及晚期效应
Acta Oncol. 2014 Feb;53(2):235-41. doi: 10.3109/0284186X.2013.819117. Epub 2013 Dec 17.
9
Sporadic versus Radiation-Associated Angiosarcoma: A Comparative Clinicopathologic and Molecular Analysis of 48 Cases.散发性与辐射相关血管肉瘤:48例病例的临床病理与分子比较分析
Sarcoma. 2013;2013:798403. doi: 10.1155/2013/798403. Epub 2013 Sep 3.
10
Radiation-associated angiosarcoma after breast cancer: high recurrence rate and poor survival despite surgical treatment with R0 resection.乳腺癌相关放射性血管肉瘤:尽管手术达到 R0 切除,但复发率高且生存预后差。
Ann Surg Oncol. 2012 Aug;19(8):2700-6. doi: 10.1245/s10434-012-2310-x. Epub 2012 Mar 31.