Suppr超能文献

成年女性双出口右心室一例报告

Double outlet right ventricle presenting in an adult woman: a case report.

作者信息

Dewi Dian Komala, Perdhana Derry Priadhi

机构信息

Department of Radiology, Faculty of Medicine Universitas Padjadjaran, Jl. Pasteur No. 38, Pasteur, Kec. Sukajadi, Kota Bandung, Jawa Barat, Bandung, 40161, Indonesia.

出版信息

Radiol Case Rep. 2022 Mar 2;17(5):1413-1415. doi: 10.1016/j.radcr.2022.02.026. eCollection 2022 May.

Abstract

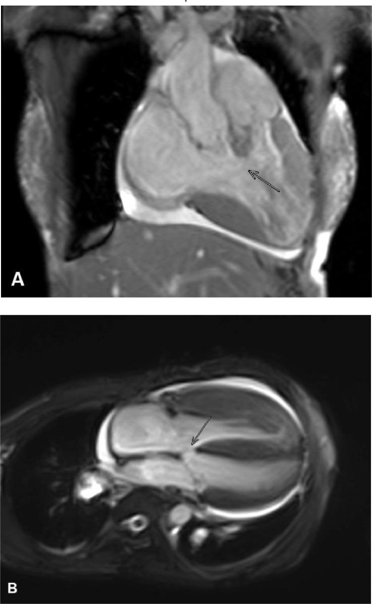
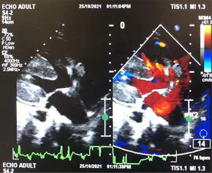
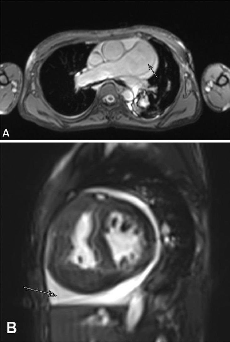
Double outlet right ventricle (DORV) is a congenital cardiac malformation that occurs in 1%-3% of individuals with congenital heart defects. Cardiac magnetic resonance imaging (MRI) may play an important role in the anatomy of the ventricular septal defect, functional status of both ventricles, and in identifying any residual stenosis or regurgitation or coexistent anomalies. Here, we present a case of a 28-years-old woman who came to our emergency department with shortness of breath. The patient felt shortness of breath on exertion and improved with rest. Clinical examination showed no abnormalities except low oxygen saturation of 65%. After echocardiography and cardiac MRI were done, it was concluded that she had a double outlet right ventricle with peri membranous ventricular septal defect (VSD), pulmonary hypertension, and pericardial effusion. This study highlights the role of cardiac MRI in assessing DORV.

摘要

右心室双出口(DORV)是一种先天性心脏畸形,在先天性心脏缺陷患者中发生率为1%-3%。心脏磁共振成像(MRI)在室间隔缺损的解剖结构、双心室功能状态以及识别任何残余狭窄或反流或并存异常方面可能发挥重要作用。在此,我们报告一例28岁女性患者,她因呼吸急促前来我院急诊科就诊。患者在运动时感到呼吸急促,休息后症状改善。临床检查除氧饱和度低至65%外无异常。经超声心动图和心脏MRI检查后,得出结论她患有右心室双出口合并膜周部室间隔缺损(VSD)、肺动脉高压和心包积液。本研究强调了心脏MRI在评估DORV中的作用。

https://cdn.ncbi.nlm.nih.gov/pmc/blobs/d795/8892018/6fa20b623fdf/gr1.jpg

文献AI研究员

20分钟写一篇综述,助力文献阅读效率提升50倍。

立即体验

用中文搜PubMed

大模型驱动的PubMed中文搜索引擎

马上搜索

文档翻译

学术文献翻译模型,支持多种主流文档格式。

立即体验