Suppr超能文献

用于治疗股浅动脉疾病的Ranger药物涂层球囊的扭转

Twisting of the Ranger drug-coated balloon for treating superficial femoral artery disease.

作者信息

Kim Su Hong, Choi Jong Hyun, Kim Bo Won, Kim Sang Hee

机构信息

Department of Cardiovascular Medicine Busan Veterans Hospital Korea Veterans Health Service Busan Korea.

College of Nursing Inje University Busan Korea.

出版信息

Clin Case Rep. 2022 Mar 1;10(3):e05505. doi: 10.1002/ccr3.5505. eCollection 2022 Mar.

Abstract

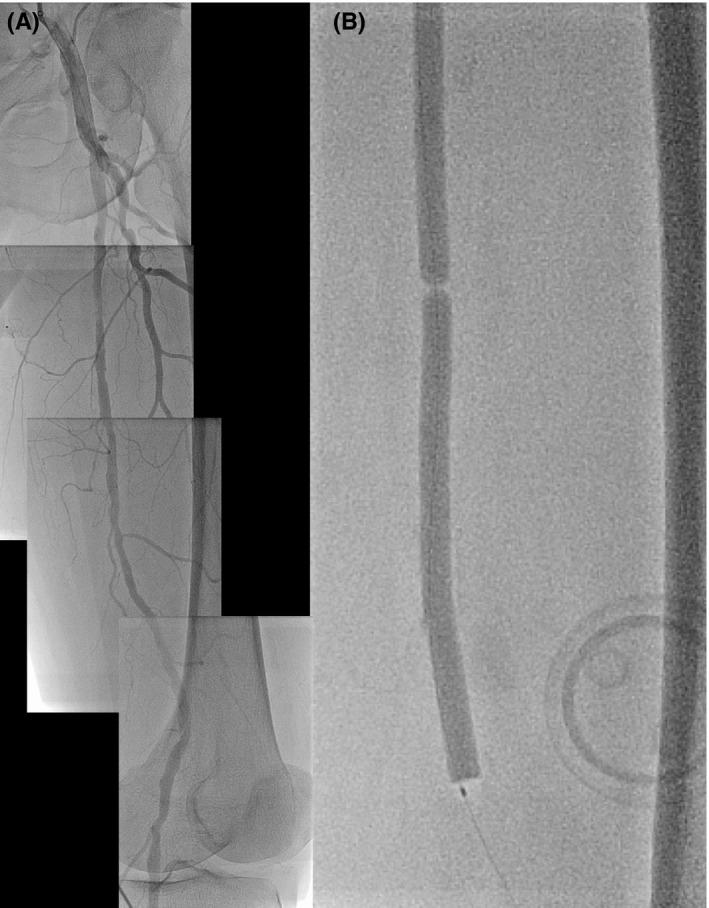
Paclitaxel-coated balloons have demonstrated improved efficacy compared with uncoated percutaneous transluminal angioplasty for femoropopliteal artery disease. While applying a long balloon, twisting of the balloon can be occurred. We reported two cases with twisting of the Ranger drug-coated balloon for treating superficial femoral artery.

摘要

与未涂层的经皮腔内血管成形术相比,紫杉醇涂层球囊已证明在治疗股腘动脉疾病方面疗效更佳。在使用长球囊时,球囊可能会发生扭转。我们报告了两例使用Ranger药物涂层球囊治疗股浅动脉时发生球囊扭转的病例。

https://cdn.ncbi.nlm.nih.gov/pmc/blobs/6715/8886637/2a576ba9e240/CCR3-10-e05505-g001.jpg

文献AI研究员

20分钟写一篇综述,助力文献阅读效率提升50倍。

立即体验

用中文搜PubMed

大模型驱动的PubMed中文搜索引擎

马上搜索

文档翻译

学术文献翻译模型,支持多种主流文档格式。

立即体验