Suppr超能文献

卵巢原发性滤泡性淋巴瘤与成熟性囊性畸胎瘤并存:一例报告并文献复习

Concurrent Primary Follicular Lymphoma and a Mature Cystic Teratoma of the Ovary: A Case Report and Review of Literature.

作者信息

Hutspardol Sakara, Li Yi, Dube Valerie, Delabie Jan

机构信息

Department of Pathology, Vancouver General Hospital, Vancouver, British Columbia, Canada.

Department of Pathology and Laboratory Medicine, University of British Columbia, Vancouver, British Columbia, Canada.

出版信息

Case Rep Pathol. 2022 Feb 25;2022:5896696. doi: 10.1155/2022/5896696. eCollection 2022.

Abstract

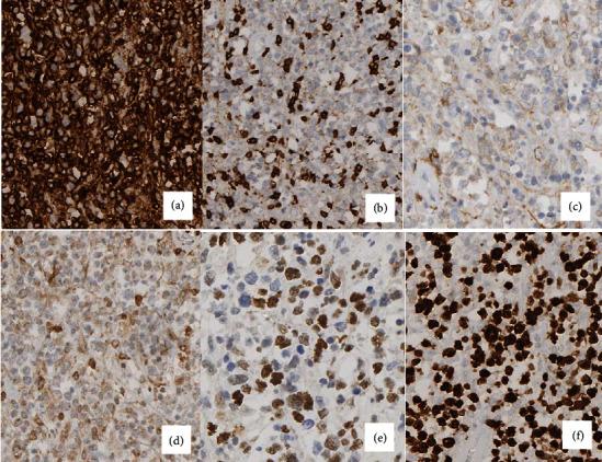
Primary lymphoma concurrent with teratoma of the ovary is exceedingly rare. Based on our review of the literature, there are only 8 case reports describing concurrent primary diffuse large B-cell lymphoma and teratoma. Here, we report the first case of primary follicular lymphoma concurrent with mature ovarian cystic teratoma, which, to our knowledge, has not been described in the literature.

摘要

原发性淋巴瘤合并卵巢畸胎瘤极为罕见。根据我们对文献的回顾,仅有8例报告描述了原发性弥漫性大B细胞淋巴瘤与畸胎瘤并存的情况。在此,我们报告首例原发性滤泡性淋巴瘤合并成熟卵巢囊性畸胎瘤的病例,据我们所知,此前文献中尚无此类描述。

https://cdn.ncbi.nlm.nih.gov/pmc/blobs/14e7/8896915/131bfbc6d962/CRIPA2022-5896696.001.jpg

文献AI研究员

20分钟写一篇综述,助力文献阅读效率提升50倍。

立即体验

用中文搜PubMed

大模型驱动的PubMed中文搜索引擎

马上搜索

文档翻译

学术文献翻译模型,支持多种主流文档格式。

立即体验