Suppr超能文献

胎盘间叶发育不良 1 例——病例报告及文献复习。

A rare case of placental mesenchymal dysplasia - case report and literature review.

机构信息

Department of Anatomy, Department of Obstetrics and Gynecology, Nicolae Malaxa Clinical Hospital, Carol Davila University of Medicine and Pharmacy, Bucharest, Romania;

出版信息

Rom J Morphol Embryol. 2021 Jul-Sep;62(3):855-859. doi: 10.47162/RJME.62.3.26.

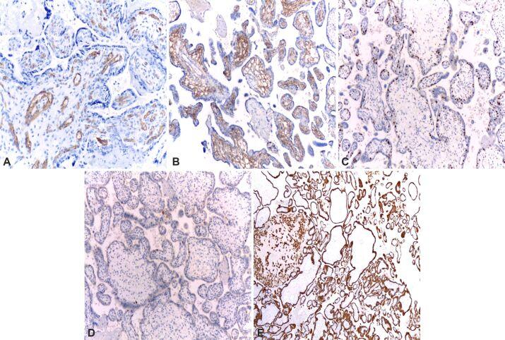
Abstract

Described as a rare anomaly of the placenta, with a reported incidence of 0.02%, mesenchymal dysplasia is a benign condition characterized by placentomegaly, grape-like vesicles and by microscopic features resembling those of a molar pregnancy, such as hydropic villi, cistern formation and dysplastic blood vessels. We report a rare case of placental mesenchymal dysplasia diagnosed in a pregnancy with early symmetric fetal intrauterine growth restriction and a normal karyotype. Based on this case report, we discuss the particularities of this condition, emphasizing the ultrasonography and histopathological findings.

摘要

被描述为胎盘的一种罕见异常,发病率为 0.02%,间质性发育不良是一种良性疾病,其特征为胎盘肿大、葡萄状囊泡,并具有类似于葡萄胎的显微镜特征,如水肿绒毛、腔形成和发育不良的血管。我们报告了一例罕见的胎盘间质性发育不良病例,该病例在妊娠早期出现对称性胎儿宫内生长受限和正常核型。基于此病例报告,我们讨论了这种情况的特殊性,强调了超声和组织病理学发现。

https://cdn.ncbi.nlm.nih.gov/pmc/blobs/e2af/9019607/9d68cea054f0/RJME-62-3-855-fig1.jpg

文献AI研究员

20分钟写一篇综述,助力文献阅读效率提升50倍。

立即体验

用中文搜PubMed

大模型驱动的PubMed中文搜索引擎

马上搜索

文档翻译

学术文献翻译模型,支持多种主流文档格式。

立即体验