Suppr超能文献

绝经后的子宫内膜:病理学家的观点。

Endometrium at Menopause: The Pathologist's View.

作者信息

Swain Meenakshi, Kulkarni Aditya D

机构信息

Department of Histopathology, Apollo Health City, Hyderabad, Telangana, India.

出版信息

J Midlife Health. 2021 Oct-Dec;12(4):310-315. doi: 10.4103/jmh.jmh_218_21. Epub 2022 Jan 20.

Abstract

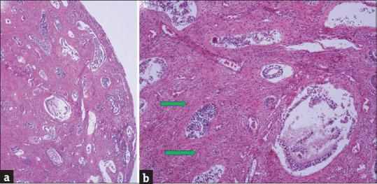
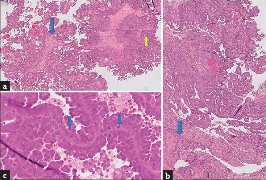
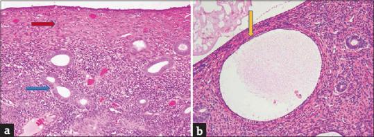
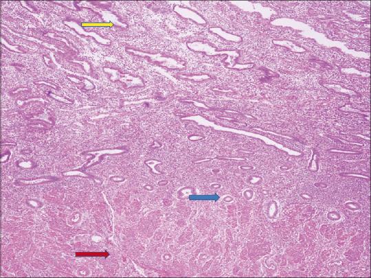
Endometrium at menopause is inactive and free of cyclical changes that are characteristics of the reproductive age. At the same time, menopausal endometrium is subject to a variety of disease processes, the most sinister of which are the endometrial malignancies. In the present pictorial review, we briefly discuss the various morphologic patterns of diseases affecting the menopausal endometrium. With an aim to provide insights from the pathologists' point of view, multiple pictures for each of the disorders are shared. We highlight the finer points a pathologist looks for, to ensure proper treatment and welfare of postmenopausal women.

摘要

绝经后的子宫内膜处于静止状态,没有生殖年龄所特有的周期性变化。与此同时,绝经后子宫内膜易发生多种疾病过程,其中最严重的是子宫内膜恶性肿瘤。在本图片综述中,我们简要讨论影响绝经后子宫内膜的各种疾病的形态学模式。为了从病理学家的角度提供见解,我们分享了每种疾病的多张图片。我们强调了病理学家为确保绝经后女性得到适当治疗和健康所关注的细节要点。

https://cdn.ncbi.nlm.nih.gov/pmc/blobs/2eda/8849152/5e647a6f6057/JMH-12-310-g001.jpg

相似文献

1
Endometrium at Menopause: The Pathologist's View.
J Midlife Health. 2021 Oct-Dec;12(4):310-315. doi: 10.4103/jmh.jmh_218_21. Epub 2022 Jan 20.
2
Assessment of morphological changes and steroid receptors in the uteri of postmenopausal women.
Histol Histopathol. 2019 Jun;34(6):631-644. doi: 10.14670/HH-18-063. Epub 2018 Nov 14.
4
Thickened endometrium in the postmenopausal woman: sonographic-pathologic correlation.
Radiology. 1993 Apr;187(1):135-9. doi: 10.1148/radiology.187.1.8451399.
6
Understanding the Endometrium at Menopause: A Hysteroscopist's View.
J Midlife Health. 2021 Jul-Sep;12(3):232-236. doi: 10.4103/jmh.jmh_152_21. Epub 2021 Oct 16.
8
Hysteroscopic evaluation of menopausal patients with sonographically atrophic endometrium.
J Am Assoc Gynecol Laparosc. 2000 May;7(2):197-200. doi: 10.1016/s1074-3804(00)80040-7.
9
[Peer review in toxicologic histopathology: its necessity, type and procedure].
J Toxicol Sci. 1998 May;23 Suppl 1:1-9. doi: 10.2131/jts.23.supplementi_1.
10
Clinical management of vaginal bleeding in postmenopausal women.
Climacteric. 2020 Aug;23(4):343-349. doi: 10.1080/13697137.2020.1739642. Epub 2020 Apr 1.

引用本文的文献

1
2
Alloferon Mitigates LPS-Induced Endometritis by Attenuating the NLRP3/CASP1/IL-1β/IL-18 Signaling Cascade.
Inflammation. 2025 Apr;48(2):730-746. doi: 10.1007/s10753-024-02083-6. Epub 2024 Jun 24.
3
Mechanisms of Regeneration and Fibrosis in the Endometrium.
Annu Rev Cell Dev Biol. 2023 Oct 16;39:197-221. doi: 10.1146/annurev-cellbio-011723-021442.

本文引用的文献

1
Endometrial polyps: Pathogenesis, sequelae and treatment.
SAGE Open Med. 2019 May 2;7:2050312119848247. doi: 10.1177/2050312119848247. eCollection 2019.
2
Pathophysiology of heavy menstrual bleeding.
Womens Health (Lond). 2016 Jan;12(1):3-13. doi: 10.2217/whe.15.81. Epub 2015 Dec 23.
3
Recurrent postmenopausal bleeding: a prospective cohort study.
J Minim Invasive Gynecol. 2014 Sep-Oct;21(5):799-803. doi: 10.1016/j.jmig.2014.03.007. Epub 2014 Mar 25.
4
Prevalence of endometrial polyps and abnormal uterine bleeding in a Danish population aged 20-74 years.
Ultrasound Obstet Gynecol. 2009 Jan;33(1):102-8. doi: 10.1002/uog.6259.
6
Reproducibility of the diagnosis of endometrial hyperplasia, atypical hyperplasia, and well-differentiated carcinoma.
Am J Surg Pathol. 1998 Aug;22(8):1012-9. doi: 10.1097/00000478-199808000-00012.

文献AI研究员

20分钟写一篇综述,助力文献阅读效率提升50倍。

立即体验

用中文搜PubMed

大模型驱动的PubMed中文搜索引擎

马上搜索

文档翻译

学术文献翻译模型,支持多种主流文档格式。

立即体验