• 文献检索
  • 文档翻译
  • 深度研究
  • 学术资讯
  • Suppr Zotero 插件Zotero 插件
  • 邀请有礼
  • 套餐&价格
  • 历史记录
应用&插件
Suppr Zotero 插件Zotero 插件浏览器插件Mac 客户端Windows 客户端微信小程序
定价
高级版会员购买积分包购买API积分包
服务
文献检索文档翻译深度研究API 文档MCP 服务
关于我们
关于 Suppr公司介绍联系我们用户协议隐私条款
关注我们

Suppr 超能文献

核心技术专利:CN118964589B侵权必究
粤ICP备2023148730 号-1Suppr @ 2026

文献检索

告别复杂PubMed语法,用中文像聊天一样搜索,搜遍4000万医学文献。AI智能推荐,让科研检索更轻松。

立即免费搜索

文件翻译

保留排版,准确专业,支持PDF/Word/PPT等文件格式,支持 12+语言互译。

免费翻译文档

深度研究

AI帮你快速写综述,25分钟生成高质量综述,智能提取关键信息,辅助科研写作。

立即免费体验

巨大纵隔支气管动脉瘤酷似纵隔肿块:一例报告并文献简要回顾

Giant mediastinal bronchial artery aneurysm mimicking mediastinal mass: A case report and brief review of the literature.

作者信息

Balar Aneri B, Lakhani Dhairya A, Martin Daniel, Smith Kelly T, Kim Cathy

机构信息

Department of Radiology, West Virginia University, Morgantown, WV, 26506, USA.

出版信息

Radiol Case Rep. 2022 Mar 3;17(5):1496-1501. doi: 10.1016/j.radcr.2022.02.015. eCollection 2022 May.

DOI:10.1016/j.radcr.2022.02.015
PMID:35265248
原文链接:https://pmc.ncbi.nlm.nih.gov/articles/PMC8898754/
Abstract

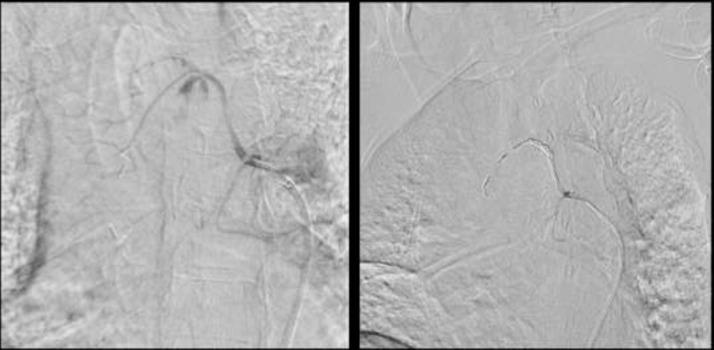
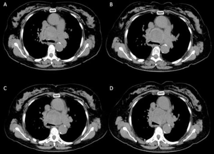
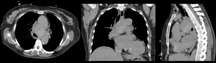
Bronchial artery aneurysm and pseudoaneurysm is a rare but life-threatening diagnosis due to catastrophic complications from rupture. Prompt detection and management is key to prevent complications. CT angiogram and digital subtraction angiography are preferred diagnostic imaging modalities. Being very uncommon, these entities can be misdiagnosed as a nonspecific mediastinal soft tissue mass, which can lead to delay in diagnosis and inappropriate or delayed management. We present a case of 72-year-old woman with incidentally detected large bronchial artery pseudoaneurysm, incorrectly classified as mediastinal malignancy at outside facility, receiving follow-up exams for 2 years, before correct diagnosis and management.

摘要

支气管动脉动脉瘤和假性动脉瘤是一种罕见但危及生命的诊断,因为破裂会引发灾难性并发症。及时检测和处理是预防并发症的关键。CT血管造影和数字减影血管造影是首选的诊断成像方式。由于非常罕见,这些病变可能被误诊为非特异性纵隔软组织肿块,从而导致诊断延迟以及治疗不当或延误。我们报告一例72岁女性病例,其偶然发现巨大支气管动脉假性动脉瘤,在外院被错误分类为纵隔恶性肿瘤,接受了2年的随访检查,最终才得以正确诊断和处理。

https://cdn.ncbi.nlm.nih.gov/pmc/blobs/c1db/8898754/d06e732065b3/gr7.jpg
https://cdn.ncbi.nlm.nih.gov/pmc/blobs/c1db/8898754/dae061a39105/gr1.jpg
https://cdn.ncbi.nlm.nih.gov/pmc/blobs/c1db/8898754/e57c5fa515aa/gr2.jpg
https://cdn.ncbi.nlm.nih.gov/pmc/blobs/c1db/8898754/4639d73e2ca6/gr3.jpg
https://cdn.ncbi.nlm.nih.gov/pmc/blobs/c1db/8898754/bca1bcb47a6e/gr4.jpg
https://cdn.ncbi.nlm.nih.gov/pmc/blobs/c1db/8898754/37684e07e853/gr5.jpg
https://cdn.ncbi.nlm.nih.gov/pmc/blobs/c1db/8898754/54e728a06154/gr6.jpg
https://cdn.ncbi.nlm.nih.gov/pmc/blobs/c1db/8898754/d06e732065b3/gr7.jpg
https://cdn.ncbi.nlm.nih.gov/pmc/blobs/c1db/8898754/dae061a39105/gr1.jpg
https://cdn.ncbi.nlm.nih.gov/pmc/blobs/c1db/8898754/e57c5fa515aa/gr2.jpg
https://cdn.ncbi.nlm.nih.gov/pmc/blobs/c1db/8898754/4639d73e2ca6/gr3.jpg
https://cdn.ncbi.nlm.nih.gov/pmc/blobs/c1db/8898754/bca1bcb47a6e/gr4.jpg
https://cdn.ncbi.nlm.nih.gov/pmc/blobs/c1db/8898754/37684e07e853/gr5.jpg
https://cdn.ncbi.nlm.nih.gov/pmc/blobs/c1db/8898754/54e728a06154/gr6.jpg
https://cdn.ncbi.nlm.nih.gov/pmc/blobs/c1db/8898754/d06e732065b3/gr7.jpg

相似文献

1
Giant mediastinal bronchial artery aneurysm mimicking mediastinal mass: A case report and brief review of the literature.巨大纵隔支气管动脉瘤酷似纵隔肿块:一例报告并文献简要回顾
Radiol Case Rep. 2022 Mar 3;17(5):1496-1501. doi: 10.1016/j.radcr.2022.02.015. eCollection 2022 May.
2
A Rare Case of Ruptured Bronchial Artery Pseudoaneurysm and Its Nonsurgical Management With Interventional Techniques.一例罕见的支气管动脉假性动脉瘤破裂及其介入技术非手术治疗病例
Cureus. 2020 Sep 17;12(9):e10502. doi: 10.7759/cureus.10502.
3
Giant mediastinal bronchial artery aneurysm mimicking benign esophageal tumor: a case report and review of 26 cases from literature.酷似良性食管肿瘤的巨大纵隔支气管动脉瘤:一例报告并文献复习26例
J Vasc Surg. 2003 Nov;38(5):1125-9. doi: 10.1016/s0741-5214(03)00707-9.
4
Case Report: Not a Mediastinal Mass! a Ruptured Giant Coronary Aneurysm That Occurred in a Young Man.病例报告:并非纵隔肿物!一名青年男性发生的巨大冠状动脉瘤破裂
Front Surg. 2022 Mar 18;9:812850. doi: 10.3389/fsurg.2022.812850. eCollection 2022.
5
Pseudoaneurysm of a Bronchial Artery: An Unusual Cause of Chest Pain.支气管动脉假性动脉瘤:胸痛的一种罕见病因。
Eur J Case Rep Intern Med. 2022 Feb 17;9(2):003195. doi: 10.12890/2022_003195. eCollection 2022.
6
[Mediastinal bronchial artery aneurysm: treatment with stent-graft].
J Mal Vasc. 2011 Feb;36(1):45-9. doi: 10.1016/j.jmv.2010.10.003. Epub 2010 Dec 4.
7
Diagnosis of bronchial artery aneurysm by computed tomography: a case report.计算机断层扫描诊断支气管动脉瘤:一例报告
Radiol Case Rep. 2017 Jun 3;12(3):455-459. doi: 10.1016/j.radcr.2017.04.017. eCollection 2017 Sep.
8
Bronchial artery pseudoaneurysm with symptomatic mediastinal hematoma.伴有症状性纵隔血肿的支气管动脉假性动脉瘤。
Clin Imaging. 2014 Jul-Aug;38(4):536-539. doi: 10.1016/j.clinimag.2014.01.010. Epub 2014 Feb 7.
9
[A case of ruptured bronchial artery aneurysm with hemothorax and mediastinal hematoma].[1例伴有血胸和纵隔血肿的支气管动脉动脉瘤破裂病例]
Nihon Kokyuki Gakkai Zasshi. 2009 Oct;47(10):895-9.
10
Growth of Mediastinal Bronchial Artery Aneurysms in a Patient With Bronchiectasis.一名支气管扩张患者纵隔支气管动脉瘤的生长
J Med Cases. 2019 Sep;10(9):267-270. doi: 10.14740/jmc3359. Epub 2019 Sep 26.

本文引用的文献

1
Primary nodular chest amyloidoma: A case report and review of literature.原发性结节性胸部淀粉样瘤:一例病例报告及文献综述
Radiol Case Rep. 2021 Dec 21;17(3):631-637. doi: 10.1016/j.radcr.2021.11.048. eCollection 2022 Mar.
2
Prominent crista terminalis mimicking a right atrial mass: A case report and brief review of the literature.酷似右心房肿块的显著界嵴:一例报告并文献简要回顾
Radiol Case Rep. 2021 Dec 9;17(3):434-438. doi: 10.1016/j.radcr.2021.11.028. eCollection 2022 Mar.
3
Atypical imaging presentation of a massive intracavitary cardiac thrombus: A case report and brief review of the literature.
巨大腔内心脏血栓的非典型影像学表现:一例报告并文献简要回顾
Radiol Case Rep. 2021 Aug 1;16(10):2847-2852. doi: 10.1016/j.radcr.2021.06.089. eCollection 2021 Oct.
4
Tracheobronchial amyloidosis: A case report and review of literature.气管支气管淀粉样变:一例病例报告及文献综述
Radiol Case Rep. 2021 Jul 1;16(9):2399-2403. doi: 10.1016/j.radcr.2021.05.082. eCollection 2021 Sep.
5
Bronchial Artery Pseudoaneurysm from a Tuberculous Lymph Node.支气管动脉假性动脉瘤源于结核性淋巴结。
Radiology. 2021 Jul;300(1):37. doi: 10.1148/radiol.2021204090. Epub 2021 May 4.
6
Pulmonary artery pseudoaneurysms: endovascular management after adequate imaging diagnosis.肺动脉假性动脉瘤:充分影像学诊断后的血管内治疗管理。
Eur Radiol. 2021 Sep;31(9):6480-6488. doi: 10.1007/s00330-021-07819-8. Epub 2021 Mar 13.
7
Esophageal Bronchial Artery Fistulaization: A Complication of an Endobronchial Ultrasound.食管支气管动脉瘘形成:支气管内超声检查的一种并发症。
ACG Case Rep J. 2020 Apr 10;7(4):e00355. doi: 10.14309/crj.0000000000000355. eCollection 2020 Apr.
8
Ultrasound- and Fluoroscopic-Guided Embolization of a Bronchial Artery Pseudoaneurysm in a Patient with Lung Cancer.肺癌患者支气管动脉假性动脉瘤的超声及透视引导下栓塞术
J Vasc Interv Radiol. 2017 Sep;28(9):1323-1325. doi: 10.1016/j.jvir.2017.04.015.
9
Bronchial artery pseudoaneurysm with symptomatic mediastinal hematoma.伴有症状性纵隔血肿的支气管动脉假性动脉瘤。
Clin Imaging. 2014 Jul-Aug;38(4):536-539. doi: 10.1016/j.clinimag.2014.01.010. Epub 2014 Feb 7.
10
The use of covered stents for treatment of pulmonary artery pseudoaneurysms.
J Vasc Interv Radiol. 2013 Feb;24(2):296-8. doi: 10.1016/j.jvir.2012.10.024. Epub 2013 Jan 28.