Luo Guihu, He Yi, Yang Fangyuan, Zhai Zeqing, Han Jiaochan, Xu Wenchao, Zhang Jialin, Zhuang Lili, Zhang Yanan, Li Yehao, Song Rui, Luo Xiaoqing, Liang Jianheng, Sun Erwei
The Third Affiliated Hospital of Southern Medical University, Department of Rheumatology and Immunology, Guangzhou, China.
Shunde Hospital of Southern Medical University, Department of Rheumatology and Immunology, Foshan, China.
Cell Death Discov. 2022 Mar 12;8(1):113. doi: 10.1038/s41420-022-00848-2.
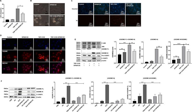
An increase in apoptosis and/or defects in the clearance of apoptotic cells resulting in massive secondary necrosis have been recognized as the main causes of systemic lupus erythematosus (SLE). Recent findings have revealed that gasdermin E (GSDME)-mediated pyroptosis is a mechanism associated with secondary necrosis. We aimed to investigate the effects of GSDME-mediated pyroptosis on disease activity in lupus mice. In vivo, high levels of GSDME expression were observed in the renal tubules of pristane-induced lupus (PIL) mice and SLE patients. In lupus mice, GSDME knockout or SP600125 administration effectively ameliorated lupus-like features by inhibiting GSDME-mediated renal tubular epithelial cell pyroptosis. In vitro, treatment with tumour necrosis factor-α (TNF-α) plus cycloheximide (CHX) or SLE sera induced HK2 cells to undergo pyroptosis in a caspase-3- and GSDME-dependent manner. Likewise, SP600125 significantly reduced GSDME expression and decreased pyroptosis in HK2 cells. GSDME-mediated pyroptosis may be associated with SLE pathogenesis, and targeting GSDME may be a potential strategy for treating SLE.
细胞凋亡增加和/或凋亡细胞清除缺陷导致大量继发性坏死,已被认为是系统性红斑狼疮(SLE)的主要病因。最近的研究发现表明,gasdermin E(GSDME)介导的细胞焦亡是一种与继发性坏死相关的机制。我们旨在研究GSDME介导的细胞焦亡对狼疮小鼠疾病活动的影响。在体内,在 pristane 诱导的狼疮(PIL)小鼠和 SLE 患者的肾小管中观察到高水平的 GSDME 表达。在狼疮小鼠中,GSDME 基因敲除或给予 SP600125 通过抑制 GSDME 介导的肾小管上皮细胞焦亡有效地改善了狼疮样特征。在体外,用肿瘤坏死因子-α(TNF-α)加放线菌酮(CHX)或 SLE 血清处理可诱导 HK2 细胞以半胱天冬酶-3 和 GSDME 依赖性方式发生细胞焦亡。同样,SP600125 显著降低了 HK2 细胞中 GSDME 的表达并减少了细胞焦亡。GSDME 介导的细胞焦亡可能与 SLE 的发病机制有关,靶向 GSDME 可能是治疗 SLE 的一种潜在策略。