• 文献检索
  • 文档翻译
  • 深度研究
  • 学术资讯
  • Suppr Zotero 插件Zotero 插件
  • 邀请有礼
  • 套餐&价格
  • 历史记录
应用&插件
Suppr Zotero 插件Zotero 插件浏览器插件Mac 客户端Windows 客户端微信小程序
定价
高级版会员购买积分包购买API积分包
服务
文献检索文档翻译深度研究API 文档MCP 服务
关于我们
关于 Suppr公司介绍联系我们用户协议隐私条款
关注我们

Suppr 超能文献

核心技术专利:CN118964589B侵权必究
粤ICP备2023148730 号-1Suppr @ 2026

文献检索

告别复杂PubMed语法,用中文像聊天一样搜索,搜遍4000万医学文献。AI智能推荐,让科研检索更轻松。

立即免费搜索

文件翻译

保留排版,准确专业,支持PDF/Word/PPT等文件格式,支持 12+语言互译。

免费翻译文档

深度研究

AI帮你快速写综述,25分钟生成高质量综述,智能提取关键信息,辅助科研写作。

立即免费体验

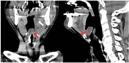
Male with sore throat and dyspnea.

作者信息

Okumura Hisatoshi, Takebe Kotaro

机构信息

Department of Emergency Medicine North Medical Center Kyoto Prefectural University of Medicine Kyoto Japan.

出版信息

J Am Coll Emerg Physicians Open. 2022 Mar 5;3(2):e12686. doi: 10.1002/emp2.12686. eCollection 2022 Apr.

DOI:10.1002/emp2.12686
PMID:35280924
原文链接:https://pmc.ncbi.nlm.nih.gov/articles/PMC8898076/
Abstract
摘要
https://cdn.ncbi.nlm.nih.gov/pmc/blobs/eadf/8898076/36e6a9b01b72/EMP2-3-e12686-g002.jpg
https://cdn.ncbi.nlm.nih.gov/pmc/blobs/eadf/8898076/3704a7e9c703/EMP2-3-e12686-g001.jpg
https://cdn.ncbi.nlm.nih.gov/pmc/blobs/eadf/8898076/36e6a9b01b72/EMP2-3-e12686-g002.jpg
https://cdn.ncbi.nlm.nih.gov/pmc/blobs/eadf/8898076/3704a7e9c703/EMP2-3-e12686-g001.jpg
https://cdn.ncbi.nlm.nih.gov/pmc/blobs/eadf/8898076/36e6a9b01b72/EMP2-3-e12686-g002.jpg

相似文献

1
Male with sore throat and dyspnea.男性,伴有咽痛和呼吸困难。
J Am Coll Emerg Physicians Open. 2022 Mar 5;3(2):e12686. doi: 10.1002/emp2.12686. eCollection 2022 Apr.
2
Sore throat following tracheal intubation.气管插管后咽痛
Middle East J Anaesthesiol. 2001 Feb;16(1):29-40.
3
Effect of postoperative ultrasound-guided internal superior laryngeal nerve block on sore throat after intubation of double-lumen bronchial tube: a randomized controlled double-blind trial.术后超声引导内上喉返神经阻滞对双腔支气管插管后咽喉痛的影响:一项随机对照双盲试验。
BMC Anesthesiol. 2022 Sep 1;22(1):276. doi: 10.1186/s12871-022-01819-x.
4
Postoperative sore throat related to tracheal tube cuff design.与气管导管套囊设计相关的术后咽痛
Can Anaesth Soc J. 1982 Jul;29(4):384-6. doi: 10.1007/BF03007531.
5
Postoperative sore throat after ambulatory surgery.门诊手术后的咽痛
Br J Anaesth. 2002 Apr;88(4):582-4. doi: 10.1093/bja/88.4.582.
6
Postoperative sore throat: effect of oropharyngeal airway in orotracheally intubated patients.术后咽痛:口咽通气道对经口气管插管患者的影响。
Anesth Analg. 1990 May;70(5):512-6. doi: 10.1213/00000539-199005000-00008.
7
Postoperative sore throat after elective surgical procedures.择期手术后的咽痛
J Ayub Med Coll Abbottabad. 2007 Apr-Jun;19(2):12-4.
8
Sore throat presentation and management in general practice.全科医疗中咽喉痛的临床表现与管理
N Z Med J. 1993 Sep 8;106(963):381-3.
9
Incidence and Associated Risk Factors of Postoperative Sore Throat in Tertiary Care Hospital.三级护理医院术后咽痛的发生率及相关危险因素
Kathmandu Univ Med J (KUMJ). 2017;15(57):10-13.
10
Tracheal tubes lubricated with water to reduce sore throat after intubation: A randomized non-inferiority trial.气管导管润滑用水以减少插管后咽痛:一项随机非劣效性试验。
PLoS One. 2018 Oct 4;13(10):e0204846. doi: 10.1371/journal.pone.0204846. eCollection 2018.

本文引用的文献

1
Unilateral arytenoid swelling in acute epiglottitis suggests the presence of peritonsillar abscess.急性会厌炎中单侧杓状软骨肿胀提示存在扁桃体周脓肿。
Auris Nasus Larynx. 2020 Dec;47(6):1023-1026. doi: 10.1016/j.anl.2020.06.008. Epub 2020 Jul 18.
2
Do we need a change in ED diagnostic strategy for adult acute epiglottitis?
Am J Emerg Med. 2017 Oct;35(10):1519-1524. doi: 10.1016/j.ajem.2017.04.039. Epub 2017 Apr 20.
3
Four cases of acute epiglottitis with a peritonsillar abscess.4例急性会厌炎合并扁桃体周脓肿。
Auris Nasus Larynx. 2011 Apr;38(2):284-8. doi: 10.1016/j.anl.2010.06.004. Epub 2010 Aug 25.