• 文献检索
  • 文档翻译
  • 深度研究
  • 学术资讯
  • Suppr Zotero 插件Zotero 插件
  • 邀请有礼
  • 套餐&价格
  • 历史记录
应用&插件
Suppr Zotero 插件Zotero 插件浏览器插件Mac 客户端Windows 客户端微信小程序
定价
高级版会员购买积分包购买API积分包
服务
文献检索文档翻译深度研究API 文档MCP 服务
关于我们
关于 Suppr公司介绍联系我们用户协议隐私条款
关注我们

Suppr 超能文献

核心技术专利:CN118964589B侵权必究
粤ICP备2023148730 号-1Suppr @ 2026

文献检索

告别复杂PubMed语法,用中文像聊天一样搜索,搜遍4000万医学文献。AI智能推荐,让科研检索更轻松。

立即免费搜索

文件翻译

保留排版,准确专业,支持PDF/Word/PPT等文件格式,支持 12+语言互译。

免费翻译文档

深度研究

AI帮你快速写综述,25分钟生成高质量综述,智能提取关键信息,辅助科研写作。

立即免费体验

马蹄形肾上腺伴主动脉后右侧膈脚及多种血管变异:2例报告

Horseshoe adrenal gland associated with retro-aortic right diaphragmatic crus and several vascular variants: Report of two cases.

作者信息

Kamona Aws, Fox Andrew, Semionov Alexandre

机构信息

Department of Diagnostic Radiology, McGill University Health Centre, Montreal General Hospital, 1650 Cedar Avenue Montreal, QC H3G 1A4, Canada.

出版信息

Radiol Case Rep. 2022 Mar 9;17(5):1568-1572. doi: 10.1016/j.radcr.2022.02.027. eCollection 2022 May.

DOI:10.1016/j.radcr.2022.02.027
PMID:35282322
原文链接:https://pmc.ncbi.nlm.nih.gov/articles/PMC8914094/
Abstract

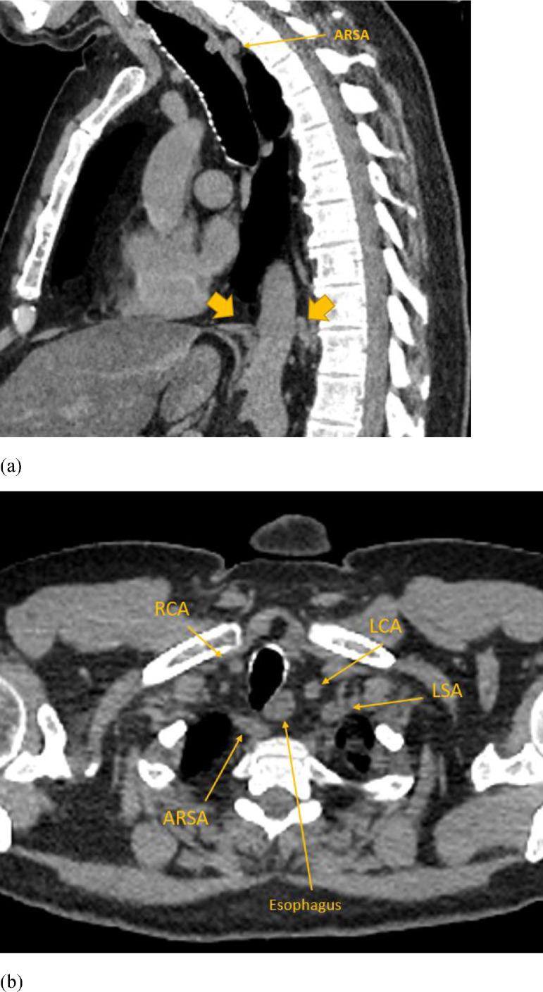
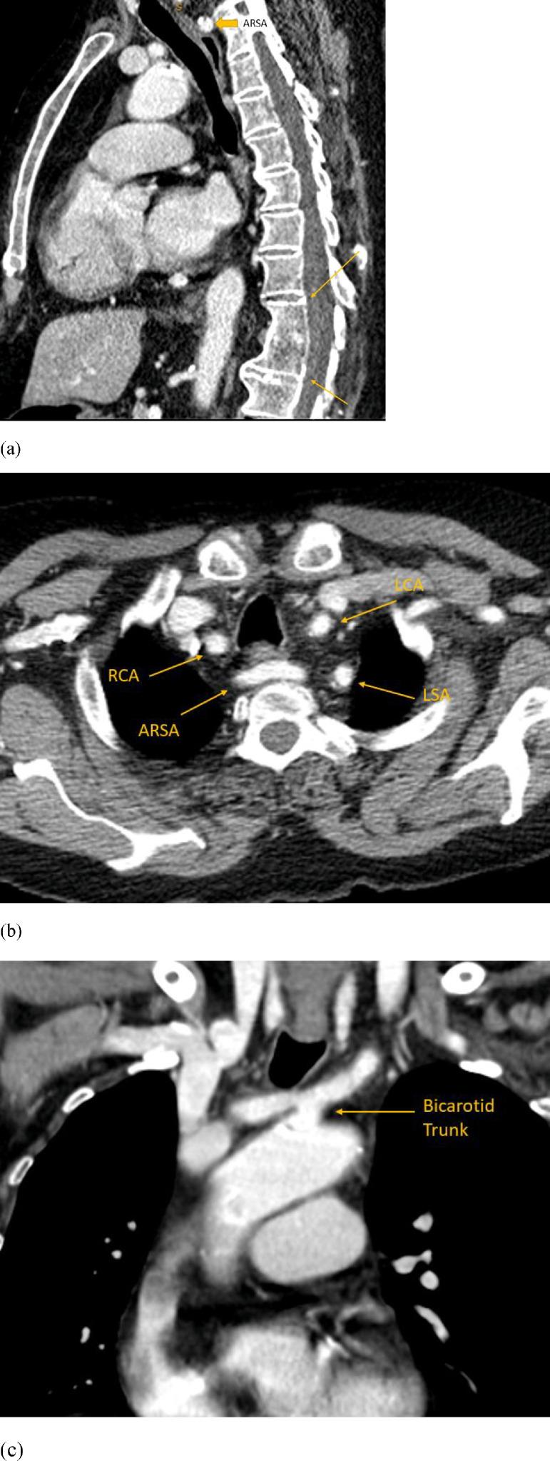
Horseshoe adrenal gland (HA) refers to congenital fusion of the adrenal glands across the midline - a rare anatomical variant often found in association with other congenital anomalies. Here we report 2 cases of HA associated with retro-aortic course of the right diaphragmatic crus, yet another rare anatomical variant, in a 61 your-old male and a 69-year-old female, who underwent CT examinations for unrelated reasons. Both patients also had additional vascular and vertebral anomalies. To the best of our knowledge, this is the first report to document association of 2 rare congenital anomalies: HA and retro-aortic right diaphragmatic crus.

摘要

马蹄形肾上腺(HA)是指肾上腺跨越中线的先天性融合——一种罕见的解剖变异,常与其他先天性异常相关。本文报告2例马蹄形肾上腺合并右膈脚走行于主动脉后方(另一种罕见的解剖变异)的病例,患者分别为一名61岁男性和一名69岁女性,他们因无关原因接受了CT检查。两名患者还存在其他血管和脊柱异常。据我们所知,这是首次报道两种罕见先天性异常:马蹄形肾上腺和右膈脚走行于主动脉后方的关联。

https://cdn.ncbi.nlm.nih.gov/pmc/blobs/38eb/8914094/4414ea6a3df1/gr5.jpg
https://cdn.ncbi.nlm.nih.gov/pmc/blobs/38eb/8914094/167c8a8a1589/gr1.jpg
https://cdn.ncbi.nlm.nih.gov/pmc/blobs/38eb/8914094/4f91b7e9fd1d/gr2.jpg
https://cdn.ncbi.nlm.nih.gov/pmc/blobs/38eb/8914094/b21cb6aeb32e/gr3.jpg
https://cdn.ncbi.nlm.nih.gov/pmc/blobs/38eb/8914094/1b70696b25e6/gr4.jpg
https://cdn.ncbi.nlm.nih.gov/pmc/blobs/38eb/8914094/4414ea6a3df1/gr5.jpg
https://cdn.ncbi.nlm.nih.gov/pmc/blobs/38eb/8914094/167c8a8a1589/gr1.jpg
https://cdn.ncbi.nlm.nih.gov/pmc/blobs/38eb/8914094/4f91b7e9fd1d/gr2.jpg
https://cdn.ncbi.nlm.nih.gov/pmc/blobs/38eb/8914094/b21cb6aeb32e/gr3.jpg
https://cdn.ncbi.nlm.nih.gov/pmc/blobs/38eb/8914094/1b70696b25e6/gr4.jpg
https://cdn.ncbi.nlm.nih.gov/pmc/blobs/38eb/8914094/4414ea6a3df1/gr5.jpg

相似文献

1
Horseshoe adrenal gland associated with retro-aortic right diaphragmatic crus and several vascular variants: Report of two cases.马蹄形肾上腺伴主动脉后右侧膈脚及多种血管变异:2例报告
Radiol Case Rep. 2022 Mar 9;17(5):1568-1572. doi: 10.1016/j.radcr.2022.02.027. eCollection 2022 May.
2
Horseshoe adrenal gland: a rare congenital anomaly.马蹄形肾上腺:一种罕见的先天性异常。
Surg Radiol Anat. 2013 Oct;35(8):749-54. doi: 10.1007/s00276-013-1105-5. Epub 2013 Mar 22.
3
Aberrant right subclavian artery in a cadaver: a case report of an aortic arch anomaly.尸体中异常的右锁骨下动脉:主动脉弓异常的 1 例报告。
Folia Morphol (Warsz). 2021;80(3):726-729. doi: 10.5603/FM.a2020.0081. Epub 2020 Aug 4.
4
Horseshoe adrenal gland in association with asplenia: presentation of six new cases and review of the literature.马蹄形肾上腺合并无脾畸形:6例新病例报告及文献复习
Pediatr Radiol. 2002 Nov;32(11):778-82. doi: 10.1007/s00247-002-0773-9. Epub 2002 Jul 27.
5
Horseshoe adrenal gland associated with spinal and vascular anomalies.马蹄形肾上腺与脊柱和血管异常相关。
Surg Radiol Anat. 2020 Apr;42(4):483-485. doi: 10.1007/s00276-019-02366-w. Epub 2019 Nov 4.
6
Anomalies of the aortic arch in dogs: evaluation with the use of multidetector computed tomography angiography and proposal of an extended classification scheme.犬主动脉弓异常:多排螺旋 CT 血管造影评估及扩展分类方案的提出。
BMC Vet Res. 2021 Dec 16;17(1):387. doi: 10.1186/s12917-021-03101-7.
7
A man with a horseshoe adrenal gland associated with a midline posterior diaphragmatic defect.一名患有马蹄形肾上腺并伴有后纵隔中线缺损的男性。
J Comput Assist Tomogr. 2009 Sep-Oct;33(5):717-20. doi: 10.1097/RCT.0b013e318199d93a.
8
Complex aortic arch anomaly: Right aortic arch with aberrant left subclavian artery, fenestrated proximal right and duplicated proximal left vertebral arteries-CT angiography findings and review of the literature.复杂主动脉弓异常:右位主动脉弓伴迷走左锁骨下动脉、右侧近端椎动脉开窗及左侧近端椎动脉重复——CT血管造影表现及文献复习
Neuroradiol J. 2015 Aug;28(4):396-403. doi: 10.1177/1971400915598075. Epub 2015 Aug 25.
9
A systematic classification of the left-sided aortic arch variants based on cadaveric studies' prevalence.基于尸体研究患病率的左侧主动脉弓变异的系统分类。
Surg Radiol Anat. 2021 Mar;43(3):327-345. doi: 10.1007/s00276-020-02625-1. Epub 2021 Jan 2.
10
Association of the truncus bicaroticus, common trunk of the left sub-sclavian and vertebral arteries, and retro-esophageal right subclavian artery. Case report.双侧颈动脉干、左锁骨下动脉与椎动脉共同干及食管后右锁骨下动脉的关联。病例报告。
Ann Anat. 2000 May;182(3):281-3. doi: 10.1016/S0940-9602(00)80036-9.

本文引用的文献

1
Horseshoe adrenal gland associated with type 1 diastematomyelia in an asymptomatic adult.无症状成人中马蹄形肾上腺与Ⅰ型脊髓纵裂相关。
BJR Case Rep. 2021 Jan 28;7(3):20200188. doi: 10.1259/bjrcr.20200188. eCollection 2021 May 1.
2
Congenital Variants and Anomalies of the Aortic Arch.主动脉弓的先天性变异与异常
Radiographics. 2017 Jan-Feb;37(1):32-51. doi: 10.1148/rg.2017160033. Epub 2016 Nov 18.
3
Anomalous pattern of origin of the left gastric, splenic, and common hepatic arteries arising independently from the abdominal aorta.
胃左动脉、脾动脉和肝总动脉自腹主动脉独立发出的异常起源模式。
Rom J Morphol Embryol. 2014;55(4):1449-53.
4
Horseshoe adrenal gland: a rare congenital anomaly.马蹄形肾上腺:一种罕见的先天性异常。
Surg Radiol Anat. 2013 Oct;35(8):749-54. doi: 10.1007/s00276-013-1105-5. Epub 2013 Mar 22.
5
Dysphagia lusoria: a case of an aberrant right subclavian artery and a bicarotid trunk.迷走性吞咽困难:一例异常右锁骨下动脉和双颈动脉干病例
ISRN Surg. 2011;2011:819295. doi: 10.5402/2011/819295. Epub 2011 Apr 4.
6
A man with a horseshoe adrenal gland associated with a midline posterior diaphragmatic defect.一名患有马蹄形肾上腺并伴有后纵隔中线缺损的男性。
J Comput Assist Tomogr. 2009 Sep-Oct;33(5):717-20. doi: 10.1097/RCT.0b013e318199d93a.
7
Morphologic variation of the diaphragmatic crura: a correlation with pathologic processes of the esophageal hiatus?膈肌脚的形态变异:与食管裂孔病理过程的相关性?
Folia Morphol (Warsz). 2008 Nov;67(4):273-9.
8
Vertebral and carotid artery anomalies in patients with aberrant right subclavian arteries.异常右锁骨下动脉患者的椎动脉和颈动脉异常
Pediatr Radiol. 2007 Oct;37(10):1007-12. doi: 10.1007/s00247-007-0574-2. Epub 2007 Sep 1.
9
Horseshoe adrenal gland in association with asplenia: presentation of six new cases and review of the literature.马蹄形肾上腺合并无脾畸形:6例新病例报告及文献复习
Pediatr Radiol. 2002 Nov;32(11):778-82. doi: 10.1007/s00247-002-0773-9. Epub 2002 Jul 27.