Suppr超能文献

国药集团新冠疫苗接种后药物性肝炎:一名62岁患者的病例研究

Drug-induced hepatitis after Sinopharm COVID-19 vaccination: A case study of a 62-year-old patient.

作者信息

Ghorbani Hossein, Rouhi Tina, Vosough Zeinab, Shokri-Shirvani Javad

机构信息

Cancer Research Center, Department of Pathology, Babol University of Medical Science, Mazandaran, Iran.

Cancer Research Center, Department of Pathology, Babol University of Medical Science, Mazandaran, Iran.

出版信息

Int J Surg Case Rep. 2022 Apr;93:106926. doi: 10.1016/j.ijscr.2022.106926. Epub 2022 Mar 9.

Abstract

INTRODUCTION

COVID-19 virus pandemic has begun since 2020 and became one of the most important causes of mortalities. Accordingly, vaccination has found a vital role in control of COVID-19 virus. Despite many advantages of vaccines in controlling the virus spread and reducing the mortal rate, these benefits came at the expense of side effects which have not been fully explored nor should be ignored. One of the most serious side effects of vaccination, which has been reported recently, is liver injury.

CASE PRESENTATION

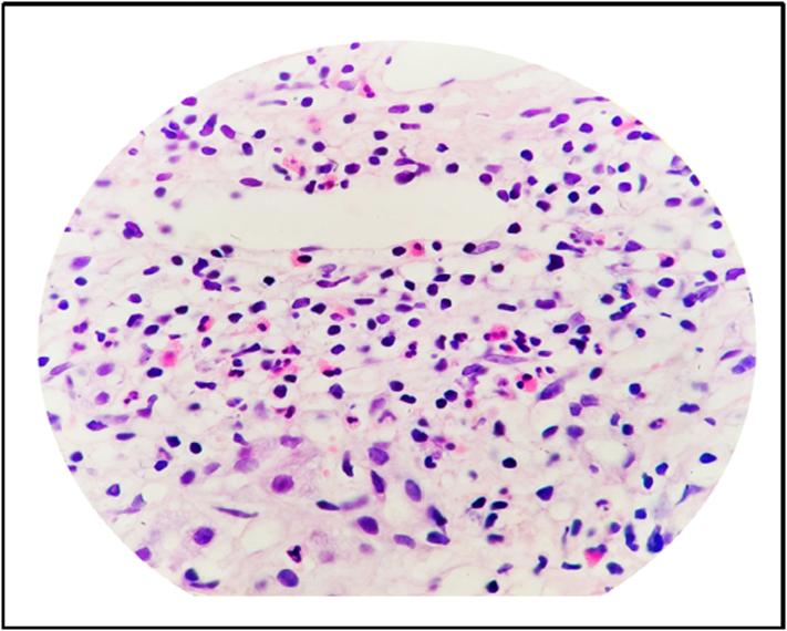
This study presents a case of hepatitis initiated by Sinopharm vaccine for COVID-19. A 62-year-old man presented with jaundice, weight loss and elevated liver enzymes three days after getting the second dose of COVID-19 vaccine. Microscopic sections showed hepatitis pattern of injury with both portal and lobular inflammation and marked eosinophils infiltration.

DISCUSSION

Several cases of hepatitis have been reported after COVID-19 vaccines, but almost all of them were diagnosed as autoimmune hepatitis, triggered by COVID-19 mRNA or viral vector vaccines but the present case is one of the first reported cases of hepatitis after Sinopharm vaccine, an inactivated virus COVID-19 vaccine. Spontaneous decrease in liver enzyme levels, without corticosteroids therapy, is against to the diagnosis of autoimmune hepatitis in other reported cases.

CONCLUSION

Considering the microscopic findings, along with the negative serologic studies for viral and autoimmune hepatitis, and by ruling out of other causes of hepatitis like COVID-19 or other viral infections, a probable relation between liver injury and Sinopharm vaccine may be interpreted.

摘要

引言

2020年以来,新型冠状病毒肺炎(COVID-19)疫情爆发,成为最重要的死亡原因之一。因此,疫苗接种在控制COVID-19疫情中发挥了至关重要的作用。尽管疫苗在控制病毒传播和降低死亡率方面有诸多优势,但这些益处是以尚未充分探究且不应被忽视的副作用为代价的。疫苗接种最严重的副作用之一,是近期报道的肝损伤。

病例报告

本研究报告了1例由国药集团COVID-19疫苗引发的肝炎病例。一名62岁男性在接种第二剂COVID-19疫苗三天后,出现黄疸、体重减轻和肝酶升高。显微镜切片显示肝炎损伤模式,伴有门管区和小叶炎症以及明显的嗜酸性粒细胞浸润。

讨论

COVID-19疫苗接种后已有数例肝炎病例报告,但几乎所有病例都被诊断为自身免疫性肝炎,由COVID-19信使核糖核酸(mRNA)或病毒载体疫苗引发,但本病例是最早报告的接种国药集团疫苗(一种COVID-19灭活病毒疫苗)后发生肝炎的病例之一。在未使用皮质类固醇治疗的情况下,肝酶水平自发下降,这与其他报告病例中自身免疫性肝炎的诊断不符。

结论

结合显微镜检查结果、病毒和自身免疫性肝炎血清学检查阴性结果,并排除COVID-19或其他病毒感染等其他肝炎病因,可推断肝损伤与国药集团疫苗之间可能存在关联。

https://cdn.ncbi.nlm.nih.gov/pmc/blobs/88bc/8941177/6c0eb8e56332/gr1.jpg

文献AI研究员

20分钟写一篇综述,助力文献阅读效率提升50倍。

立即体验

用中文搜PubMed

大模型驱动的PubMed中文搜索引擎

马上搜索

文档翻译

学术文献翻译模型,支持多种主流文档格式。

立即体验