• 文献检索
  • 文档翻译
  • 深度研究
  • 学术资讯
  • Suppr Zotero 插件Zotero 插件
  • 邀请有礼
  • 套餐&价格
  • 历史记录
应用&插件
Suppr Zotero 插件Zotero 插件浏览器插件Mac 客户端Windows 客户端微信小程序
定价
高级版会员购买积分包购买API积分包
服务
文献检索文档翻译深度研究API 文档MCP 服务
关于我们
关于 Suppr公司介绍联系我们用户协议隐私条款
关注我们

Suppr 超能文献

核心技术专利:CN118964589B侵权必究
粤ICP备2023148730 号-1Suppr @ 2026

文献检索

告别复杂PubMed语法,用中文像聊天一样搜索,搜遍4000万医学文献。AI智能推荐,让科研检索更轻松。

立即免费搜索

文件翻译

保留排版,准确专业,支持PDF/Word/PPT等文件格式,支持 12+语言互译。

免费翻译文档

深度研究

AI帮你快速写综述,25分钟生成高质量综述,智能提取关键信息,辅助科研写作。

立即免费体验

SMARCA2 缺陷型非小细胞肺癌:来自单一机构的大系列病例的临床病理和免疫组织化学分析。

SMARCA2 deficiency in NSCLC: a clinicopathologic and immunohistochemical analysis of a large series from a single institution.

机构信息

Department of Oncology, Weihai Municipal Hospital, Cheeloo College of Medicine, Shandong University.

Department of Pathology, Weihai Municipal Hospital, Cheeloo College of Medicine, Shandong University.

出版信息

Environ Health Prev Med. 2022;27:3. doi: 10.1265/ehpm.21-00254.

DOI:10.1265/ehpm.21-00254
PMID:35289322
原文链接:https://pmc.ncbi.nlm.nih.gov/articles/PMC9093611/
Abstract

BACKGROUND

SMARCA2 (SWI/SNF Related, Matrix Associated, Actin Dependent Regulator of Chromatin, Subfamily A, Member 2) is an important ATPase catalytic subunit in the switch-sucrose nonfermenting (SWI/SNF) complex. However, its relationship with the pathological features of NSCLC and its prognosis remain unclear.

METHODS

We retrospectively reviewed 2390 patients with surgically resected NSCLC, constructed tissue microarrays (TMAs) and performed immunohistochemical assays. We analyzed the correlation of SAMRCA2 with clinicopathological features and evaluated its prognostic value.

RESULTS

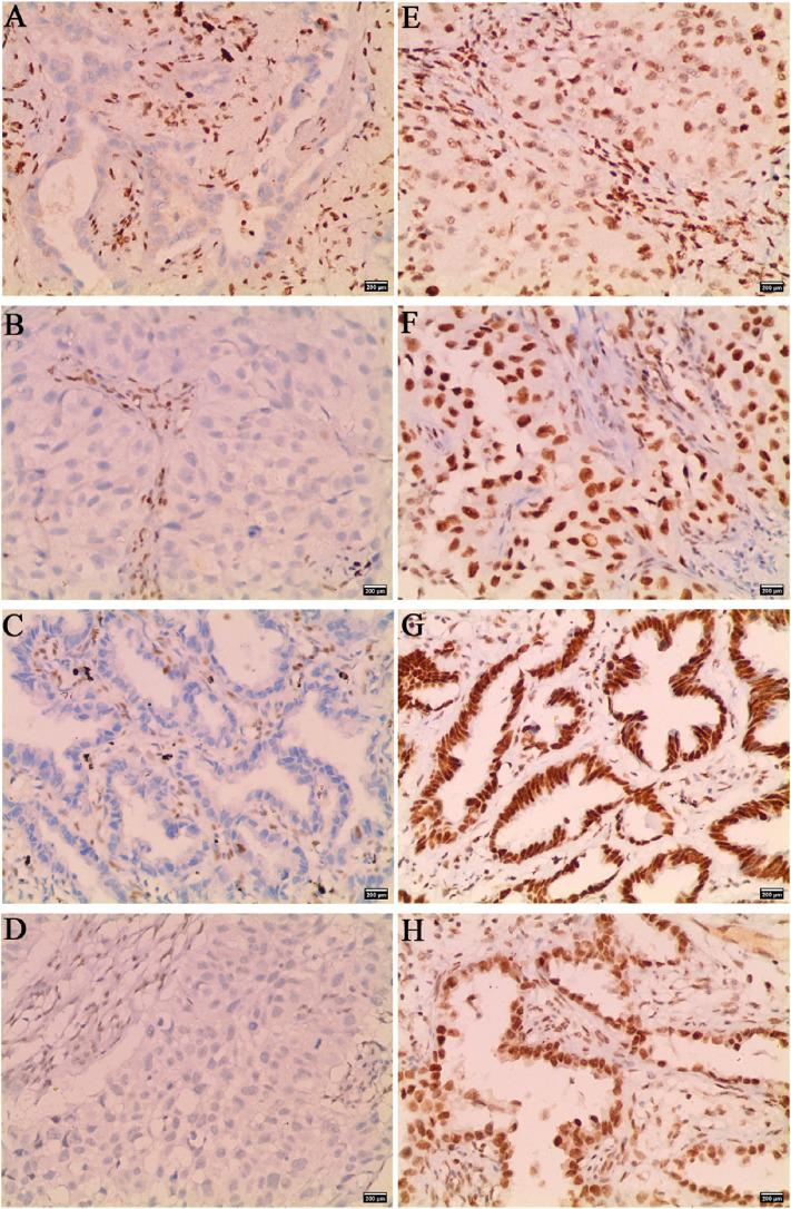
Among 2390 NSCLC cases, the negative expression ratios of SAMRCA2, SMARCA4, ARID1A, ARID1B and INI1 were 9.3%, 1.8%, 1.2%, 0.4% and 0%, respectively. In NSCLC, male sex, T3 and T4 stage, moderate and poor differentiation, tumor ≥ 2 cm, Ki67 ≥ 15%, SOX-2 negative expression, middle lobe lesion and adenocarcinoma were relative risk factors affecting SMARCA2-negative expression. In lung adenocarcinomas, high-grade nuclei, histological morphology of acinar and papillary, solid and micropapillary and TTF-1-negative expression were relative risk factors affecting SMARCA2-negative expression. Kaplan-Meier survival analysis showed that the OS was shorter in the SMARCA2-negative group. Multivariate survival analysis revealed that SMARCA2-negative expression was an independent factor correlated with a poor prognosis in NSCLC.

CONCLUSION

In conclusion, SMARCA2-negative expression is an independent predictor of a poor outcome of NSCLC and is a potential target for NSCLC treatment.

摘要

背景

SMARCA2(SWI/SNF 相关,基质相关,肌动蛋白依赖性染色质调节剂,亚家族 A,成员 2)是开关蔗糖非发酵(SWI/SNF)复合物中的重要 ATP 酶催化亚基。然而,其与非小细胞肺癌(NSCLC)的病理特征及其预后的关系尚不清楚。

方法

我们回顾性分析了 2390 例接受手术切除的 NSCLC 患者,构建了组织微阵列(TMA)并进行了免疫组织化学检测。我们分析了 SMARCA2 与临床病理特征的相关性,并评估了其预后价值。

结果

在 2390 例 NSCLC 病例中,SMARCA2、SMARCA4、ARID1A、ARID1B 和 INI1 的阴性表达率分别为 9.3%、1.8%、1.2%、0.4%和 0%。在 NSCLC 中,男性、T3 和 T4 期、中-低分化、肿瘤≥2cm、Ki67≥15%、SOX-2 阴性表达、中叶病变和腺癌是影响 SMARCA2 阴性表达的相对危险因素。在肺腺癌中,高级核、腺泡和乳头状组织形态、实性和微乳头状以及 TTF-1 阴性表达是影响 SMARCA2 阴性表达的相对危险因素。Kaplan-Meier 生存分析显示,SMARCA2 阴性组的 OS 较短。多因素生存分析显示,SMARCA2 阴性表达是 NSCLC 预后不良的独立相关因素。

结论

总之,SMARCA2 阴性表达是 NSCLC 不良预后的独立预测因子,可能是 NSCLC 治疗的潜在靶点。

https://cdn.ncbi.nlm.nih.gov/pmc/blobs/4697/9093611/9ee5e98c4fe7/ehpm-27-003-g005.jpg
https://cdn.ncbi.nlm.nih.gov/pmc/blobs/4697/9093611/ed3c911b9e7f/ehpm-27-003-g001.jpg
https://cdn.ncbi.nlm.nih.gov/pmc/blobs/4697/9093611/e29d5fd2efc4/ehpm-27-003-g002.jpg
https://cdn.ncbi.nlm.nih.gov/pmc/blobs/4697/9093611/474e38cab3da/ehpm-27-003-g003.jpg
https://cdn.ncbi.nlm.nih.gov/pmc/blobs/4697/9093611/e3bc0448fb17/ehpm-27-003-g004.jpg
https://cdn.ncbi.nlm.nih.gov/pmc/blobs/4697/9093611/9ee5e98c4fe7/ehpm-27-003-g005.jpg
https://cdn.ncbi.nlm.nih.gov/pmc/blobs/4697/9093611/ed3c911b9e7f/ehpm-27-003-g001.jpg
https://cdn.ncbi.nlm.nih.gov/pmc/blobs/4697/9093611/e29d5fd2efc4/ehpm-27-003-g002.jpg
https://cdn.ncbi.nlm.nih.gov/pmc/blobs/4697/9093611/474e38cab3da/ehpm-27-003-g003.jpg
https://cdn.ncbi.nlm.nih.gov/pmc/blobs/4697/9093611/e3bc0448fb17/ehpm-27-003-g004.jpg
https://cdn.ncbi.nlm.nih.gov/pmc/blobs/4697/9093611/9ee5e98c4fe7/ehpm-27-003-g005.jpg

相似文献

1
SMARCA2 deficiency in NSCLC: a clinicopathologic and immunohistochemical analysis of a large series from a single institution.SMARCA2 缺陷型非小细胞肺癌:来自单一机构的大系列病例的临床病理和免疫组织化学分析。
Environ Health Prev Med. 2022;27:3. doi: 10.1265/ehpm.21-00254.
2
Non-small cell lung cancer with loss of expression of the SWI/SNF complex is associated with aggressive clinicopathological features, PD-L1-positive status, and high tumor mutation burden.SWI/SNF 复合物表达缺失的非小细胞肺癌与侵袭性临床病理特征、PD-L1 阳性状态和高肿瘤突变负担相关。
Lung Cancer. 2019 Dec;138:35-42. doi: 10.1016/j.lungcan.2019.10.009. Epub 2019 Oct 13.
3
SMARCA4 and SMARCA2 deficiency in non-small cell lung cancer: immunohistochemical survey of 316 consecutive specimens.非小细胞肺癌中SMARCA4和SMARCA2缺陷:316例连续标本的免疫组织化学研究
Ann Diagn Pathol. 2017 Feb;26:47-51. doi: 10.1016/j.anndiagpath.2016.10.006. Epub 2016 Oct 20.
4
Switch/sucrose nonfermenting nucleosome complex-deficient colorectal carcinomas have distinct clinicopathologic features.Switch/sucrose nonfermenting nucleosome complex-deficient 结直肠癌细胞具有独特的临床病理特征。
Hum Pathol. 2020 May;99:53-61. doi: 10.1016/j.humpath.2020.03.009. Epub 2020 Mar 25.
5
Loss of the SWI/SNF-ATPase subunit members SMARCF1 (ARID1A), SMARCA2 (BRM), SMARCA4 (BRG1) and SMARCB1 (INI1) in oesophageal adenocarcinoma.食管腺癌中 SWI/SNF-ATP 酶亚基成员 SMARCF1(ARID1A)、SMARCA2(BRM)、SMARCA4(BRG1)和 SMARCB1(INI1)的缺失。
BMC Cancer. 2020 Jan 6;20(1):12. doi: 10.1186/s12885-019-6425-3.
6
Switch/sucrose-non-fermentable (SWI/SNF) complex (SMARCA4, SMARCA2, INI1/SMARCB1)-deficient colorectal carcinomas are strongly associated with microsatellite instability: an incidence study in 4508 colorectal carcinomas.SWI/SNF 复合物(SMARCA4、SMARCA2、INI1/SMARCB1)缺陷型结直肠癌与微卫星不稳定强烈相关:4508 例结直肠癌中的发生率研究。
Histopathology. 2022 May;80(6):906-921. doi: 10.1111/his.14612. Epub 2022 Feb 24.
7
Clinicopathological and prognostic significance of SWI/SNF complex subunits in undifferentiated gastric carcinoma.弥漫型胃癌中 SWI/SNF 复合物亚基的临床病理及预后意义
World J Surg Oncol. 2022 Dec 4;20(1):383. doi: 10.1186/s12957-022-02847-0.
8
SWI/SNF Complex-deficient Undifferentiated Carcinoma of the Gastrointestinal Tract: Clinicopathologic Study of 30 Cases With an Emphasis on Variable Morphology, Immune Features, and the Prognostic Significance of Different SMARCA4 and SMARCA2 Subunit Deficiencies.SWI/SNF 复合物缺陷型胃肠道未分化癌:30 例临床病理研究,重点关注可变形态、免疫特征以及不同 SMARCA4 和 SMARCA2 亚单位缺失的预后意义。
Am J Surg Pathol. 2022 Jul 1;46(7):889-906. doi: 10.1097/PAS.0000000000001836. Epub 2021 Nov 23.
9
Dual loss of the SWI/SNF complex ATPases SMARCA4/BRG1 and SMARCA2/BRM is highly sensitive and specific for small cell carcinoma of the ovary, hypercalcaemic type.SWI/SNF复合物ATP酶SMARCA4/BRG1和SMARCA2/BRM的双重缺失对高钙血症型卵巢小细胞癌具有高度敏感性和特异性。
J Pathol. 2016 Feb;238(3):389-400. doi: 10.1002/path.4633. Epub 2015 Dec 21.
10
SWI/SNF Complex-deficient Undifferentiated/Rhabdoid Carcinomas of the Gastrointestinal Tract: A Series of 13 Cases Highlighting Mutually Exclusive Loss of SMARCA4 and SMARCA2 and Frequent Co-inactivation of SMARCB1 and SMARCA2.SWI/SNF复合物缺陷型胃肠道未分化/横纹肌样癌:13例病例系列研究,突出显示SMARCA4和SMARCA2的相互排斥性缺失以及SMARCB1和SMARCA2的频繁共同失活
Am J Surg Pathol. 2016 Apr;40(4):544-53. doi: 10.1097/PAS.0000000000000554.

引用本文的文献

1
A case report of SMARCA2-deficient and SMARCA4-preserved lung adenocarcinoma diagnosed by pleural effusion cytology.一例经胸腔积液细胞学诊断的SMARCA2缺陷型和SMARCA4保留型肺腺癌病例报告。
BMC Pulm Med. 2025 Aug 26;25(1):406. doi: 10.1186/s12890-025-03891-8.
2
The role of SMARCA4 in lung cancer.SMARCA4在肺癌中的作用。
Sci Rep. 2025 Aug 5;15(1):28605. doi: 10.1038/s41598-025-13913-4.
3
Case Report: FAP fibroblasts and SPP1 macrophages in SMARCA2-deficient while SMARCA4-preserved poorly differentiated lung adenocarcinoma: two case reports and multi-omics analysis.

本文引用的文献

1
Immune modulation underpins the anti-cancer activity of HDAC inhibitors.免疫调节是 HDAC 抑制剂抗癌活性的基础。
Mol Oncol. 2021 Dec;15(12):3280-3298. doi: 10.1002/1878-0261.12953. Epub 2021 May 1.
2
Frequent amplification of HDAC genes and efficacy of HDAC inhibitor chidamide and PD-1 blockade combination in soft tissue sarcoma.在软组织肉瘤中,HDAC 基因经常扩增,HDAC 抑制剂西达本胺联合 PD-1 阻断治疗有效。
J Immunother Cancer. 2021 Feb;9(2). doi: 10.1136/jitc-2020-001696.
3
Global Cancer Statistics 2020: GLOBOCAN Estimates of Incidence and Mortality Worldwide for 36 Cancers in 185 Countries.
病例报告:SMARCA2缺陷而SMARCA4保留的低分化肺腺癌中的FAP成纤维细胞和SPP1巨噬细胞:两例报告及多组学分析
Front Immunol. 2025 May 16;16:1568556. doi: 10.3389/fimmu.2025.1568556. eCollection 2025.
4
AXL expression reflects tumor-immune cell dynamics impacting outcome in non-small cell lung cancer patients treated with immune checkpoint inhibitor monotherapy.AXL 表达反映了影响免疫检查点抑制剂单药治疗的非小细胞肺癌患者结局的肿瘤免疫细胞动态。
Front Immunol. 2024 Aug 21;15:1444007. doi: 10.3389/fimmu.2024.1444007. eCollection 2024.
5
Expression of SMARCA2 and SMARCA4 in gastric adenocarcinoma and construction of a nomogram prognostic model.SMARCA2和SMARCA4在胃腺癌中的表达及列线图预后模型的构建
Int J Clin Oncol. 2023 Nov;28(11):1487-1500. doi: 10.1007/s10147-023-02403-0. Epub 2023 Aug 27.
《全球癌症统计数据 2020:全球 185 个国家和地区 36 种癌症的发病率和死亡率估计》。
CA Cancer J Clin. 2021 May;71(3):209-249. doi: 10.3322/caac.21660. Epub 2021 Feb 4.
4
SMARCA4/BRG1-Deficient Non-Small Cell Lung Carcinomas: A Case Series and Review of the Literature.SMARCA4/BRG1 缺陷型非小细胞肺癌:病例系列及文献复习。
Arch Pathol Lab Med. 2021 Jan 1;145(1):90-98. doi: 10.5858/arpa.2019-0633-OA.
5
Low Expression is Associated with Poor Prognosis in Hepatocellular Carcinoma.低表达与肝癌预后不良相关。
Cells. 2020 Sep 1;9(9):2002. doi: 10.3390/cells9092002.
6
Loss of ARID1A expression is associated with poor prognosis in non-small cell lung cancer.ARID1A 表达缺失与非小细胞肺癌的预后不良相关。
Pathol Res Pract. 2020 Nov;216(11):153156. doi: 10.1016/j.prp.2020.153156. Epub 2020 Aug 8.
7
Effective Treatment with PD-1 Antibody, Chidamide, Etoposide, and Thalidomide (PCET) for Relapsed/Refractory Natural Killer/T-Cell Lymphoma: A Report of Three Cases.PD-1抗体、西达本胺、依托泊苷和沙利度胺(PCET)联合治疗复发/难治性自然杀伤/T细胞淋巴瘤:三例报告
Onco Targets Ther. 2020 Jul 27;13:7189-7197. doi: 10.2147/OTT.S262039. eCollection 2020.
8
Loss of switch/sucrose non-fermenting complex protein expression in undifferentiated gastrointestinal and pancreatic carcinomas.未分化的胃肠道和胰腺腺癌中开关/蔗糖非发酵复合物蛋白表达缺失。
Histopathology. 2020 Jul;77(1):46-54. doi: 10.1111/his.14096. Epub 2020 May 15.
9
Histone deacetylase inhibition promotes intratumoral CD8 T-cell responses, sensitizing murine breast tumors to anti-PD1.组蛋白去乙酰化酶抑制促进肿瘤内 CD8 T 细胞反应,使小鼠乳腺癌对抗 PD-1 敏感。
Cancer Immunol Immunother. 2019 Dec;68(12):2081-2094. doi: 10.1007/s00262-019-02430-9. Epub 2019 Nov 12.
10
Non-small cell lung cancer with loss of expression of the SWI/SNF complex is associated with aggressive clinicopathological features, PD-L1-positive status, and high tumor mutation burden.SWI/SNF 复合物表达缺失的非小细胞肺癌与侵袭性临床病理特征、PD-L1 阳性状态和高肿瘤突变负担相关。
Lung Cancer. 2019 Dec;138:35-42. doi: 10.1016/j.lungcan.2019.10.009. Epub 2019 Oct 13.