Suppr超能文献

病例报告:在一只疑似脑脊液鼻漏的犬中检测转铁蛋白

Case Report: Detection of Transferrin in a Dog Suspected of Having Cerebrospinal Fluid Rhinorrhea.

作者信息

Kinoshita Kosuke, Nishida Hidetaka, Kanegi Ryoji, Nakamoto Yuya, Tanaka Toshiyuki, Shimamura Shunsuke, Kusumoto Kazuhito, Akiyoshi Hideo

机构信息

Veterinary Medical Center, Osaka Prefecture University, Izumisano, Japan.

Laboratory of Veterinary Surgery, Graduate School of Life and Environmental Sciences, Osaka Prefecture University, Izumisano, Japan.

出版信息

Front Vet Sci. 2022 Mar 4;9:845809. doi: 10.3389/fvets.2022.845809. eCollection 2022.

Abstract

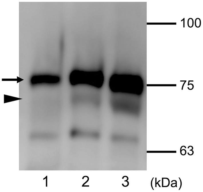
A 12-year-old Yorkshire terrier was referred for epileptic seizures and nasal discharge. The fluid was clear and serous. Cerebrospinal fluid (CSF) rhinorrhea was suspected, based on clinical signs and MRI findings. In humans, analysis of nasal secretions to determine the concentration of glucose and brain-type transferrin has been widely used clinically in order to confirm the presence of CSF rhinorrhea. The glucose concentration in the nasal discharge was 74 mg/dL. Serum-type and brain-type isoforms of transferrin were detectable in the nasal sample. The concentration of glucose and brain-type transferrin could be useful for diagnosing CSF rhinorrhea.

摘要

一只12岁的约克夏梗因癫痫发作和鼻分泌物增多前来就诊。分泌物清澈且呈浆液性。根据临床症状和磁共振成像(MRI)结果,怀疑存在脑脊液鼻漏。在人类中,分析鼻分泌物以测定葡萄糖和脑型转铁蛋白的浓度已在临床上广泛用于确认脑脊液鼻漏的存在。鼻分泌物中的葡萄糖浓度为74毫克/分升。在鼻样本中可检测到转铁蛋白的血清型和脑型异构体。葡萄糖和脑型转铁蛋白的浓度可能有助于诊断脑脊液鼻漏。

https://cdn.ncbi.nlm.nih.gov/pmc/blobs/f0bf/8931393/cdec9b093702/fvets-09-845809-g0001.jpg

文献AI研究员

20分钟写一篇综述,助力文献阅读效率提升50倍。

立即体验

用中文搜PubMed

大模型驱动的PubMed中文搜索引擎

马上搜索

文档翻译

学术文献翻译模型,支持多种主流文档格式。

立即体验