Suppr超能文献

磷脂酰胆碱(18:0/20:4),一种预测大鼠乙硫异烟胺诱导肝脂肪变性的潜在生物标志物。

Phosphatidylcholine (18:0/20:4), a potential biomarker to predict ethionamide-induced hepatic steatosis in rats.

机构信息

Toxicology Research Laboratories, Central Pharmaceutical Research Institute, Japan Tobacco Inc., Yokohama, Japan.

Division of Medicinal Safety Science, National Institute of Health Sciences, Kawasaki, Japan.

出版信息

J Appl Toxicol. 2022 Sep;42(9):1533-1547. doi: 10.1002/jat.4324. Epub 2022 Mar 29.

Abstract

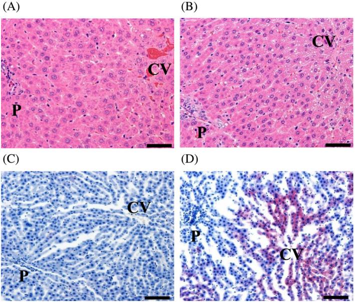
Ethionamide (ETH), a second-line drug for multidrug-resistant tuberculosis, is known to cause hepatic steatosis in rats and humans. To investigate predictive biomarkers for ETH-induced steatosis, we performed lipidomics analysis using plasma and liver samples collected from rats treated orally with ETH at 30 and 100 mg/kg for 14 days. The ETH-treated rats developed hepatic steatosis with Oil Red O staining-positive vacuolation in the centrilobular hepatocytes accompanied by increased hepatic contents of triglycerides (TG) and decreased plasma TG and total cholesterol levels. A multivariate analysis for lipid profiles revealed differences in each of the 35 lipid species in the plasma and liver between the control and the ETH-treated rats. Of those lipids, phosphatidylcholine (PC) (18:0/20:4) decreased dose-dependently in both the plasma and liver. Moreover, serum TG-rich very low-density lipoprotein (VLDL) levels, especially the large particle fraction of VLDL composed of PC containing arachidonic acid (20:4) involved in hepatic secretion of TG, were decreased dose-dependently. In conclusion, the decreased PC (18:0/20:4) in the liver, possibly leading to suppression of hepatic TG secretion, was considered to be involved in the pathogenesis of the ETH-induced hepatic steatosis. Therefore, plasma PC (18:0/20:4) levels are proposed as mechanism-related biomarkers for ETH-induced hepatic steatosis.

摘要

乙硫异烟胺(ETH)是一种二线抗耐多药结核药物,已知可导致大鼠和人类肝脂肪变性。为了研究乙硫异烟胺引起肝脂肪变性的预测生物标志物,我们使用口服给予 ETH 30 和 100mg/kg 治疗 14 天的大鼠的血浆和肝样本进行脂质组学分析。ETH 处理的大鼠出现肝脂肪变性,油红 O 染色阳性的中央区肝细胞空泡化,伴有肝甘油三酯(TG)含量增加和血浆 TG 和总胆固醇水平降低。脂质谱的多变量分析显示,对照组和 ETH 处理组大鼠的血浆和肝中 35 种脂质的每种脂质都存在差异。在这些脂质中,磷脂酰胆碱(PC)(18:0/20:4)在血浆和肝中均呈剂量依赖性降低。此外,血清富含甘油三酯的极低密度脂蛋白(VLDL)水平,特别是富含花生四烯酸(20:4)的 PC 的 VLDL 大颗粒部分,参与了 TG 的肝分泌,也呈剂量依赖性降低。总之,肝脏中 PC(18:0/20:4)的减少,可能导致肝 TG 分泌抑制,被认为与 ETH 诱导的肝脂肪变性发病机制有关。因此,血浆 PC(18:0/20:4)水平被提议作为与 ETH 诱导的肝脂肪变性相关的机制相关生物标志物。

https://cdn.ncbi.nlm.nih.gov/pmc/blobs/872d/9546090/aa35b9485594/JAT-42-1533-g003.jpg

文献AI研究员

20分钟写一篇综述,助力文献阅读效率提升50倍。

立即体验

用中文搜PubMed

大模型驱动的PubMed中文搜索引擎

马上搜索

文档翻译

学术文献翻译模型,支持多种主流文档格式。

立即体验