Suppr超能文献

一名10岁女孩Dieulafoy病变的治疗性内镜检查:病例报告

Therapeutic endoscopy of a Dieulafoy lesion in a 10-year-old girl: A case report.

作者信息

Chen Ying, Sun Mei, Teng Xu

机构信息

Department of Pediatrics, Shengjing Hospital of China Medical University, Shenyang 110004, Liaoning Province, China.

出版信息

World J Clin Cases. 2022 Feb 26;10(6):1966-1972. doi: 10.12998/wjcc.v10.i6.1966.

Abstract

BACKGROUND

There are multiple causes of sudden gastrointestinal bleeding in children. Reports of Dieulafoy lesions (DLs) in children are scarce. DLs can be fatal without appropriate treatment.

CASE SUMMARY

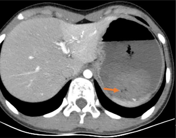
We present a retrospective analysis of the clinical manifestations, endoscopic features, and treatment of a Chinese girl with a DL, as well as a review of the relevant literature. A 10-year-old girl was admitted to our hospital with sudden massive hematemesis and melena. Abdominal computed tomography revealed suspected submucosal bleeding in the stomach. Finally, the disease was diagnosed with endoscopy due to the typical manifestations. We used electrocoagulation and hemoclips under endoscopy for hemostasis. No recurrence of hematemesis was identified during 4-wk' follow-up.

CONCLUSION

DLs in children are rare but an important cause of sudden gastrointestinal hemorrhage. Many pediatricians are inexperienced and often miss or delay diagnosis. Endoscopy as early as possible is the first choice for diagnosis and treatment.

摘要

背景

儿童突发性胃肠道出血有多种原因。儿童胃黏膜下恒径动脉破裂(Dieulafoy病变,DL)的报道较少。未经适当治疗,DL可能会致命。

病例总结

我们对一名患有DL的中国女孩的临床表现、内镜特征及治疗进行回顾性分析,并复习相关文献。一名10岁女孩因突发大量呕血和黑便入院。腹部计算机断层扫描显示胃黏膜下出血可疑。最终,由于典型表现通过内镜检查确诊该病。我们在内镜下使用电凝和止血夹止血。随访4周期间未发现呕血复发。

结论

儿童DL罕见,但却是突发性胃肠道出血的重要原因。许多儿科医生经验不足,常漏诊或延误诊断。尽早进行内镜检查是诊断和治疗的首选。

https://cdn.ncbi.nlm.nih.gov/pmc/blobs/f150/8891784/c3753c090281/WJCC-10-1966-g001.jpg

文献检索

告别复杂PubMed语法,用中文像聊天一样搜索,搜遍4000万医学文献。AI智能推荐,让科研检索更轻松。

立即免费搜索

文件翻译

保留排版,准确专业,支持PDF/Word/PPT等文件格式,支持 12+语言互译。

免费翻译文档

深度研究

AI帮你快速写综述,25分钟生成高质量综述,智能提取关键信息,辅助科研写作。

立即免费体验