Nowzari Hessam, Teoh Chang, Rodriguez Angel Emmanuel
Private Practice, Beverly Hills, CA, USA.
Private Practice, Central, Hong Kong, China.
J Indian Soc Periodontol. 2022 Mar-Apr;26(2):178-185. doi: 10.4103/jisp.jisp_494_20. Epub 2022 Mar 1.
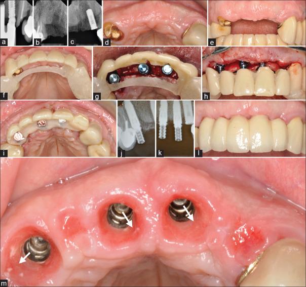
The long-term safety of xenografts and their potential association with disease are valid concerns. Bovine bone substitutes which are by far the most commonly used xenografts in dentistry are not biodegradable. The aim of the present report was to raise awareness on the long-term risks of the bovine-derived xenografts. Patients who experienced clinical complications after xenografting are reported. Patients' demographic, significant medical, and dental findings are reported. Complications included migration/encapsulation/displacement of the graft material, chronic inflammation, and soft-tissue disturbances/fenestrations. Albeit some xenograft complications are not significant enough to compromise the initial outcomes achieved, the xenografted particles seemed to be left intact favoring conditions for migration. The authors observed the inability of the human host to biodegrade the xenograft particles. The intact/migrated bovine bone particles present a risk to patients and may contribute to long-term clinical complications in implant dentistry.
异种移植物的长期安全性及其与疾病的潜在关联是合理的担忧。牛骨替代品是目前牙科中最常用的异种移植物,不可生物降解。本报告的目的是提高对牛源异种移植物长期风险的认识。报告了异种移植后出现临床并发症的患者。报告了患者的人口统计学、重要医学和牙科检查结果。并发症包括移植材料的迁移/包裹/移位、慢性炎症以及软组织紊乱/开窗。尽管一些异种移植并发症的严重程度不足以影响最初取得的效果,但异种移植颗粒似乎保持完整,有利于迁移。作者观察到人类宿主无法生物降解异种移植颗粒。完整/迁移的牛骨颗粒对患者构成风险,并可能导致种植牙科的长期临床并发症。