Suppr超能文献

左前降支冠状动脉内膜切除术——病例报告及文献综述

Open Coronary Endarterectomy of Left Anterior Descending Artery-Case Report and Review of Literature.

作者信息

Robu Mircea, Marian Diana Romina, Lazăr Ecaterina, Radu Răzvan, Boroș Cristian, Sibișan Andra, Voica Cristian, Broască Marian, Gheorghiță Daniela, Moldovan Horațiu, Iliescu Vlad Anton

机构信息

Department of Cardiovascular Surgery, Prof. Dr. C.C.Iliescu Emergency Institute for Cardiovascular Diseases, 022328 Bucharest, Romania.

Cardiology Department, Prof. Dr. C.C.Iliescu Emergency Institute for Cardiovascular Diseases, 022328 Bucharest, Romania.

出版信息

J Cardiovasc Dev Dis. 2022 Mar 13;9(3):83. doi: 10.3390/jcdd9030083.

Abstract

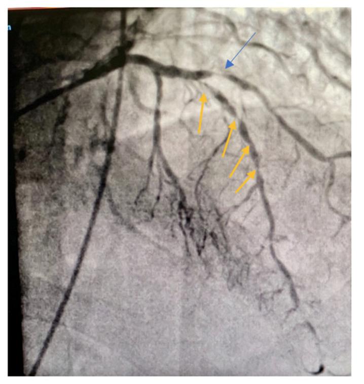
Coronary endarterectomy (CE) emerged as a necessity to achieve complete surgical myocardial revascularization in patients with diffusely diseased coronary arteries and it also serves as aid to coronary bypass grafting (CABG). The safety and postoperative prognosis of this procedure are still matters of debate. There are no clear preoperative indications, a standard technique has not yet been established as gold standard and the postoperative management differs depending on each institution. CE of the left anterior descending artery (LAD) is technically challenging and potentially hazardous with high risk of postoperative myocardial infarction. In this article, we describe the open technique for CE of the LAD with its specific details, which we believe could be the safest and the best reproductible option. To better understand the profile of a patient requiring such a procedure we present the case of a 73-years old male with diffused coronary artery disease (CAD) and a short review of literature.

摘要

冠状动脉内膜切除术(CE)成为患有弥漫性冠状动脉疾病患者实现完全手术心肌血运重建的必要手段,并且它也辅助冠状动脉搭桥术(CABG)。该手术的安全性和术后预后仍是有争议的问题。目前尚无明确的术前指征,尚未确立标准技术作为金标准,并且术后管理因各机构而异。左前降支(LAD)的CE在技术上具有挑战性且潜在危险,术后心肌梗死风险高。在本文中,我们描述了LAD的CE开放技术及其具体细节,我们认为这可能是最安全且最具可重复性的选择。为了更好地了解需要进行此类手术的患者情况,我们介绍了一名73岁患有弥漫性冠状动脉疾病(CAD)男性患者的病例,并对文献进行简要回顾。

https://cdn.ncbi.nlm.nih.gov/pmc/blobs/21ec/8954667/01f2e211eb2c/jcdd-09-00083-g001.jpg

文献AI研究员

20分钟写一篇综述,助力文献阅读效率提升50倍。

立即体验

用中文搜PubMed

大模型驱动的PubMed中文搜索引擎

马上搜索

文档翻译

学术文献翻译模型,支持多种主流文档格式。

立即体验