Suppr超能文献

横断面成像在小儿介入性心导管检查中的作用

Role of Cross-Sectional Imaging in Pediatric Interventional Cardiac Catheterization.

作者信息

Arar Yousef, Divekar Abhay, Clark Stephen, Hussain Tarique, Sebastian Roby, Hoda Mehar, King Jamie, Zellers Thomas M, Reddy Surendranath R Veeram

机构信息

Department of Pediatrics, University of Texas Southwestern Medical Center, 5323 Harry Hines Blvd, Dallas, TX 75390, USA.

Pediatric Cardiology, Children's Medical Center, 1935 Medical District Dr, Dallas, TX 75235, USA.

出版信息

Children (Basel). 2022 Feb 22;9(3):300. doi: 10.3390/children9030300.

Abstract

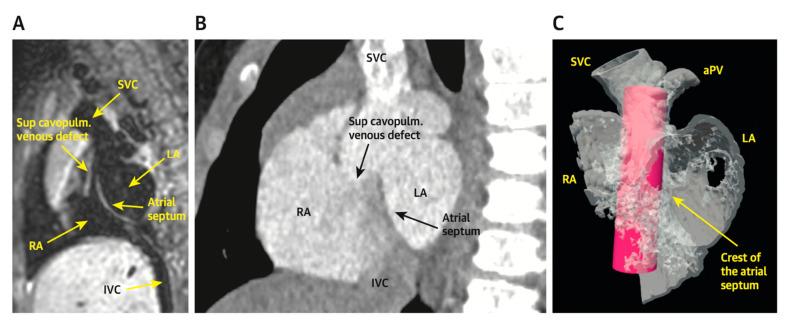
Management of congenital heart disease (CHD) has recently increased utilization of cross-sectional imaging to plan percutaneous interventions. Cardiac computed tomography (CT) and cardiac magnetic resonance (CMR) imaging have become indispensable tools for pre-procedural planning prior to intervention in the pediatric cardiac catheterization lab. In this article, we review several common indications for referral and the impact of cross-sectional imaging on procedural planning, success, and patient surveillance.

摘要

先天性心脏病(CHD)的管理最近增加了对横断面成像的利用,以规划经皮介入治疗。心脏计算机断层扫描(CT)和心脏磁共振(CMR)成像已成为小儿心导管实验室介入治疗前程序规划中不可或缺的工具。在本文中,我们回顾了转诊的几个常见指征以及横断面成像对程序规划、成功率和患者监测的影响。

https://cdn.ncbi.nlm.nih.gov/pmc/blobs/cb83/8947056/d25b90f54df2/children-09-00300-g001.jpg

相似文献

1
Role of Cross-Sectional Imaging in Pediatric Interventional Cardiac Catheterization.
Children (Basel). 2022 Feb 22;9(3):300. doi: 10.3390/children9030300.
3
Recent advances in pediatric interventional cardiology.
Korean J Pediatr. 2017 Aug;60(8):237-244. doi: 10.3345/kjp.2017.60.8.237. Epub 2017 Aug 14.
4
Variation in Anticoagulation Practices in the Congenital Cardiac Catheterization Lab: Results of a Multinational PICES Survey.
Pediatr Cardiol. 2019 Jan;40(1):53-60. doi: 10.1007/s00246-018-1960-2. Epub 2018 Aug 18.
5
Trends in the utilization of computed tomography and cardiac catheterization among children with congenital heart disease.
J Formos Med Assoc. 2015 Nov;114(11):1061-8. doi: 10.1016/j.jfma.2014.08.004. Epub 2014 Sep 18.
6
Cardiovascular imaging trends in congenital heart disease: a single center experience.
J Cardiovasc Comput Tomogr. 2013 Nov-Dec;7(6):361-6. doi: 10.1016/j.jcct.2013.11.002. Epub 2013 Nov 8.
7
Virtual Reality Remote Collaboration for Preprocedural Planning of Complex Percutaneous Congenital Interventions: A Case Series.
J Soc Cardiovasc Angiogr Interv. 2024 Mar 26;3(3Part B):101302. doi: 10.1016/j.jscai.2024.101302. eCollection 2024 Mar.
8
Three-dimensional printing and virtual surgery for congenital heart procedural planning.
Birth Defects Res. 2018 Aug 1;110(13):1082-1090. doi: 10.1002/bdr2.1370. Epub 2018 Aug 6.
9
Noninvasive imaging of congenital cardiovascular defects.
Radiol Med. 2020 Nov;125(11):1167-1185. doi: 10.1007/s11547-020-01284-x. Epub 2020 Sep 21.
10
Pediatric Cardiac MR Imaging:: Practical Preoperative Assessment.
Magn Reson Imaging Clin N Am. 2019 May;27(2):243-262. doi: 10.1016/j.mric.2019.01.004. Epub 2019 Feb 14.

引用本文的文献

1
Multimodality 3D image fusion with live fluoroscopy reduces radiation dose during catheterization of congenital heart defects.
Front Cardiovasc Med. 2024 Jan 11;10:1292039. doi: 10.3389/fcvm.2023.1292039. eCollection 2023.
2
Advances in the Diagnosis and Management of Congenital Heart Disease in Children.
Children (Basel). 2023 Apr 21;10(4):753. doi: 10.3390/children10040753.
3
Non-invasive pediatric cardiac imaging-current status and further perspectives.
Mol Cell Pediatr. 2022 Dec 28;9(1):21. doi: 10.1186/s40348-022-00153-z.
4
Advances in the Diagnosis and Management of Congenital Heart Disease in Children.
Children (Basel). 2022 Jul 15;9(7):1056. doi: 10.3390/children9071056.

本文引用的文献

2
Fick versus flow: a real-time invasive cardiovascular magnetic resonance (iCMR) reproducibility study.
J Cardiovasc Magn Reson. 2021 Jul 19;23(1):95. doi: 10.1186/s12968-021-00784-7.
5
Interventional Cardiovascular Magnetic Resonance Imaging (iCMR) in an Adolescent with Pulmonary Hypertension.
Medicina (Kaunas). 2020 Nov 24;56(12):636. doi: 10.3390/medicina56120636.
6
Coronary CT Angiography in Pediatric and Young Adult Coronary Allograft Vasculopathy: Single-Center Experience.
JACC Cardiovasc Imaging. 2021 May;14(5):1065-1067. doi: 10.1016/j.jcmg.2020.09.017. Epub 2020 Nov 18.
7
MRI for Guided Right and Left Heart Cardiac Catheterization: A Prospective Study in Congenital Heart Disease.
J Magn Reson Imaging. 2021 May;53(5):1446-1457. doi: 10.1002/jmri.27426. Epub 2020 Nov 6.
8
3D advanced imaging overlay with rapid registration in CHD to reduce radiation and assist cardiac catheterisation interventions.
Cardiol Young. 2020 May;30(5):656-662. doi: 10.1017/S1047951120000712. Epub 2020 Apr 15.
10
Transcatheter Correction of Superior Sinus Venosus Atrial Septal Defects as an Alternative to Surgical Treatment.
J Am Coll Cardiol. 2020 Mar 24;75(11):1266-1278. doi: 10.1016/j.jacc.2019.12.070.

文献AI研究员

20分钟写一篇综述,助力文献阅读效率提升50倍。

立即体验

用中文搜PubMed

大模型驱动的PubMed中文搜索引擎

马上搜索

文档翻译

学术文献翻译模型,支持多种主流文档格式。

立即体验