Suppr超能文献

一种符合良好生产规范条件的新型人类血小板裂解液,用于间充质干细胞生产。

A New Human Platelet Lysate for Mesenchymal Stem Cell Production Compliant with Good Manufacturing Practice Conditions.

机构信息

Department of Public Health and Paediatrics, The University of Turin, Piazza Polonia 94, 10126 Torino, Italy.

Stem Cell Transplantation and Cellular Therapy Laboratory, Paediatric Onco-Haematology Division, Regina Margherita Children's Hospital, City of Health and Science of Turin, 10126 Torino, Italy.

出版信息

Int J Mol Sci. 2022 Mar 17;23(6):3234. doi: 10.3390/ijms23063234.

Abstract

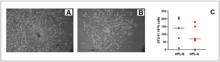
Mesenchymal stem cells (MSCs) are classified as advanced therapy medicinal products, a new category of GMP (good manufacturing practice)-compliant medicines for clinical use. We isolated MSCs from 5 bone marrow (BM) samples using human platelet lysate (HPL) instead of foetal bovine serum (FBS). We used a new method of HPL production consisting of treating platelet (PLTs) pools with Ca-Gluconate to form a gel clot, then mechanically squeezing to release growth factors. We compared the new HPL (HPL-S) with the standard (HPL-E) obtained by freezing/thawing cycles and by adding heparin. HPL-S had not PLTs and fibrinogen but the quantity of proteins and growth factors was comparable to HPL-E. Therefore, HPL-S needed fewer production steps to be in compliance with GMP conditions. The number of colonies forming unit-fibroblasts (CFU-F) and the maintenance of stem markers showed no significant differences between MSCs with HPL-E and HPL-S. The cumulative population doubling was higher in MSCs with HPL-E in the earlier passages, but we observed an inverted trend of cell growth at the fourth passage. Immunophenotypic analysis showed a significant lower expression of HLA-DR in the MSCs with HPL-S (1.30%) than HPL-E (14.10%). In conclusion, we demonstrated that HPL-S is an effective alternative for MSC production under GMP conditions.

摘要

间充质干细胞(MSCs)被归类为先进治疗药物产品,是一种新的符合 GMP(良好生产规范)的药物类别,可用于临床应用。我们使用人血小板裂解液(HPL)而不是胎牛血清(FBS)从 5 个骨髓(BM)样本中分离 MSCs。我们使用了一种新的 HPL 生产方法,包括用 Ca-Gluconate 处理血小板(PLTs)池以形成凝胶凝块,然后机械挤压以释放生长因子。我们将新的 HPL(HPL-S)与通过冷冻/解冻循环和添加肝素获得的标准 HPL(HPL-E)进行了比较。HPL-S 没有 PLTs 和纤维蛋白原,但蛋白质和生长因子的数量与 HPL-E 相当。因此,HPL-S 需要更少的生产步骤才能符合 GMP 条件。HPL-E 和 HPL-S 中的 MSC 形成集落形成单位-成纤维细胞(CFU-F)的数量和干细胞标志物的维持没有显著差异。在早期传代中,HPL-E 中的 MSC 累积倍增更高,但我们在第四代观察到细胞生长的反转趋势。免疫表型分析显示,HPL-S 中的 MSC 中 HLA-DR 的表达明显低于 HPL-E(1.30%)(14.10%)。总之,我们证明 HPL-S 是 GMP 条件下 MSC 生产的有效替代方法。

https://cdn.ncbi.nlm.nih.gov/pmc/blobs/146b/8953582/df38cc47324b/ijms-23-03234-g001.jpg

文献AI研究员

20分钟写一篇综述,助力文献阅读效率提升50倍。

立即体验

用中文搜PubMed

大模型驱动的PubMed中文搜索引擎

马上搜索

文档翻译

学术文献翻译模型,支持多种主流文档格式。

立即体验