• 文献检索
  • 文档翻译
  • 深度研究
  • 学术资讯
  • Suppr Zotero 插件Zotero 插件
  • 邀请有礼
  • 套餐&价格
  • 历史记录
应用&插件
Suppr Zotero 插件Zotero 插件浏览器插件Mac 客户端Windows 客户端微信小程序
定价
高级版会员购买积分包购买API积分包
服务
文献检索文档翻译深度研究API 文档MCP 服务
关于我们
关于 Suppr公司介绍联系我们用户协议隐私条款
关注我们

Suppr 超能文献

核心技术专利:CN118964589B侵权必究
粤ICP备2023148730 号-1Suppr @ 2026

文献检索

告别复杂PubMed语法,用中文像聊天一样搜索,搜遍4000万医学文献。AI智能推荐,让科研检索更轻松。

立即免费搜索

文件翻译

保留排版,准确专业,支持PDF/Word/PPT等文件格式,支持 12+语言互译。

免费翻译文档

深度研究

AI帮你快速写综述,25分钟生成高质量综述,智能提取关键信息,辅助科研写作。

立即免费体验

琥珀提取物对人多巴胺能细胞对抗 6-羟多巴胺诱导神经毒性的保护作用。

Protective Effect of Amber Extract on Human Dopaminergic Cells against 6-Hydroxydopamine-Induced Neurotoxicity.

机构信息

Graduate School of Life and Environmental Sciences, University of Tsukuba, Tsukuba 305-8572, Ibaraki, Japan.

Research and Development, Kohaku Bio Technology Co., Ltd., Tsukuba 305-8572, Ibaraki, Japan.

出版信息

Molecules. 2022 Mar 10;27(6):1817. doi: 10.3390/molecules27061817.

DOI:10.3390/molecules27061817
PMID:35335178
原文链接:https://pmc.ncbi.nlm.nih.gov/articles/PMC8956085/
Abstract

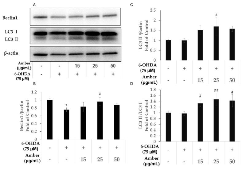
Parkinson's disease (PD) is the second most common progressive neurodegenerative disease, after Alzheimer's disease. In our previous study, we found that amber-a fossilized plant resin-can protect cells from apoptosis by decreasing the generation of reactive oxygen species (ROS). In this study, we focused on the effect of amber on 6-hydroxydopamine-induced cell apoptosis in the human neuroblastoma cell line SHSY5Y (one model for PD). Initially, we determined the protective effect of amber on the PD model. We found that amber extract has a protective effect against 6-hydroxydopamine-induced cell apoptosis. The decrease in ROS, cleaved caspase-3, pERK, and extracellular signal-regulated kinase (ERK) protein levels confirmed that amber extract decreases apoptosis via the ROS-mediated ERK signaling pathway. Furthermore, we determined the effects of amber extract on autophagy. The results showed that amber extract increased the levels of LC3II and Beclin-1, suggesting that amber extract can protect neuronal cells against 6-hydroxydopamine-induced cell apoptosis by promoting autophagy.

摘要

帕金森病(PD)是仅次于阿尔茨海默病的第二常见进行性神经退行性疾病。在我们之前的研究中,我们发现琥珀——一种化石植物树脂——可以通过减少活性氧(ROS)的产生来保护细胞免受细胞凋亡。在这项研究中,我们专注于琥珀对人神经母细胞瘤细胞系 SHSY5Y(PD 的一种模型)中 6-羟多巴胺诱导的细胞凋亡的影响。最初,我们确定了琥珀对 PD 模型的保护作用。我们发现琥珀提取物对 6-羟多巴胺诱导的细胞凋亡具有保护作用。ROS、裂解的 caspase-3、pERK 和细胞外信号调节激酶(ERK)蛋白水平的降低证实了琥珀提取物通过 ROS 介导的 ERK 信号通路减少细胞凋亡。此外,我们还确定了琥珀提取物对自噬的影响。结果表明,琥珀提取物增加了 LC3II 和 Beclin-1 的水平,这表明琥珀提取物可以通过促进自噬来保护神经元细胞免受 6-羟多巴胺诱导的细胞凋亡。

https://cdn.ncbi.nlm.nih.gov/pmc/blobs/5a3c/8956085/357def080e93/molecules-27-01817-g004.jpg
https://cdn.ncbi.nlm.nih.gov/pmc/blobs/5a3c/8956085/4abab527162f/molecules-27-01817-g001.jpg
https://cdn.ncbi.nlm.nih.gov/pmc/blobs/5a3c/8956085/0361ea2ee1dc/molecules-27-01817-g002.jpg
https://cdn.ncbi.nlm.nih.gov/pmc/blobs/5a3c/8956085/fc1a3562c536/molecules-27-01817-g003.jpg
https://cdn.ncbi.nlm.nih.gov/pmc/blobs/5a3c/8956085/357def080e93/molecules-27-01817-g004.jpg
https://cdn.ncbi.nlm.nih.gov/pmc/blobs/5a3c/8956085/4abab527162f/molecules-27-01817-g001.jpg
https://cdn.ncbi.nlm.nih.gov/pmc/blobs/5a3c/8956085/0361ea2ee1dc/molecules-27-01817-g002.jpg
https://cdn.ncbi.nlm.nih.gov/pmc/blobs/5a3c/8956085/fc1a3562c536/molecules-27-01817-g003.jpg
https://cdn.ncbi.nlm.nih.gov/pmc/blobs/5a3c/8956085/357def080e93/molecules-27-01817-g004.jpg

相似文献

1
Protective Effect of Amber Extract on Human Dopaminergic Cells against 6-Hydroxydopamine-Induced Neurotoxicity.琥珀提取物对人多巴胺能细胞对抗 6-羟多巴胺诱导神经毒性的保护作用。
Molecules. 2022 Mar 10;27(6):1817. doi: 10.3390/molecules27061817.
2
Ethyl pyruvate protects SHSY5Y cells against 6-hydroxydopamine-induced neurotoxicity by upregulating autophagy.丙酮酸乙酯通过上调自噬保护 SHSY5Y 细胞免受 6-羟多巴胺诱导的神经毒性。
PLoS One. 2023 Feb 16;18(2):e0281957. doi: 10.1371/journal.pone.0281957. eCollection 2023.
3
Role of amber extract in protecting SHSY5Y cells against amyloid β1-42-induced neurotoxicity.琥珀提取物在保护 SHSY5Y 细胞免受淀粉样β1-42 诱导的神经毒性中的作用。
Biomed Pharmacother. 2021 Sep;141:111804. doi: 10.1016/j.biopha.2021.111804. Epub 2021 Jun 25.
4
Protective effect of orexin-A on 6-hydroxydopamine-induced neurotoxicity in SH-SY5Y human dopaminergic neuroblastoma cells.orexin-A 对 6-羟多巴胺诱导的 SH-SY5Y 人多巴胺能神经母细胞瘤细胞毒性的保护作用。
Neurochem Int. 2013 Dec;63(8):719-25. doi: 10.1016/j.neuint.2013.09.022. Epub 2013 Oct 14.
5
Protective effects of DA-9805 on dopaminergic neurons against 6-hydroxydopamine-induced neurotoxicity in the models of Parkinson's disease.DA-9805 对帕金森病模型中 6-羟多巴胺诱导的多巴胺能神经元的保护作用。
Biomed Pharmacother. 2019 Sep;117:109184. doi: 10.1016/j.biopha.2019.109184. Epub 2019 Jul 9.
6
Phytohormone Abscisic Acid Protects Human Neuroblastoma SH-SY5Y Cells Against 6-Hydroxydopamine-Induced Neurotoxicity Through Its Antioxidant and Antiapoptotic Properties.植物激素脱落酸通过其抗氧化和抗凋亡特性保护人神经母细胞瘤 SH-SY5Y 细胞免受 6-羟多巴胺诱导的神经毒性。
Rejuvenation Res. 2019 Apr;22(2):99-108. doi: 10.1089/rej.2018.2062. Epub 2018 Oct 6.
7
Aqueous Extract of Davallia mariesii Attenuates 6-Hydroxydopamine-Induced Oxidative Damage and Apoptosis in B35 Cells Through Inhibition of Caspase Cascade and Activation of PI3K/AKT/GSK-3β Pathway.玛丽凤尾蕨水提物通过抑制半胱天冬酶级联和激活 PI3K/AKT/GSK-3β 通路减轻 6-羟多巴胺诱导的 B35 细胞氧化损伤和凋亡。
Nutrients. 2018 Oct 6;10(10):1449. doi: 10.3390/nu10101449.
8
Overexpression of miR‑185 inhibits autophagy and apoptosis of dopaminergic neurons by regulating the AMPK/mTOR signaling pathway in Parkinson's disease.miR-185 的过表达通过调节帕金森病中的 AMPK/mTOR 信号通路抑制多巴胺能神经元的自噬和凋亡。
Mol Med Rep. 2018 Jan;17(1):131-137. doi: 10.3892/mmr.2017.7897. Epub 2017 Oct 26.
9
Protective effects of standardized Thuja orientalis leaves against 6-hydroxydopamine-induced neurotoxicity in SH-SY5Y cells.东方杉叶片标准化提取物对 6-羟多巴胺诱导的 SH-SY5Y 细胞神经毒性的保护作用。
Toxicol In Vitro. 2010 Apr;24(3):759-65. doi: 10.1016/j.tiv.2009.12.026. Epub 2009 Dec 28.
10
Mechanistic Interplay Between Autophagy and Apoptotic Signaling in Endosulfan-Induced Dopaminergic Neurotoxicity: Relevance to the Adverse Outcome Pathway in Pesticide Neurotoxicity.内硫磷诱导的多巴胺能神经毒性中自噬与凋亡信号的机制相互作用:与农药神经毒性的不良结局途径相关。
Toxicol Sci. 2019 Jun 1;169(2):333-352. doi: 10.1093/toxsci/kfz049.

引用本文的文献

1
The Traditional Chinese Medicine Formula Induces Cell Cycle Arrest and Apoptosis through Restoration of Retinoblastoma Protein Function and Inhibition of Aurora Kinase Activity.中药配方通过恢复视网膜母细胞瘤蛋白功能和抑制极光激酶活性诱导细胞周期停滞和凋亡。
J Cancer. 2025 Jul 11;16(10):3180-3191. doi: 10.7150/jca.114495. eCollection 2025.
2
Ethyl pyruvate protects SHSY5Y cells against 6-hydroxydopamine-induced neurotoxicity by upregulating autophagy.丙酮酸乙酯通过上调自噬保护 SHSY5Y 细胞免受 6-羟多巴胺诱导的神经毒性。
PLoS One. 2023 Feb 16;18(2):e0281957. doi: 10.1371/journal.pone.0281957. eCollection 2023.

本文引用的文献

1
Amber Extract Reduces Lipid Content in Mature 3T3-L1 Adipocytes by Activating the Lipolysis Pathway.红 Amber 提取物通过激活脂肪分解途径减少成熟 3T3-L1 脂肪细胞中的脂质含量。
Molecules. 2021 Jul 30;26(15):4630. doi: 10.3390/molecules26154630.
2
Anti-inflammatory activities of amber extract in lipopolysaccharide-induced RAW 264.7 macrophages.琥珀提取物对脂多糖诱导的 RAW 264.7 巨噬细胞的抗炎活性。
Biomed Pharmacother. 2021 Sep;141:111854. doi: 10.1016/j.biopha.2021.111854. Epub 2021 Jul 3.
3
Role of amber extract in protecting SHSY5Y cells against amyloid β1-42-induced neurotoxicity.
琥珀提取物在保护 SHSY5Y 细胞免受淀粉样β1-42 诱导的神经毒性中的作用。
Biomed Pharmacother. 2021 Sep;141:111804. doi: 10.1016/j.biopha.2021.111804. Epub 2021 Jun 25.
4
Camphor and Eucalyptol-Anticandidal Spectrum, Antivirulence Effect, Efflux Pumps Interference and Cytotoxicity.樟脑和桉油精的抗真菌谱、抗病毒效果、外排泵干扰和细胞毒性。
Int J Mol Sci. 2021 Jan 6;22(2):483. doi: 10.3390/ijms22020483.
5
Inhibition of melanin production and promotion of collagen production by the extract of Kuji amber.久慈琥珀提取物对黑色素生成的抑制作用及对胶原蛋白生成的促进作用
Biosci Biotechnol Biochem. 2020 Mar;84(3):518-525. doi: 10.1080/09168451.2019.1693251. Epub 2019 Nov 22.
6
Monoterpenes modulating autophagy: A review study.单萜类化合物对自噬的调节作用:一项综述研究。
Basic Clin Pharmacol Toxicol. 2020 Jan;126(1):9-20. doi: 10.1111/bcpt.13282. Epub 2019 Jul 19.
7
Dehydroabietic Acid Suppresses Inflammatory Response Via Suppression of Src-, Syk-, and TAK1-Mediated Pathways.去氢枞酸通过抑制Src、Syk 和 TAK1 介导的途径抑制炎症反应。
Int J Mol Sci. 2019 Mar 29;20(7):1593. doi: 10.3390/ijms20071593.
8
The Roles of Autophagy in Cancer.自噬在癌症中的作用。
Int J Mol Sci. 2018 Nov 5;19(11):3466. doi: 10.3390/ijms19113466.
9
Linking Neuroinflammation and Neurodegeneration in Parkinson's Disease.将神经炎症与帕金森病中的神经退行性变联系起来。
J Immunol Res. 2018 Apr 16;2018:4784268. doi: 10.1155/2018/4784268. eCollection 2018.
10
Sesquiterpenoids from Chloranthus anhuiensis with Neuroprotective Effects in PC12 Cells.安徽金缕梅中环三萜类化合物对 PC12 细胞的神经保护作用。
J Nat Prod. 2018 Jun 22;81(6):1391-1398. doi: 10.1021/acs.jnatprod.7b01076. Epub 2018 May 18.