Suppr超能文献

一例具有海马硬化和齿状回畸形的猫颞叶癫痫病例。

A case of feline temporal lobe epilepsy with hippocampal sclerosis and dentate gyrus malformation.

机构信息

Laboratory of Veterinary Pathology, Graduate School of Agricultural and Life Sciences, The University of Tokyo, Tokyo, Japan.

Shinjo Animal Hospital, Nara, Japan.

出版信息

J Vet Med Sci. 2022 May 1;84(5):634-637. doi: 10.1292/jvms.22-0006. Epub 2022 Mar 25.

Abstract

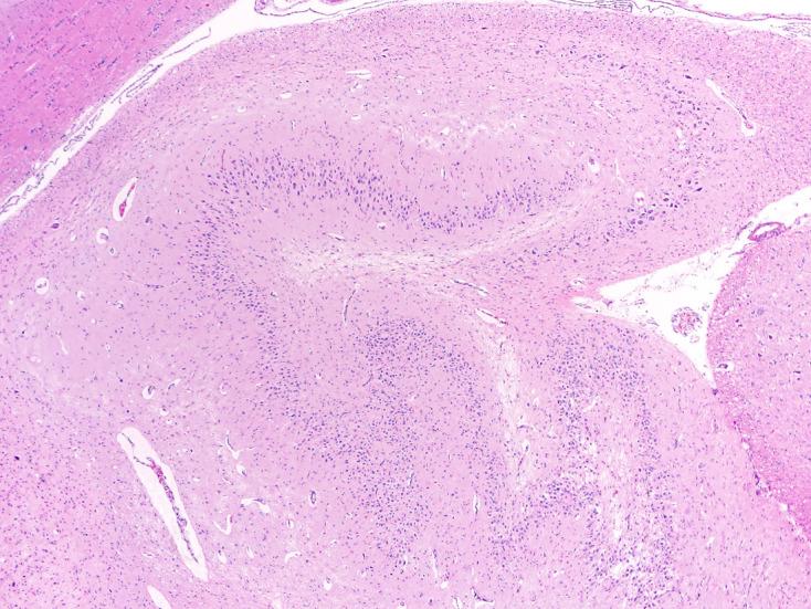
A two-months-old, male, mixed breed cat presented with epileptic seizures. The cat was diagnosed with drug-resistant epilepsy, and died at 3-years of age. No gross lesion was found at necropsy. Histopathologically, the dentate gyrus granule cell layer of the hippocampus was irregularly arranged. Granule cells were dispersed and ectopic cells were sporadically observed in the molecular layer. The granule cells had an enlarged cytoplasm and swollen nucleus. Immunohistochemistry for NeuN and GFAP confirmed severe neuronal loss and mild gliosis in CA1. Binucleation and ischemic change were observed in the remaining pyramidal cells. This report describes a case of feline temporal lobe epilepsy and hippocampal sclerosis associated with dentate gyrus malformation.

摘要

一只两个月大的雄性混血猫出现癫痫发作。该猫被诊断为难治性癫痫,并于 3 岁时死亡。尸检时未发现明显病变。组织病理学上,海马齿状回颗粒细胞层排列不规则。颗粒细胞弥散,分子层中散在观察到异位细胞。颗粒细胞的细胞质肿大,细胞核肿胀。NeuN 和 GFAP 的免疫组化证实 CA1 区神经元严重丢失和轻度胶质增生。剩余的锥体神经元观察到双核和缺血改变。本报告描述了一例与齿状回畸形相关的猫颞叶癫痫和海马硬化。

https://cdn.ncbi.nlm.nih.gov/pmc/blobs/cc23/9177400/aa7a2f80a7fc/jvms-84-634-g001.jpg

文献检索

告别复杂PubMed语法,用中文像聊天一样搜索,搜遍4000万医学文献。AI智能推荐,让科研检索更轻松。

立即免费搜索

文件翻译

保留排版,准确专业,支持PDF/Word/PPT等文件格式,支持 12+语言互译。

免费翻译文档

深度研究

AI帮你快速写综述,25分钟生成高质量综述,智能提取关键信息,辅助科研写作。

立即免费体验