Suppr超能文献

印度北部第二波新冠病毒感染中的血液学变化

Hematological Changes in the Second Wave of SARS-CoV-2 in North India.

作者信息

Singh Akanksha, Verma Shailendra P, Kushwaha Rashmi, Ali Wahid, Reddy Himanshu D, Singh Uma S

机构信息

Pathology, King George's Medical University, Lucknow, IND.

Clinical Hematology, King George's Medical University, Lucknow, IND.

出版信息

Cureus. 2022 Mar 25;14(3):e23495. doi: 10.7759/cureus.23495. eCollection 2022 Mar.

Abstract

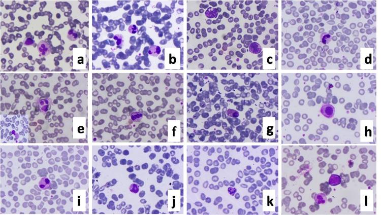
Background COVID-19 is a rapidly spreading pandemic caused by SARS-CoV-2. India experienced a second wave peak in mid of April 2021, and it emerged as a medical crisis. This study was taken up to show if the hematological and peripheral blood changes can be used as a readily available tool to demarcate the patients needing ICU care so that the ICU can be utilized more prudently.  Material and method One hundred reverse transcription-polymerase chain reaction (RT-PCR) confirmed cases of COVID-19, 50 each from ICU and non-ICU wards, were included in this observational study. At the time of admission blood sample was collected for evaluation of hematological parameters. Results We noted that 74% of patients admitted in ICU were males and 28% were more than 60 years of age. In ICU patients, the absolute neutrophil count (ANC) was significantly raised when compared to non-ICU cases (p=0.023). The nadir absolute lymphocyte count (ALC) was 0.11x10/L in ICU patients and 0.95x10/L in non-ICU patients. There was a significant increase in neutrophil-lymphocyte ratio (NLR; p<0.001) in ICU patients with a proposed cut-off value of 7.73. Platelet-lymphocyte ratio (PLR) was also raised in ICU patients; however, this increase was not significant (p= 0.623). The proposed cut-off value of PLR is 126.73. A significant reduction in a lymphocyte-monocyte ratio (LMR) was observed in ICU patients when compared to non-ICU cases (p<0.001). Thrombocytopenia was more commonly seen in ICU patients; however, this was not statistically significant. Viral-induced cytopathic effects like plasmacytoid lymphocytes with cytoplasmic granules, the presence of toxic changes in neutrophils, and large-sized platelets were commonly observed in ICU patients. Conclusion Our results suggest that hematological parameters like ANC, absolute lymphocyte count (ALC), platelet count, NLR, PLR, and peripheral smear changes are simple assessment factors that can serve as indicators for the severity of COVID-19 and will demarcate the patients who need ICU-care. This will help in the judicious use of ICU facilities for patients who are actually in need.

摘要

背景

2019冠状病毒病(COVID-19)是由严重急性呼吸综合征冠状病毒2(SARS-CoV-2)引起的迅速传播的大流行病。印度在2021年4月中旬经历了第二波疫情高峰,并演变成一场医疗危机。本研究旨在探讨血液学和外周血变化是否可作为一种现成的工具,用于区分需要重症监护病房(ICU)护理的患者,以便更合理地利用ICU。

材料和方法

本观察性研究纳入了100例经逆转录聚合酶链反应(RT-PCR)确诊的COVID-19病例,其中50例来自ICU病房,50例来自非ICU病房。入院时采集血样以评估血液学参数。

结果

我们注意到,入住ICU的患者中74%为男性,28%年龄超过60岁。与非ICU病例相比,ICU患者的绝对中性粒细胞计数(ANC)显著升高(p=0.023)。ICU患者的最低绝对淋巴细胞计数(ALC)为0.11×10⁹/L,非ICU患者为0.95×10⁹/L。ICU患者的中性粒细胞与淋巴细胞比率(NLR;p<0.001)显著升高,建议的临界值为7.73。ICU患者的血小板与淋巴细胞比率(PLR)也升高;然而,这种升高并不显著(p=0.623)。建议的PLR临界值为126.73。与非ICU病例相比,ICU患者的淋巴细胞与单核细胞比率(LMR)显著降低(p<0.001)。血小板减少在ICU患者中更常见;然而,这在统计学上并不显著。在ICU患者中常见病毒诱导的细胞病变效应,如带有细胞质颗粒的浆细胞样淋巴细胞、中性粒细胞的毒性变化以及大尺寸血小板。

结论

我们的结果表明,ANC、绝对淋巴细胞计数(ALC)、血小板计数、NLR、PLR等血液学参数以及外周血涂片变化是简单的评估因素,可作为COVID-19严重程度的指标,并将区分出需要ICU护理的患者。这将有助于明智地使用ICU设施,用于真正有需要的患者。

https://cdn.ncbi.nlm.nih.gov/pmc/blobs/cfc8/8956484/4ca4e6915af6/cureus-0014-00000023495-i01.jpg

文献AI研究员

20分钟写一篇综述,助力文献阅读效率提升50倍。

立即体验

用中文搜PubMed

大模型驱动的PubMed中文搜索引擎

马上搜索

文档翻译

学术文献翻译模型,支持多种主流文档格式。

立即体验