Suppr超能文献

右位心并病态窦房结综合征患者的双腔起搏器植入:病例报告。

Implantation of a dual-chamber pacemaker in a patient with dextrocardia and sick sinus syndrome: a case report.

机构信息

The First Affiliated Hospital of Guangdong Pharmaceutical University, Guangzhou 510080, Guangdong Province, China.

The Second People's Hospital of Shanwei (Yihui Fund Hospital of Shanwei), Shanwei, Guangdong Province, 516600 China.

出版信息

J Int Med Res. 2022 Mar;50(3):3000605221088551. doi: 10.1177/03000605221088551.

Abstract

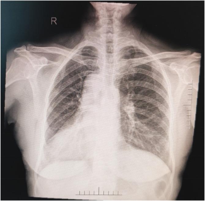
Dextrocardia is a congenital abnormal position of the heart in which the main part of the heart is in the right chest, and the long axis of the heart points to the lower right. Cases of a combination of dextrocardia and sick sinus syndrome are rare. A 65-year-old female patient was admitted to hospital with palpitations and dizziness for 1 week. Mirror-image dextrocardia and sick sinus syndrome were diagnosed by an electrocardiogram, echocardiography, Holter monitoring, and X-rays. Finally, we successfully implanted a dual-chamber pacemaker into the patient. The patient had an uneventful recovery and was discharged when her symptoms had greatly improved 1 week later. When dextrocardia is present, using active fixation leads in the atrial and ventricular leads is easier for finding the pacing position with optimal sensing and pacing thresholds, and they reduce the incidence of falling off.

摘要

右位心是一种先天性的心脏位置异常,主要部分位于右侧胸部,心脏的长轴指向右下。右位心合并病态窦房结综合征的病例较为罕见。一位 65 岁女性患者因心悸和头晕 1 周入院。心电图、超声心动图、动态心电图监测和 X 线检查诊断为镜像右位心和病态窦房结综合征。最终,我们成功地为患者植入了双腔起搏器。患者恢复顺利,1 周后症状明显改善时出院。当存在右位心时,使用主动固定的心房和心室导线更容易找到具有最佳感知和起搏阈值的起搏位置,并降低脱位的发生率。

https://cdn.ncbi.nlm.nih.gov/pmc/blobs/8bb4/8969507/527ae88a3135/10.1177_03000605221088551-fig1.jpg

文献AI研究员

20分钟写一篇综述,助力文献阅读效率提升50倍。

立即体验

用中文搜PubMed

大模型驱动的PubMed中文搜索引擎

马上搜索

文档翻译

学术文献翻译模型,支持多种主流文档格式。

立即体验