• 文献检索
  • 文档翻译
  • 深度研究
  • 学术资讯
  • Suppr Zotero 插件Zotero 插件
  • 邀请有礼
  • 套餐&价格
  • 历史记录
应用&插件
Suppr Zotero 插件Zotero 插件浏览器插件Mac 客户端Windows 客户端微信小程序
定价
高级版会员购买积分包购买API积分包
服务
文献检索文档翻译深度研究API 文档MCP 服务
关于我们
关于 Suppr公司介绍联系我们用户协议隐私条款
关注我们

Suppr 超能文献

核心技术专利:CN118964589B侵权必究
粤ICP备2023148730 号-1Suppr @ 2026

文献检索

告别复杂PubMed语法,用中文像聊天一样搜索,搜遍4000万医学文献。AI智能推荐,让科研检索更轻松。

立即免费搜索

文件翻译

保留排版,准确专业,支持PDF/Word/PPT等文件格式,支持 12+语言互译。

免费翻译文档

深度研究

AI帮你快速写综述,25分钟生成高质量综述,智能提取关键信息,辅助科研写作。

立即免费体验

神经梅毒伴罕见磁共振成像模式,经宏基因组下一代测序证实:一例报告。

Neurosyphilis with a rare magnetic resonance imaging pattern confirmed by metagenomic next-generation sequencing: a case report.

机构信息

Department of Neurology, The Second Hospital of Hebei Medical University, Shijiazhuang, China.

Institute of Cardiocerebrovascular Disease, Shijiazhuang, China.

出版信息

Eur J Med Res. 2022 Mar 27;27(1):49. doi: 10.1186/s40001-022-00676-1.

DOI:10.1186/s40001-022-00676-1
PMID:35346384
原文链接:https://pmc.ncbi.nlm.nih.gov/articles/PMC8958775/
Abstract

BACKGROUND

Neurosyphilis refers to infection of the central nervous system by Treponema pallidum. The clinical presentation is variable and nonspecific. Neuroimaging findings are complex and that the diagnosis is based on clinical presentation, cerebrospinal fluid (CSF) parameters, and serologic and CSF evidence of syphilis. To date, there is no case report describing Treponema pallidum detected by metagenomic next-generation sequencing (mNGS) in CSF.

CASE PRESENTATION

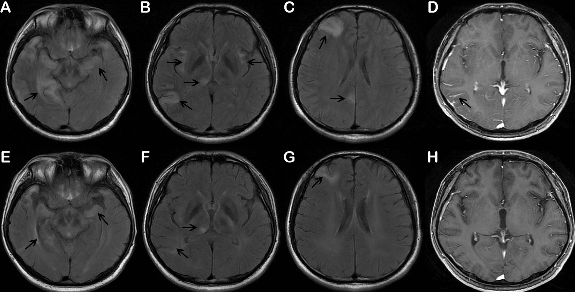
In this report, we describe a case of neurosyphilis in a HIV-negative, 29-year-old man, who was admitted to our hospital with an epileptic seizure and progressive cognitive impairment. Brain magnetic resonance imaging (MRI) revealed fluid-attenuated inversion recovery (FLAIR) high signal intensities in bilateral medial and anterior temporal lobes, insula, right pulvinar of the thalami, precuneus, frontal and temporo-occipital lobes. Laboratory examination showed positive results by means of nontreponemal or specific treponemal test in serum and CSF. mNGS of the CSF was also performed to identify Treponema pallidum for the first time.

CONCLUSIONS

This case underscores the importance of considering neurosyphilis as a potential cause of mesiotemporal abnormality. In addition, the rapid improvement and wide usability of mNGS technology will bring new breakthroughs in the clinical diagnosis of neurosyphilis.

摘要

背景

神经梅毒是指苍白密螺旋体感染中枢神经系统。临床表现多样且不具特异性。神经影像学表现复杂,诊断基于临床表现、脑脊液(CSF)参数以及梅毒的血清学和 CSF 证据。迄今为止,尚无描述 CSF 中苍白密螺旋体通过宏基因组下一代测序(mNGS)检测的病例报告。

病例介绍

本报告描述了一例 HIV 阴性的 29 岁男性神经梅毒病例,该患者因癫痫发作和进行性认知障碍而入院。脑磁共振成像(MRI)显示双侧内侧和前颞叶、岛叶、丘脑右侧豆状核、楔前叶、额叶和颞枕叶的液体衰减反转恢复(FLAIR)高信号强度。实验室检查显示血清和 CSF 中的非密螺旋体或特异性密螺旋体试验均呈阳性结果。CSF 的 mNGS 也是首次用于鉴定苍白密螺旋体。

结论

本病例强调了将神经梅毒视为中颞叶异常的潜在原因的重要性。此外,mNGS 技术的快速改进和广泛可用性将为神经梅毒的临床诊断带来新的突破。

https://cdn.ncbi.nlm.nih.gov/pmc/blobs/52a9/8958775/3ec536ca6c98/40001_2022_676_Fig2_HTML.jpg
https://cdn.ncbi.nlm.nih.gov/pmc/blobs/52a9/8958775/58feda0ed63a/40001_2022_676_Fig1_HTML.jpg
https://cdn.ncbi.nlm.nih.gov/pmc/blobs/52a9/8958775/3ec536ca6c98/40001_2022_676_Fig2_HTML.jpg
https://cdn.ncbi.nlm.nih.gov/pmc/blobs/52a9/8958775/58feda0ed63a/40001_2022_676_Fig1_HTML.jpg
https://cdn.ncbi.nlm.nih.gov/pmc/blobs/52a9/8958775/3ec536ca6c98/40001_2022_676_Fig2_HTML.jpg

相似文献

1
Neurosyphilis with a rare magnetic resonance imaging pattern confirmed by metagenomic next-generation sequencing: a case report.神经梅毒伴罕见磁共振成像模式,经宏基因组下一代测序证实:一例报告。
Eur J Med Res. 2022 Mar 27;27(1):49. doi: 10.1186/s40001-022-00676-1.
2
Neurosyphilis with ocular involvement and normal magnetic resonance imaging results affirmed by metagenomic next-generation sequencing.神经梅毒伴眼受累,经宏基因组下一代测序证实的磁共振成像结果正常。
Front Cell Infect Microbiol. 2022 Dec 2;12:985373. doi: 10.3389/fcimb.2022.985373. eCollection 2022.
3
Neuroimaging of six neurosyphilis cases mimicking viral encephalitis.六例拟似病毒性脑炎的神经梅毒的神经影像学表现。
J Neurol Sci. 2013 Nov 15;334(1-2):164-6. doi: 10.1016/j.jns.2013.08.019. Epub 2013 Aug 19.
4
[A case of neurosyphilis presenting as bilateral temporal, cortical and subcortical encephalitis].[一例表现为双侧颞叶皮质及皮质下脑炎的神经梅毒病例]
Rinsho Shinkeigaku. 2023 Apr 25;63(4):221-224. doi: 10.5692/clinicalneurol.cn-001811. Epub 2023 Mar 29.
5
Case Report: Detection of in cerebrospinal fluid of a neurosyphilis patient by metagenomic next-generation sequencing.病例报告:通过宏基因组下一代测序在神经梅毒患者脑脊液中检测到 。
Front Cell Infect Microbiol. 2023 Aug 29;13:1218049. doi: 10.3389/fcimb.2023.1218049. eCollection 2023.
6
[A case of neurosyphilis presenting with limbic encephalitis].[一例表现为边缘叶脑炎的神经梅毒病例]
Rinsho Shinkeigaku. 2017 Jan 31;57(1):37-40. doi: 10.5692/clinicalneurol.cn-000936. Epub 2016 Dec 16.
7
Neurosyphilis: mighty imitator forays with benign presentation and unique neuroimaging findings.神经梅毒:以良性表现和独特的神经影像学表现进行伪装的强大模仿者。
Sex Health. 2018 Jul;15(4):358-360. doi: 10.1071/SH17088.
8
Neurosyphilis Mimicking Herpes Simplex Encephalitis on Magnetic Resonance Imaging: A Case Report.神经梅毒酷似单纯疱疹脑炎的磁共振成像表现:病例报告。
Am J Case Rep. 2022 Jun 28;23:e936127. doi: 10.12659/AJCR.936127.
9
Effect of early and late syphilis on central nervous system: cerebrospinal fluid changes and neurological deficit.早期和晚期梅毒对中枢神经系统的影响:脑脊液变化及神经功能缺损
Genitourin Med. 1987 Apr;63(2):77-82. doi: 10.1136/sti.63.2.77.
10
MRI of neurosyphilis with mesiotemporal lobe lesions of "knife-cut sign" on MRI: A case report and literature review.梅毒脑病的MRI表现为颞叶内侧病变呈“刀切征”:一例报告并文献复习
Heliyon. 2023 Mar 25;9(4):e14787. doi: 10.1016/j.heliyon.2023.e14787. eCollection 2023 Apr.

引用本文的文献

1
The added value of metagenomic next-generation sequencing in central nervous system infections: a systematic review of case reports.宏基因组下一代测序在中枢神经系统感染中的附加价值:病例报告的系统评价
Infection. 2025 Mar 13. doi: 10.1007/s15010-025-02502-2.
2
Analysis of Neurosyphilis Imaging Methods and Treatment: A Focused Review.神经梅毒影像学方法与治疗分析:重点综述
Cureus. 2024 Nov 4;16(11):e72976. doi: 10.7759/cureus.72976. eCollection 2024 Nov.
3
Neurosyphilis with ocular involvement and normal magnetic resonance imaging results affirmed by metagenomic next-generation sequencing.

本文引用的文献

1
Neuroimaging Features, Follow-Up Analyses, and Comparisons Between Asymptomatic and Symptomatic Neurosyphilis.神经影像学特征、随访分析以及无症状和有症状神经梅毒之间的比较
Dermatol Ther (Heidelb). 2020 Apr;10(2):273-283. doi: 10.1007/s13555-020-00361-3. Epub 2020 Mar 2.
2
The Modern Epidemic of Syphilis.梅毒的现代流行情况
N Engl J Med. 2020 Feb 27;382(9):845-854. doi: 10.1056/NEJMra1901593.
3
Neurosyphilis.神经梅毒
神经梅毒伴眼受累,经宏基因组下一代测序证实的磁共振成像结果正常。
Front Cell Infect Microbiol. 2022 Dec 2;12:985373. doi: 10.3389/fcimb.2022.985373. eCollection 2022.
4
Advances in laboratory diagnostic methods for cerebrospinal fluid testing for neurosyphilis.神经梅毒脑脊液实验室诊断方法的研究进展。
Front Public Health. 2022 Nov 14;10:1030480. doi: 10.3389/fpubh.2022.1030480. eCollection 2022.
N Engl J Med. 2019 Oct 3;381(14):1358-1363. doi: 10.1056/NEJMra1906228.
4
A Nationwide Spatiotemporal Analysis of Syphilis Over 21 Years and Implications for Prevention and Control in China.中国 21 年来梅毒的全国时空分析及防控意义。
Clin Infect Dis. 2020 Jan 1;70(1):136-139. doi: 10.1093/cid/ciz331.
5
Clinical Metagenomic Sequencing for Diagnosis of Meningitis and Encephalitis.临床宏基因组测序在脑膜炎和脑炎诊断中的应用。
N Engl J Med. 2019 Jun 13;380(24):2327-2340. doi: 10.1056/NEJMoa1803396.
6
A Case Report of Neurosyphilis Limbic Encephalitis With Reversible Geschwind Syndrome and Mood Disorder.一例伴有可逆性盖氏综合征和情绪障碍的神经梅毒边缘性脑炎病例报告
J Psychiatr Pract. 2019 May;25(3):222-226. doi: 10.1097/PRA.0000000000000390.
7
Clinical Metagenomic Next-Generation Sequencing for Pathogen Detection.临床宏基因组下一代测序在病原体检测中的应用。
Annu Rev Pathol. 2019 Jan 24;14:319-338. doi: 10.1146/annurev-pathmechdis-012418-012751. Epub 2018 Oct 24.
8
Neurosyphilis: mighty imitator forays with benign presentation and unique neuroimaging findings.神经梅毒:以良性表现和独特的神经影像学表现进行伪装的强大模仿者。
Sex Health. 2018 Jul;15(4):358-360. doi: 10.1071/SH17088.
9
Frequency of Treponema pallidum invasion into cerebrospinal fluid in primary or secondary early-stage syphilis.一期或二期早期梅毒中梅毒螺旋体侵入脑脊液的频率
J Infect Chemother. 2018 May;24(5):404-406. doi: 10.1016/j.jiac.2017.11.007. Epub 2017 Dec 8.
10
Concomitant neurosyphilis and herpes simplex encephalitis in an immunocompetent patient: a case report.免疫功能正常患者合并神经梅毒和单纯疱疹病毒性脑炎:一例报告
Neurol Sci. 2018 Jan;39(1):185-187. doi: 10.1007/s10072-017-3115-2. Epub 2017 Sep 15.