• 文献检索
  • 文档翻译
  • 深度研究
  • 学术资讯
  • Suppr Zotero 插件Zotero 插件
  • 邀请有礼
  • 套餐&价格
  • 历史记录
应用&插件
Suppr Zotero 插件Zotero 插件浏览器插件Mac 客户端Windows 客户端微信小程序
定价
高级版会员购买积分包购买API积分包
服务
文献检索文档翻译深度研究API 文档MCP 服务
关于我们
关于 Suppr公司介绍联系我们用户协议隐私条款
关注我们

Suppr 超能文献

核心技术专利:CN118964589B侵权必究
粤ICP备2023148730 号-1Suppr @ 2026

文献检索

告别复杂PubMed语法,用中文像聊天一样搜索,搜遍4000万医学文献。AI智能推荐,让科研检索更轻松。

立即免费搜索

文件翻译

保留排版,准确专业,支持PDF/Word/PPT等文件格式,支持 12+语言互译。

免费翻译文档

深度研究

AI帮你快速写综述,25分钟生成高质量综述,智能提取关键信息,辅助科研写作。

立即免费体验

首次对法国的寄生虫哈氏单孢子虫进行了特征描述,并开发了一种实时 PCR 检测方法,用于快速检测太平洋牡蛎 Crassostrea gigas 中的寄生虫。

First characterization of the parasite Haplosporidium costale in France and development of a real-time PCR assay for its rapid detection in the Pacific oyster, Crassostrea gigas.

机构信息

Ifremer, RBE-ASIM, Station de La Tremblade, La Tremblade, France.

Réseau d'EpidémioSurveillance en Pathologie Equine, Saint-Contest, France.

出版信息

Transbound Emerg Dis. 2022 Sep;69(5):e2041-e2058. doi: 10.1111/tbed.14541. Epub 2022 Apr 12.

DOI:10.1111/tbed.14541
PMID:35353448
原文链接:https://pmc.ncbi.nlm.nih.gov/articles/PMC9790386/
Abstract

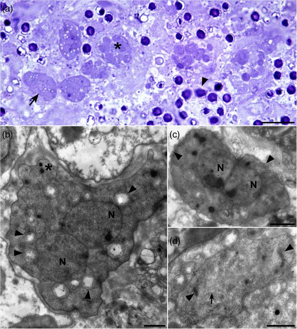
The Pacific cupped oyster Crassostrea gigas is one of the most 'globalized' marine invertebrates and its production is predominant in many parts of the world including Europe. However, it is threatened by mortality events associated with pathogenic microorganisms such as the virus OsHV-1 and the bacteria Vibrio aestuarianus. C. gigas is also a host for protozoan parasites including haplosporidians. In contrast with Haplosporidium nelsoni previously detected in Europe, H. costale was considered exotic although its presence in French oysters was suggested in the 1980s based on ultrastructural examination. Here, a combination of light and transmission electron microscopy, PCR and sequencing allowed characterizing the presence of the parasite in the context of low mortality events which occurred in 2019 in France. Histological observation revealed the presence of uninucleated, plasmodial and spore stages within the connective tissues of some oysters. Ultrastructural features were similar to H. costale ones in particular the presence of axe-shaped haplosporosomes in spore cytoplasms. Three fragments of the genome including partial small subunit rRNA gene, the ITS-1, 5.8S and ITS-2 array and part of the actin gene were successfully sequenced and grouped with H. costale homologous sequences. This is the first time that the presence of H. costale was confirmed in C. gigas in France. Furthermore, a TaqMan real-time PCR assay was developed and validated [DSe = 92.6% (78.2-99.8) and DSp = 95.5% (92.3-98.6)] to enable the rapid and specific detection of the parasite. The application of the PCR assay on archived samples revealed that the parasite has been present in French oyster populations at least since 2008. Considering the little information available on this parasite, the newly developed TaqMan assay will be very helpful to investigate the temporal and geographic distribution and the life cycle of the parasite in France and more generally in C. gigas geographic range.

摘要

太平洋牡蛎 Crassostrea gigas 是最具“全球化”的海洋无脊椎动物之一,其产量在世界许多地区都占主导地位,包括欧洲。然而,它受到与致病性微生物(如病毒 OsHV-1 和细菌 Vibrio aestuarianus)相关的死亡率事件的威胁。C. gigas 也是原生动物寄生虫的宿主,包括哈氏胞子虫。与以前在欧洲检测到的 Haplosporidium nelsoni 不同,Haplosporidium costale 被认为是外来物种,尽管 20 世纪 80 年代基于超微结构检查就曾提示其存在于法国牡蛎中。在这里,结合光镜和透射电子显微镜、PCR 和测序,能够在 2019 年法国发生的低死亡率事件背景下对寄生虫的存在进行特征描述。组织学观察显示,在一些牡蛎的结缔组织中存在单核、质体和孢子阶段。超微结构特征与 H. costale 相似,特别是孢子细胞质中存在斧形哈氏胞子体。成功测序了包括部分小亚基 rRNA 基因、ITS-1、5.8S 和 ITS-2 区以及部分肌动蛋白基因的三个基因组片段,并与 H. costale 同源序列进行了分组。这是首次在法国的 C. gigas 中确认存在 H. costale。此外,还开发并验证了 TaqMan 实时 PCR 检测方法 [DSe = 92.6%(78.2-99.8)和 DSp = 95.5%(92.3-98.6)],以实现寄生虫的快速和特异性检测。将 PCR 检测方法应用于存档样本显示,该寄生虫至少自 2008 年以来就存在于法国牡蛎种群中。考虑到关于该寄生虫的信息很少,新开发的 TaqMan 检测方法将非常有助于调查法国和更广泛的 C. gigas 地理范围内寄生虫的时间和地理分布以及生命周期。

https://cdn.ncbi.nlm.nih.gov/pmc/blobs/060a/9790386/6ca50b4e38e2/TBED-69-e2041-g002.jpg
https://cdn.ncbi.nlm.nih.gov/pmc/blobs/060a/9790386/587c4aa760cd/TBED-69-e2041-g001.jpg
https://cdn.ncbi.nlm.nih.gov/pmc/blobs/060a/9790386/14e48d49f537/TBED-69-e2041-g005.jpg
https://cdn.ncbi.nlm.nih.gov/pmc/blobs/060a/9790386/cb2a6bfa6cdd/TBED-69-e2041-g004.jpg
https://cdn.ncbi.nlm.nih.gov/pmc/blobs/060a/9790386/1e286be68c60/TBED-69-e2041-g003.jpg
https://cdn.ncbi.nlm.nih.gov/pmc/blobs/060a/9790386/6ca50b4e38e2/TBED-69-e2041-g002.jpg
https://cdn.ncbi.nlm.nih.gov/pmc/blobs/060a/9790386/587c4aa760cd/TBED-69-e2041-g001.jpg
https://cdn.ncbi.nlm.nih.gov/pmc/blobs/060a/9790386/14e48d49f537/TBED-69-e2041-g005.jpg
https://cdn.ncbi.nlm.nih.gov/pmc/blobs/060a/9790386/cb2a6bfa6cdd/TBED-69-e2041-g004.jpg
https://cdn.ncbi.nlm.nih.gov/pmc/blobs/060a/9790386/1e286be68c60/TBED-69-e2041-g003.jpg
https://cdn.ncbi.nlm.nih.gov/pmc/blobs/060a/9790386/6ca50b4e38e2/TBED-69-e2041-g002.jpg

相似文献

1
First characterization of the parasite Haplosporidium costale in France and development of a real-time PCR assay for its rapid detection in the Pacific oyster, Crassostrea gigas.首次对法国的寄生虫哈氏单孢子虫进行了特征描述,并开发了一种实时 PCR 检测方法,用于快速检测太平洋牡蛎 Crassostrea gigas 中的寄生虫。
Transbound Emerg Dis. 2022 Sep;69(5):e2041-e2058. doi: 10.1111/tbed.14541. Epub 2022 Apr 12.
2
Detection of the protistan parasite, Haplosporidium costale in Crassostrea gigas oysters from the French coast: A retrospective study.法国海岸太平洋牡蛎中寄生原生生物哈氏单孢子虫的检测:一项回顾性研究。
J Invertebr Pathol. 2022 Nov;195:107831. doi: 10.1016/j.jip.2022.107831. Epub 2022 Oct 17.
3
Haplosporidium nelsoni and H. costale in the Pacific oyster Crassostrea gigas from China's coasts.中国沿海太平洋牡蛎(长牡蛎)中的尼尔森单孢子虫和科斯塔勒单孢子虫。
Dis Aquat Organ. 2010 Apr 9;89(3):223-8. doi: 10.3354/dao02196.
4
Development of a multiplex qPCR for the quantification of three protozoan parasites of the eastern oyster Crassostrea virginica.建立一种多重 qPCR 方法,用于定量检测美洲牡蛎(Crassostrea virginica)中的三种原生动物寄生虫。
Dis Aquat Organ. 2022 Oct 27;151:111-121. doi: 10.3354/dao03694.
5
Characterization of the small subunit ribosomal RNA gene of the oyster parasite Haplosporidium costale.牡蛎寄生虫肋生单孢子虫小亚基核糖体RNA基因的特征分析
Mol Mar Biol Biotechnol. 1995 Sep;4(3):236-40.
6
A 1-year investigation of the parasite Haplosporidium nelsoni (MSX) in the Pacific oyster Crassostrea gigas from Dayaowan Bay, China.中国大亚湾海域太平洋牡蛎中寄生虫哈氏胞子虫(MSX)的为期 1 年的调查。
Parasitol Res. 2010 Jun;107(1):189-93. doi: 10.1007/s00436-010-1842-x. Epub 2010 Apr 6.
7
Haplosporidiosis in the Pacific oyster Crassostrea gigas from the French Atlantic coast.来自法国大西洋沿岸的太平洋牡蛎(Crassostrea gigas)中的单孢子虫病。
Dis Aquat Organ. 2000 Sep 28;42(3):207-14. doi: 10.3354/dao042207.
8
Application of a multiplex PCR for the detection of protozoan pathogens of the eastern oyster Crassostrea virginica in field samples.多重聚合酶链反应在检测野外样本中弗吉尼亚牡蛎(Crassostrea virginica)原生动物病原体方面的应用。
Dis Aquat Organ. 2004 Apr 21;59(1):85-91. doi: 10.3354/dao059085.
9
Performance characteristics of polymerase chain reaction and histological methods for the detection of Haplosporidium nelsoni in the eastern oyster (Crassostrea virginica).聚合酶链反应和组织学方法检测东部牡蛎(弗吉尼亚牡蛎)中纳尔逊单孢子虫的性能特征
J Vet Diagn Invest. 2015 Jul;27(4):476-88. doi: 10.1177/1040638715592666. Epub 2015 Jul 15.
10
Perkinsus marinus in Crassostrea gigas in the Gulf of California.加利福尼亚湾太平洋牡蛎中的海派金虫。
Dis Aquat Organ. 2010 Apr 9;89(3):269-73. doi: 10.3354/dao02199.

引用本文的文献

1
Enhancing Biosecurity in Mollusc Aquaculture: A Review of Current Isothermal Nucleic Acid Detection Methods.加强贝类水产养殖中的生物安全:当前等温核酸检测方法综述
Animals (Basel). 2025 Jun 4;15(11):1664. doi: 10.3390/ani15111664.
2
Loop-Mediated Isothermal Amplification for the Fast Detection of and in Flat Oysters.用于快速检测扁牡蛎中[具体物质1]和[具体物质2]的环介导等温扩增技术。
Pathogens. 2024 Jan 30;13(2):132. doi: 10.3390/pathogens13020132.
3
Identification and Characterization of Infectious Pathogens Associated with Mass Mortalities of Pacific Oyster () Cultured in Northern China.

本文引用的文献

1
Bayesian latent class analysis when the reference test is imperfect.贝叶斯潜在类别分析在参考测试不完善时的应用。
Rev Sci Tech. 2021 Jun;40(1):271-286. doi: 10.20506/rst.40.1.3224.
2
Evaluation of histopathology, PCR, and qPCR to detect Mikrocytos mackini in oysters Crassostrea gigas using Bayesian latent class analysis.贝叶斯潜在类别分析评估组织病理学、PCR 和 qPCR 在检测牡蛎 Crassostrea gigas 中的 Mikrocytos mackini 中的应用。
Dis Aquat Organ. 2021 Mar 11;144:21-31. doi: 10.3354/dao03566.
3
Haplosporosomes, sporoplasmosomes and their putative taxonomic relationships in rhizarians and myxozoans.
中国北方养殖太平洋牡蛎()大规模死亡相关感染性病原体的鉴定与特征分析
Biology (Basel). 2023 May 23;12(6):759. doi: 10.3390/biology12060759.
4
Parasite Detection in Seawater Samples.海水中样本的寄生虫检测
Microorganisms. 2023 Apr 28;11(5):1146. doi: 10.3390/microorganisms11051146.
类环藻体、孢子体及其在粘孢子虫和根足虫中的可能的分类学关系。
Parasitology. 2020 Dec;147(14):1614-1628. doi: 10.1017/S0031182020001717. Epub 2020 Sep 18.
4
A new multiplex real-time PCR assay to improve the diagnosis of shellfish regulated parasites of the genus Marteilia and Bonamia.一种新的多重实时 PCR 检测方法,用于提高贝类寄生虫玛氏管石鳖属和贝尼阿米虫属的诊断水平。
Prev Vet Med. 2020 Oct;183:105126. doi: 10.1016/j.prevetmed.2020.105126. Epub 2020 Aug 19.
5
Gold standards are out and Bayes is in: Implementing the cure for imperfect reference tests in diagnostic accuracy studies.金标准已过时,贝叶斯方法正流行:在诊断准确性研究中实施对不完善参考测试的补救措施。
Prev Vet Med. 2019 Jun 1;167:113-127. doi: 10.1016/j.prevetmed.2019.01.010. Epub 2019 Mar 18.
6
Haplosporidium pinnae sp. nov., a haplosporidan parasite associated with mass mortalities of the fan mussel, Pinna nobilis, in the Western Mediterranean Sea.新种 Haplosporidium pinnae,一种与扇贻贝(Pinna nobilis)大量死亡相关的 Haplosporidia 寄生虫,分布于西地中海。
J Invertebr Pathol. 2018 Sep;157:9-24. doi: 10.1016/j.jip.2018.07.006. Epub 2018 Jul 10.
7
Increased Virulence in an Introduced Pathogen: Haplosporidium nelsoni (MSX) in the Eastern Oyster Crassostrea virginica.外来病原体毒力增强:美国东海岸牡蛎(Crassostrea virginica)中的尼氏单孢子虫(MSX)
J Aquat Anim Health. 2000 Mar;12(1):1-8. doi: 10.1577/1548-8667(2000)012<0001:IVIAIP>2.0.CO;2.
8
Development of a duplex Taqman real-time PCR assay for rapid identification of Vibrio splendidus-related and V. aestuarianus strains from bacterial cultures.开发一种双重Taqman实时荧光定量PCR检测方法,用于从细菌培养物中快速鉴定灿烂弧菌相关菌株和河口弧菌菌株。
J Microbiol Methods. 2017 Sep;140:67-69. doi: 10.1016/j.mimet.2017.07.002. Epub 2017 Jul 12.
9
Moving from Histopathology to Molecular Tools in the Diagnosis of Molluscs Diseases of Concern under EU Legislation.从组织病理学转向分子工具用于欧盟法规下关注的软体动物疾病诊断
Front Physiol. 2016 Nov 14;7:538. doi: 10.3389/fphys.2016.00538. eCollection 2016.
10
MEGA7: Molecular Evolutionary Genetics Analysis Version 7.0 for Bigger Datasets.MEGA7:适用于更大数据集的分子进化遗传学分析版本7.0
Mol Biol Evol. 2016 Jul;33(7):1870-4. doi: 10.1093/molbev/msw054. Epub 2016 Mar 22.