Suppr超能文献

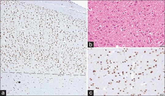
Post-Operative Seizure Freedom Need not be Elusive in Mild Oligodendroglial Hyperplasia and Epilepsy (MOGHE).

作者信息

Chatterjee Aparajita, Mundlamuri Ravindranadh C, Asranna Ajay, Kenchaiah Raghavendra, Bhargava G K, Narayanan Mariyappa, Mhatre Radhika, Kulanthaivelu Karthik, Mangalore Sandhya, Nagaraj Chandana, Bharath Rose Dawn, Saini Jitender, Sadashiva Nishanth, Arivazhagan A, Rao Malla Bhaskara, Mahadevan Anita, Sinha Sanjib

机构信息

Department of Neurology, National Institute of Mental Health and Neurosciences, Bangalore, India.

Department of Clinical Neurosciencesv, National Institute of Mental Health and Neurosciences, Bangalore, India.

出版信息

Ann Indian Acad Neurol. 2021 Nov-Dec;24(6):1009-1011. doi: 10.4103/aian.AIAN_1155_20. Epub 2021 Aug 4.

Abstract
摘要
https://cdn.ncbi.nlm.nih.gov/pmc/blobs/a6cd/8965943/3d138224549e/AIAN-24-1009-g001.jpg

相似文献

1
Post-Operative Seizure Freedom Need not be Elusive in Mild Oligodendroglial Hyperplasia and Epilepsy (MOGHE).
Ann Indian Acad Neurol. 2021 Nov-Dec;24(6):1009-1011. doi: 10.4103/aian.AIAN_1155_20. Epub 2021 Aug 4.
4
Temporal lobe "plus" epilepsy associated with oligodendroglial hyperplasia (MOGHE).
Acta Neurol Scand. 2019 Oct;140(4):296-300. doi: 10.1111/ane.13142. Epub 2019 Jul 8.
9
MRI detection of mild malformation of cortical development with oligodendroglial hyperplasia (MOGHE) on T1WI-CHESS.
Epilepsy Behav Rep. 2024 May 8;26:100674. doi: 10.1016/j.ebr.2024.100674. eCollection 2024.

引用本文的文献

1
Mild Malformation of Cortical Development With Oligodendroglial Hyperplasia and Epilepsy: A Systematic Review.
Neurol Genet. 2025 Jan 31;11(1):e200240. doi: 10.1212/NXG.0000000000200240. eCollection 2025 Feb.

本文引用的文献

1
Temporal lobe "plus" epilepsy associated with oligodendroglial hyperplasia (MOGHE).
Acta Neurol Scand. 2019 Oct;140(4):296-300. doi: 10.1111/ane.13142. Epub 2019 Jul 8.
5
MR imaging identification of oligodendroglial hyperplasia.
AJNR Am J Neuroradiol. 2009 Aug;30(7):1412-3. doi: 10.3174/ajnr.A1522. Epub 2009 Mar 11.
6
Different features of histopathological subtypes of pediatric focal cortical dysplasia.
Ann Neurol. 2008 Jun;63(6):758-69. doi: 10.1002/ana.21398.
7
Terminology and classification of the cortical dysplasias.
Neurology. 2004 Mar 23;62(6 Suppl 3):S2-8. doi: 10.1212/01.wnl.0000114507.30388.7e.
8
Neuropathological findings in 224 patients with temporal lobe epilepsy.
Acta Neuropathol. 1993;86(5):433-8. doi: 10.1007/BF00228577.
9
Surgical pathology of chronic epileptic seizure disorders.
Brain Pathol. 1993 Oct;3(4):371-80. doi: 10.1111/j.1750-3639.1993.tb00765.x.

文献AI研究员

20分钟写一篇综述,助力文献阅读效率提升50倍。

立即体验

用中文搜PubMed

大模型驱动的PubMed中文搜索引擎

马上搜索

文档翻译

学术文献翻译模型,支持多种主流文档格式。

立即体验