• 文献检索
  • 文档翻译
  • 深度研究
  • 学术资讯
  • Suppr Zotero 插件Zotero 插件
  • 邀请有礼
  • 套餐&价格
  • 历史记录
应用&插件
Suppr Zotero 插件Zotero 插件浏览器插件Mac 客户端Windows 客户端微信小程序
定价
高级版会员购买积分包购买API积分包
服务
文献检索文档翻译深度研究API 文档MCP 服务
关于我们
关于 Suppr公司介绍联系我们用户协议隐私条款
关注我们

Suppr 超能文献

核心技术专利:CN118964589B侵权必究
粤ICP备2023148730 号-1Suppr @ 2026

文献检索

告别复杂PubMed语法,用中文像聊天一样搜索,搜遍4000万医学文献。AI智能推荐,让科研检索更轻松。

立即免费搜索

文件翻译

保留排版,准确专业,支持PDF/Word/PPT等文件格式,支持 12+语言互译。

免费翻译文档

深度研究

AI帮你快速写综述,25分钟生成高质量综述,智能提取关键信息,辅助科研写作。

立即免费体验

脓毒症性弥散性血管内凝血期间的非创伤性双侧腹直肌鞘血肿

Non-traumatic bilateral rectus sheath hematoma during septic disseminated intravascular coagulation.

作者信息

Taguchi Kana, Kamei Yoshiaki, Kusakabe Erina, Yamashita Michiko, Noda Haruna, Aoki Reina, Nishiyama Kanako, Murakami Akari, Tanaka Hiroaki, Matsuda Megumi, Kido Teruhito, Sato Norio, Takada Yasutsugu

机构信息

Department of Breast Center, Ehime University Hospital, Japan.

Department of Radiology, Ehime University Graduate School of Medicine, Ehime, Japan.

出版信息

Radiol Case Rep. 2022 Mar 24;17(5):1737-1740. doi: 10.1016/j.radcr.2022.02.074. eCollection 2022 May.

DOI:10.1016/j.radcr.2022.02.074
PMID:35360185
原文链接:https://pmc.ncbi.nlm.nih.gov/articles/PMC8960865/
Abstract

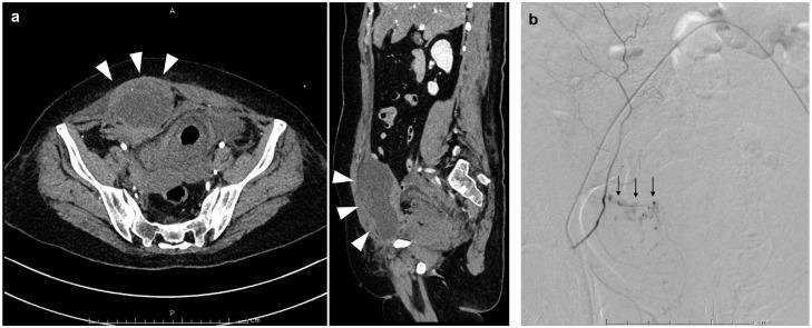
A non-traumatic abdominal wall hematoma is rare, and occurs occasionally due to coughing, physical activity, or antithrombotic/anticoagulant therapy. The condition is usually unilateral; however, rare bilateral cases have been reported. Here, we report a rare case of a non-traumatic bilateral rectus sheath hematoma. The patient was a 60-year-old woman who was urgently admitted to our hospital due to the occurrence of pneumonia during postoperative chemotherapy for breast cancer. Because she exhibited disseminated intravascular coagulation, a therapy with antibacterial agents, thrombomodulin alpha, and catecholamines was initiated. During hospitalization, hemorrhagic shock due to hematomas in both rectus abdominis muscles was observed without any discernible cause. Subsequent emergency angioembolization was successful, and abdominal computed tomography performed 3 months after the onset of the rectus sheath hematoma confirmed a reduction in the hematoma size.

摘要

非创伤性腹壁血肿较为罕见,偶尔因咳嗽、体力活动或抗血栓/抗凝治疗而发生。该病通常为单侧性;然而,也有罕见的双侧病例报道。在此,我们报告一例罕见的非创伤性双侧腹直肌鞘血肿病例。患者为一名60岁女性,因乳腺癌术后化疗期间发生肺炎而紧急入院。由于她出现了弥散性血管内凝血,遂开始使用抗菌药物、重组血栓调节蛋白α和儿茶酚胺进行治疗。住院期间,在无任何明显诱因的情况下,观察到双侧腹直肌出现血肿导致失血性休克。随后的急诊血管栓塞术取得成功,腹直肌鞘血肿发病3个月后进行的腹部计算机断层扫描证实血肿大小有所减小。

https://cdn.ncbi.nlm.nih.gov/pmc/blobs/d480/8960865/0b68aa35d394/gr3.jpg
https://cdn.ncbi.nlm.nih.gov/pmc/blobs/d480/8960865/406faef1f4d2/gr1.jpg
https://cdn.ncbi.nlm.nih.gov/pmc/blobs/d480/8960865/f830c094f8c3/gr2.jpg
https://cdn.ncbi.nlm.nih.gov/pmc/blobs/d480/8960865/0b68aa35d394/gr3.jpg
https://cdn.ncbi.nlm.nih.gov/pmc/blobs/d480/8960865/406faef1f4d2/gr1.jpg
https://cdn.ncbi.nlm.nih.gov/pmc/blobs/d480/8960865/f830c094f8c3/gr2.jpg
https://cdn.ncbi.nlm.nih.gov/pmc/blobs/d480/8960865/0b68aa35d394/gr3.jpg

相似文献

1
Non-traumatic bilateral rectus sheath hematoma during septic disseminated intravascular coagulation.脓毒症性弥散性血管内凝血期间的非创伤性双侧腹直肌鞘血肿
Radiol Case Rep. 2022 Mar 24;17(5):1737-1740. doi: 10.1016/j.radcr.2022.02.074. eCollection 2022 May.
2
Hemorrhagic shock and obstructive uropathy due to a large rectus sheath hematoma in a patient on anticoagulant therapy.一名接受抗凝治疗的患者因腹直肌鞘巨大血肿导致出血性休克和梗阻性尿路病。
Intern Med. 2009;48(24):2119-22. doi: 10.2169/internalmedicine.48.2440.
3
Rectus sheath hematoma of the abdomen. Case report.腹部直肌鞘血肿。病例报告。
Cir Cir. 2010 Nov-Dec;78(6):538-40.
4
Surgical repair of rectus abdominis rupture with rectus sheath hematoma due to chronic cough and prolonged anticoagulant therapy in a COVID-19 patient: A case report.1例COVID-19患者因慢性咳嗽和长期抗凝治疗导致腹直肌破裂伴腹直肌鞘血肿的手术修复:病例报告
Int J Surg Case Rep. 2024 Jul;120:109628. doi: 10.1016/j.ijscr.2024.109628. Epub 2024 Apr 16.
5
Treatment of rectus sheath hematomas: Eight years of single-center experience with a review of literature.治疗腹直肌鞘血肿:单中心 8 年经验并文献复习
Ulus Travma Acil Cerrahi Derg. 2021 Mar;27(2):222-230. doi: 10.14744/tjtes.2020.22893.
6
A 28-Year-Old Woman Presenting with a Clinical Flare of Systematic Lupus Erythematosus and Abdominal Pain Due to Rectus Sheath Hematoma.一位 28 岁女性,因系统性红斑狼疮临床发作和腹痛就诊,病因是腹直肌鞘血肿。
Am J Case Rep. 2022 Jun 15;23:e935472. doi: 10.12659/AJCR.935472.
7
Spontaneous Rectus Sheath Hematoma: An Uncommon Cause of Acute Abdominal Pain.自发性腹直肌鞘血肿:急性腹痛的罕见原因。
Am J Case Rep. 2019 Feb 7;20:163-166. doi: 10.12659/AJCR.913246.
8
Retroperitoneal and rectus sheath hematomas.腹膜后和腹直肌鞘血肿。
Surg Clin North Am. 2014 Feb;94(1):71-6. doi: 10.1016/j.suc.2013.10.007. Epub 2013 Oct 26.
9
Rectus Sheath Hematoma Following Intravenous Thrombolysis With Recombinant Tissue Plasminogen Activator for Cerebral Infarction: A Case Report.重组组织型纤溶酶原激活剂静脉溶栓治疗脑梗死并发腹直肌鞘血肿:一例报告
J Stroke Cerebrovasc Dis. 2018 Dec;27(12):e237-e238. doi: 10.1016/j.jstrokecerebrovasdis.2018.07.029. Epub 2018 Aug 16.
10
[Anatomo-radiologic correlations in spontaneous hematoma of the rectus abdominis muscles].[腹直肌自发性血肿的解剖学与放射学相关性]
Radiol Med. 2000 Jun;99(6):432-7.

引用本文的文献

1
Rectus sheath hematoma after percutaneous coronary intervention and hemodialysis.经皮冠状动脉介入治疗和血液透析后腹直肌鞘血肿
Postepy Kardiol Interwencyjnej. 2023 Dec;19(4):382-383. doi: 10.5114/aic.2023.133812. Epub 2023 Dec 22.
2
Trauma in the elderly: a bilateral rectus sheath haematoma.老年创伤:双侧腹直肌鞘血肿。
BMJ Case Rep. 2023 Dec 7;16(12):e256061. doi: 10.1136/bcr-2023-256061.

本文引用的文献

1
Spontaneous rectus sheath hematoma: The utility of CT angiography.自发性腹直肌鞘血肿:CT血管造影的应用价值
Radiol Case Rep. 2018 Feb 3;13(2):328-332. doi: 10.1016/j.radcr.2018.01.016. eCollection 2018 Apr.
2
Bilateral rectal sheath hematomas after low-molecular weight heparin treatment in uremia.尿毒症患者低分子量肝素治疗后双侧直肠鞘膜血肿
Ren Fail. 2017 Nov;39(1):414-416. doi: 10.1080/0886022X.2017.1305406.
3
Bilateral rectus sheath haematoma complicating dengue virus infection in a patient on warfarin for mechanical aortic valve replacement: a case report.
一名因机械主动脉瓣置换而服用华法林的患者,双侧腹直肌鞘血肿并发登革病毒感染:病例报告
BMC Res Notes. 2017 Jan 7;10(1):26. doi: 10.1186/s13104-016-2330-x.
4
Abdominal haematomas and dengue fever: Two different cases of spontaneous psoas muscle haematoma and bilateral rectus sheath haematoma complicating dengue haemorrhagic fever.腹部血肿与登革热:两例不同的自发性腰大肌血肿和双侧腹直肌鞘血肿并发登革出血热病例。
J Vector Borne Dis. 2015 Dec;52(4):339-41.
5
Rectus sheath hematoma: a review of the literature.腹直肌鞘血肿:文献回顾。
Int J Surg. 2015 Jan;13:267-271. doi: 10.1016/j.ijsu.2014.12.015. Epub 2014 Dec 19.
6
Bilateral rectus sheath hematomas in a coughing patient.一名咳嗽患者双侧腹直肌鞘血肿。
Am J Med. 2013 Jun;126(6):e5-6. doi: 10.1016/j.amjmed.2013.01.021. Epub 2013 Apr 15.
7
Images in cardiovascular medicine. Bilateral rectus sheath hematoma developing during anticoagulant therapy.心血管医学影像。抗凝治疗期间发生双侧腹直肌鞘血肿。
Circulation. 2010 Apr 20;121(15):1778-9. doi: 10.1161/CIR.0b013e3181db2135.
8
Rectus sheath hematoma: review of 126 cases at a single institution.腹直肌鞘血肿:单机构126例病例回顾
Medicine (Baltimore). 2006 Mar;85(2):105-110. doi: 10.1097/01.md.0000216818.13067.5a.
9
The use of ultrasound to differentiate rectus sheath hematoma from other acute abdominal disorders.使用超声鉴别腹直肌鞘血肿与其他急性腹部疾病。
Surg Endosc. 1999 Nov;13(11):1129-34. doi: 10.1007/s004649901188.
10
Ultrasonography in the diagnosis of rectus abdominis hematoma.超声检查在腹直肌血肿诊断中的应用
Can J Surg. 1981 Sep;24(5):524-5.