Suppr超能文献

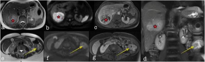
Primary leiomyosarcoma of the colon with synchronous liver metastasis.

作者信息

Massaras Dimitrios, Kontis Elissaios, Stamatis Konstantinos, Zampeli Evanthia, Myoteri Despoina, Primetis Elias, Pantiora Eirini, Fragulidis Georgios

机构信息

2ndDepartment of Surgery, National and Kapodistrian University of Athens, Aretaieio Hospital, Athens, Greece.

Department of Gastroenterology Alexandra General Hospital, Athens Greece.

出版信息

Rare Tumors. 2022 Mar 27;14:20363613221080549. doi: 10.1177/20363613221080549. eCollection 2022.

Abstract
摘要
https://cdn.ncbi.nlm.nih.gov/pmc/blobs/52e3/8961372/1a67bccf474c/10.1177_20363613221080549-fig1.jpg

文献AI研究员

20分钟写一篇综述,助力文献阅读效率提升50倍。

立即体验

用中文搜PubMed

大模型驱动的PubMed中文搜索引擎

马上搜索

文档翻译

学术文献翻译模型,支持多种主流文档格式。

立即体验