Suppr超能文献

儿童膝关节色素沉着绒毛结节性滑膜炎:一例报告

Pigmented villonodular synovitis of the knee in a child: a case report.

作者信息

Hoa Dang Hong, Ngoc Doan Van, Chau Nguyen Minh, Ninh Tran Phan, Sang Nguyen Van, Long Vu Tri

机构信息

Musculoskeletal Dept of University of Medical and Pharmacy, Vietnam National University, Ha Noi, Vietnam.

Department of Rheumatology, Tam Anh Hospital, Ha Noi, Vietnam.

出版信息

Radiol Case Rep. 2022 Mar 27;17(5):1798-1802. doi: 10.1016/j.radcr.2022.03.006. eCollection 2022 May.

Abstract

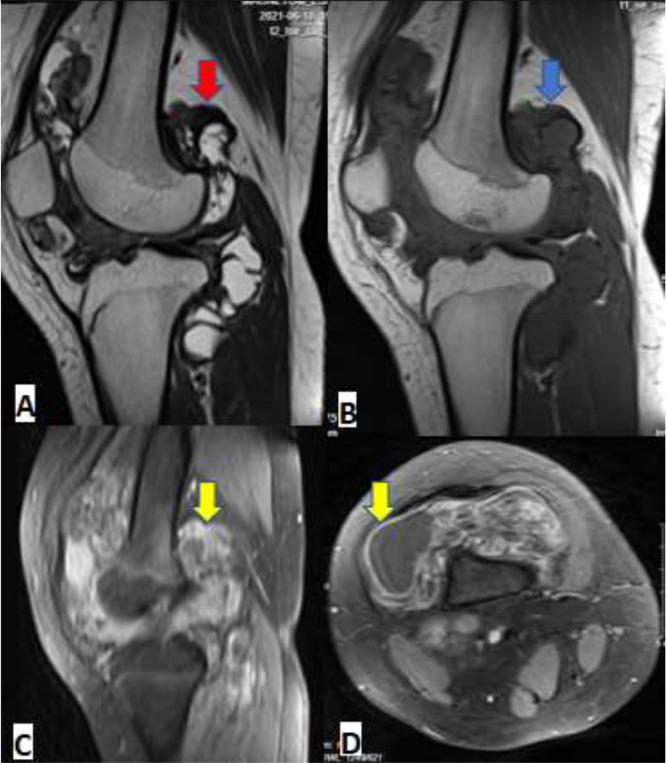
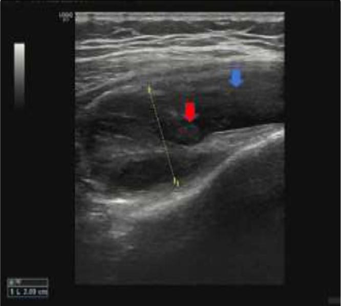
Pigmented villonodular synovitis is a rare proliferative process, especially in children. Pigmented villonodular synovitis can affect the synovial joint, tendon sheaths, and bursa membranes. Within synovial joint involvement, it is commonly seen in the knee joint but hip, ankle, shoulder, wrist, and other joints can be involved. The appearance characteristic is found on a magnetic resonance imaging scan. Complete excision and synovectomy are the usual treatment. In this article, we report a case of pigmented villonodular synovitis of the knee in a 12- year-old girl who underwent total synovectomy after the diagnosis was confirmed by biopsy. Three years after surgery, neither recurrence nor joint degeneration was found. The osteochondral defect at the tibial plateau was filled with calcium phosphate bone paste.

摘要

色素沉着绒毛结节性滑膜炎是一种罕见的增殖性病变,在儿童中尤为少见。色素沉着绒毛结节性滑膜炎可累及滑膜关节、腱鞘和滑囊。在滑膜关节受累的情况下,常见于膝关节,但髋关节、踝关节、肩关节、腕关节和其他关节也可受累。其外观特征可通过磁共振成像扫描发现。完整切除和滑膜切除术是常用的治疗方法。在本文中,我们报告了一例12岁女孩膝关节色素沉着绒毛结节性滑膜炎的病例,该女孩在活检确诊后接受了全滑膜切除术。术后三年,未发现复发及关节退变。胫骨平台的骨软骨缺损用磷酸钙骨糊填充。

https://cdn.ncbi.nlm.nih.gov/pmc/blobs/a82e/8965772/3cecf5d82d70/gr1.jpg

文献检索

告别复杂PubMed语法,用中文像聊天一样搜索,搜遍4000万医学文献。AI智能推荐,让科研检索更轻松。

立即免费搜索

文件翻译

保留排版,准确专业,支持PDF/Word/PPT等文件格式,支持 12+语言互译。

免费翻译文档

深度研究

AI帮你快速写综述,25分钟生成高质量综述,智能提取关键信息,辅助科研写作。

立即免费体验