Suppr超能文献

组织学上良性的转移性腱鞘巨细胞瘤酷似转移性恶性肿瘤:一例报告并文献复习

Histologically benign metastasizing tenosynovial giant cell tumor mimicking metastatic malignancy: A case report and review of literature.

作者信息

Chen Eric L, de Castro Carlos Manuel, Hendzel Kevin D, Iwaz Suzanne, Kim Michael A, Valeshabad Ali Kord, Shokouh-Amiri Mohammad, Xie Karen L

机构信息

University of Illinois College of Medicine, 1740 W. Taylor St., MC 931, Chicago, IL, 60612, USA.

出版信息

Radiol Case Rep. 2019 May 24;14(8):934-940. doi: 10.1016/j.radcr.2019.05.013. eCollection 2019 Aug.

Abstract

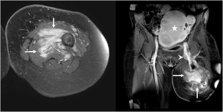
Diffuse-type tenosynovial giant cell tumor (D-TGCT), otherwise known as pigmented villonodular synovitis, is a locally aggressive tumor which can show multiple recurrences but is rarely associated with metastasis. A handful of studies have elucidated the imaging features and clinical course in metastatic D-TGCT with malignant transformation on histology. However, only 5 cases of metastatic D-TGCT with benign histological features have been reported in the literature, with the clinical course and prognosis reported in only 1 case. Therefore, relatively little is known about the implications of histologically benign metastasis on the role of imaging, management, and clinical outcomes. We report a case of a 51-year-old female with recurrent D-TGCT localized to the knee that metastasized to the lymph nodes and soft tissue 3 years after above-the-knee amputation and 16 years after initial diagnosis of localized D-TGCT, despite benign histologic features on lymph node excision. This case highlights the necessity of timely MRI imaging to prevent delayed diagnosis, the role of histological findings on treatment response, and clinical outcomes associated with metastasized D-TGCT.

摘要

弥漫型腱鞘巨细胞瘤(D-TGCT),又称色素沉着绒毛结节性滑膜炎,是一种具有局部侵袭性的肿瘤,可多次复发,但很少发生转移。少数研究阐述了组织学上发生恶性转化的转移性D-TGCT的影像学特征和临床病程。然而,文献中仅报道了5例组织学特征为良性的转移性D-TGCT,其中仅1例报道了临床病程和预后。因此,对于组织学上良性转移对影像学作用、治疗及临床结局的影响,人们了解相对较少。我们报告了一例51岁女性,患有复发性D-TGCT,病变局限于膝关节,在膝上截肢3年后及初次诊断局限性D-TGCT 16年后转移至淋巴结和软组织,尽管淋巴结切除的组织学特征为良性。该病例强调了及时进行MRI成像以防止延迟诊断的必要性、组织学结果对治疗反应的作用以及与转移性D-TGCT相关的临床结局。

https://cdn.ncbi.nlm.nih.gov/pmc/blobs/3b42/6542375/93d616c31931/gr1.jpg

文献AI研究员

20分钟写一篇综述,助力文献阅读效率提升50倍。

立即体验

用中文搜PubMed

大模型驱动的PubMed中文搜索引擎

马上搜索

文档翻译

学术文献翻译模型,支持多种主流文档格式。

立即体验