Suppr超能文献

血清血管生成素样蛋白 4:预测胆管癌患者血管侵犯和淋巴结转移的潜在预后生物标志物。

Serum Angiopoietin-Like Protein 4: A Potential Prognostic Biomarker for Prediction of Vascular Invasion and Lymph Node Metastasis in Cholangiocarcinoma Patients.

机构信息

Faculty of Associated Medical Sciences, Centre of Research and Development of Medical Diagnostic Laboratories (CMDL), Khon Kaen University, Khon Kaen, Thailand.

Cholangiocarcinoma Research Institute, Khon Kaen University, Khon Kaen, Thailand.

出版信息

Front Public Health. 2022 Mar 22;10:836985. doi: 10.3389/fpubh.2022.836985. eCollection 2022.

Abstract

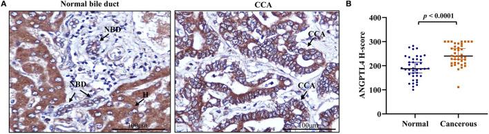
Cholangiocarcinoma (CCA) is a tumor arising from cholangiocytes lining the bile ducts. Vascular invasion and lymph node metastasis are important prognostic factors for disease staging as well as clinical therapeutic decisions for CCA patients. In the present study, we applied CCA sera proteomic analysis to identify a potential biomarker for prognosis of CCA patients. Then, using bioinformatics tools, we identified angiopoietin-like protein 4 (ANGPTL4) which expressed highest signal intensity among candidate proteins in proteomic analysis of CCA sera. Expression of ANGPTL4 in CCA tissues was determined using immunohistochemistry. The results showed that ANGPTL4 was stained at higher level in CCA cells when compared with normal cholangiocytes. The high expression of ANGPTL4 was associated with lymph node metastasis and advanced tumor stage ( = 0.013 and = 0.031, respectively). Furthermore, serum ANGPTL4 levels in CCA and healthy control (HC) were analyzed using a dot blot assay. And it was found that ANGPTL4 level was significantly higher in CCA than HC group ( < 0.0001). ROC curve analysis revealed that serum ANGPTL4 level was effectively distinguished CCA from healthy patients (cutoff = 0.2697 arbitrary unit (AU), 80.0% sensitivity, 72.7% specificity, AUC = 0.825, < 0.0001). Serum ANGPTL4 level was associated with vascular invasion and lymph node metastasis ( = 0.0004 and = 0.006), so that it differentiated CCA with vascular invasion from CCA without vascular invasion (cutoff = 0.5526 AU, 64.9% sensitivity, 92.9% specificity, AUC = 0.751, = 0.006) and it corresponded to CCA with/without lymph node metastasis (cutoff = 0.5399 AU, 71.4% sensitivity, 70.8% specificity, AUC = 0.691, = 0.01) by ROC analysis. Serum ANGPTL4 levels showed superior predictive efficiency compared with CA 19-9 and CEA for vascular invasion and lymph node metastasis. In addition, serum ANGPTL4 level was an independent predictive indicator by multivariate regression analysis. In conclusion, serum ANGPTL4 could be a novel prognostic biomarker for prediction of vascular invasion and lymph node metastasis of CCA patients.

摘要

胆管癌(CCA)是一种来源于胆管上皮细胞的肿瘤。血管侵犯和淋巴结转移是疾病分期以及 CCA 患者临床治疗决策的重要预后因素。在本研究中,我们应用 CCA 血清蛋白质组学分析来鉴定 CCA 患者预后的潜在生物标志物。然后,使用生物信息学工具,我们在 CCA 血清蛋白质组分析中确定了候选蛋白中信号强度最高的血管生成素样蛋白 4(ANGPTL4)。使用免疫组织化学法检测 CCA 组织中 ANGPTL4 的表达。结果表明,与正常胆管细胞相比,CCA 细胞中 ANGPTL4 的染色水平较高。ANGPTL4 的高表达与淋巴结转移和肿瘤晚期相关(=0.013 和=0.031)。此外,使用斑点印迹法分析 CCA 和健康对照(HC)患者的血清 ANGPTL4 水平。结果发现,CCA 组的 ANGPTL4 水平明显高于 HC 组(<0.0001)。ROC 曲线分析表明,血清 ANGPTL4 水平可有效区分 CCA 患者和健康患者(截断值=0.2697 个任意单位(AU),80.0%的敏感性,72.7%的特异性,AUC=0.825,<0.0001)。血清 ANGPTL4 水平与血管侵犯和淋巴结转移相关(=0.0004 和=0.006),因此可区分有血管侵犯的 CCA 与无血管侵犯的 CCA(截断值=0.5526 AU,64.9%的敏感性,92.9%的特异性,AUC=0.751,=0.006),也可对应有/无淋巴结转移的 CCA(截断值=0.5399 AU,71.4%的敏感性,70.8%的特异性,AUC=0.691,=0.01)。与 CA19-9 和 CEA 相比,血清 ANGPTL4 水平对血管侵犯和淋巴结转移具有更高的预测效率。此外,血清 ANGPTL4 水平是多变量回归分析的独立预测指标。综上所述,血清 ANGPTL4 可能是预测 CCA 患者血管侵犯和淋巴结转移的新型预后生物标志物。

https://cdn.ncbi.nlm.nih.gov/pmc/blobs/2000/8980351/6a3e76b7cf6c/fpubh-10-836985-g0001.jpg

文献AI研究员

20分钟写一篇综述,助力文献阅读效率提升50倍。

立即体验

用中文搜PubMed

大模型驱动的PubMed中文搜索引擎

马上搜索

文档翻译

学术文献翻译模型,支持多种主流文档格式。

立即体验