Suppr超能文献

干扰电流对腹部深层肌肉厚度的影响。

Effect of interferential current on deep abdominal muscle thickness.

作者信息

Endo Ayumu, Yakabi Akihiro, Kubo Akira

机构信息

Department of Rehabilitation, Shioya Hospital, International University of Health and Welfare, Japan.

Department of Physical Therapy, School of Health Sciences, International University of Health and Welfare: 2600-1 Kitakanemaru, Ohtawara, Tochigi 324-8501, Japan.

出版信息

J Phys Ther Sci. 2022 Apr;34(4):306-310. doi: 10.1589/jpts.34.306. Epub 2022 Apr 8.

Abstract

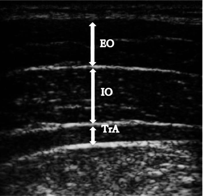
[Purpose] We aimed to investigate the effects of various modulated interferential currents on deep abdominal muscle thicknesses of healthy participants using ultrasound imaging. [Participants and Methods] We recruited twenty-two healthy male participants for this study. We compared the rate of change in muscle thickness of the abdominal muscles under different stimulation interferential current conditions. [Results] The change in interclass correlation coefficient of muscle thickness for each electrical stimulation by attached electrode altering was 0.738-0.998, indicating normal to good reliability. The rate of change for all muscle thicknesses under interferential current at 2.5 kHz and 20 Hz was significantly greater than that under the other conditions. [Conclusion] An interferential current at 2.5 kHz and 20 Hz is a feasible and reproducible way to train the abdominal muscles.

摘要

[目的]我们旨在通过超声成像研究不同调制干扰电流对健康参与者腹部深层肌肉厚度的影响。[参与者与方法]本研究招募了22名健康男性参与者。我们比较了不同刺激干扰电流条件下腹部肌肉厚度的变化率。[结果]通过附着电极改变进行的每次电刺激下肌肉厚度的组内相关系数变化为0.738 - 0.998,表明可靠性从正常到良好。2.5kHz和20Hz干扰电流下所有肌肉厚度的变化率显著大于其他条件下的变化率。[结论]2.5kHz和20Hz的干扰电流是训练腹部肌肉的一种可行且可重复的方法。

https://cdn.ncbi.nlm.nih.gov/pmc/blobs/42fa/8989490/1cb107b67301/jpts-34-306-g001.jpg

文献检索

告别复杂PubMed语法,用中文像聊天一样搜索,搜遍4000万医学文献。AI智能推荐,让科研检索更轻松。

立即免费搜索

文件翻译

保留排版,准确专业,支持PDF/Word/PPT等文件格式,支持 12+语言互译。

免费翻译文档

深度研究

AI帮你快速写综述,25分钟生成高质量综述,智能提取关键信息,辅助科研写作。

立即免费体验