Suppr超能文献

新型冠状病毒肺炎所致急性呼吸窘迫综合征后的喉气管狭窄:临床表现、组织病理学发现及处理。12例系列报道

Laryngotracheal Stenoses Post-Acute Respiratory Distress Syndrome due to COVID-19: Clinical Presentation, Histopathological Findings and Management. A Series of 12 Cases.

作者信息

Tintinago Luis Fernando, Victoria William, Escobar Stein Juliana, Gonzales Luis Fernando, Fernandez Maria Isabel, Candelo Estephania

机构信息

Head and Neck and Airway Surgery Department, Fundacion Valle del Lili, Cali, Colombia.

Pathology Department, Fundacion Valle del Lili, Cali, Colombia.

出版信息

Indian J Otolaryngol Head Neck Surg. 2022 Oct;74(Suppl 2):3262-3267. doi: 10.1007/s12070-022-03076-3. Epub 2022 Apr 6.

Abstract

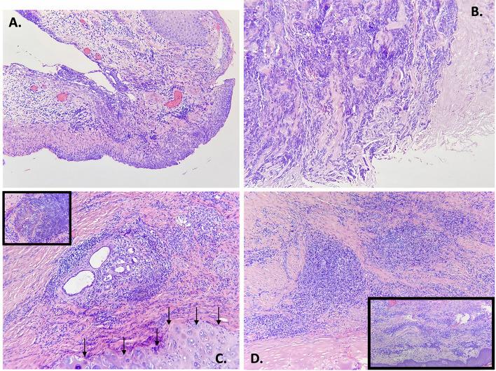
Coronavirus disease 2019 (COVID-19) has increased the risk of developing severe acute respiratory distress syndrome and subsequent moderate to severe laryngotracheal stenoses (LSTs) with an early presentation that occurs between two and three months after SARS-CoV-2 infection. We present a series of 12 cases of LST following SARS-CoV-2 infection. Dense lymphocyte infiltration with multinuclear giant cell granulomas was found on biopsy with intranuclear inclusions, suggestive of viral cytopathic effects in one case and intravascular fibrin thrombi with perivascular mononuclear infiltrate of CD3 + T lymphocytes. We present the largest and only series that describes clinical and histopathological characteristics of LTS and the management and outcomes after early laryngotracheal reconstruction in the context of the SARS-CoV-2 outbreak.

摘要

2019年冠状病毒病(COVID-19)增加了发生严重急性呼吸窘迫综合征以及随后出现中度至重度喉气管狭窄(LTS)的风险,其早期表现出现在严重急性呼吸综合征冠状病毒2(SARS-CoV-2)感染后的两到三个月之间。我们报告了一系列12例SARS-CoV-2感染后发生LTS的病例。活检发现有密集的淋巴细胞浸润和多核巨细胞肉芽肿,其中1例有核内包涵体,提示病毒细胞病变效应,还有血管内纤维蛋白血栓以及血管周围CD3 + T淋巴细胞单核浸润。我们报告了规模最大且唯一的系列病例,描述了LTS的临床和组织病理学特征以及在SARS-CoV-2疫情背景下早期喉气管重建后的管理和结果。

https://cdn.ncbi.nlm.nih.gov/pmc/blobs/6bfd/9701949/c7eab8fcde61/12070_2022_3076_Fig1_HTML.jpg

文献AI研究员

20分钟写一篇综述,助力文献阅读效率提升50倍。

立即体验

用中文搜PubMed

大模型驱动的PubMed中文搜索引擎

马上搜索

文档翻译

学术文献翻译模型,支持多种主流文档格式。

立即体验