Department of Cardiovascular and Thoracic Surgery, Sanjay Gandhi Postgraduate Institute of Medical Sciences, Lucknow, Uttar Pradesh, India.
Department of Nuclear Medicine, Sanjay Gandhi Postgraduate Institute of Medical Sciences, Lucknow, Uttar Pradesh, India.
Ann Card Anaesth. 2022 Apr-Jun;25(2):164-170. doi: 10.4103/aca.aca_22_21.
Pulmonary regurgitation is imminent after transannular patch (TAP). We analyze the long-term performance of untreated autologous pericardium (UAP) as valve substitute at pulmonary position in patients requiring TAP.
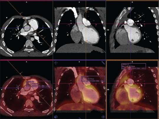
This cross-sectional study include patients operated between 2007 and 2012 (n = 92). A sample of 19 patients was selected for this study which had a follow-up of more than 3 years. This includes patients with no TAP (n = 4) and with TAP and valve substitute, a monocusp (n = 11) or a tricuspid valve (n = 4) at neopulmonary annulus. Patients underwent echocardiography for assessment of right ventricle function and 18 fluoro-deoxyglucose PET CT scan for measurements of valve substitute at neopulmonary annulus. The target to blood ratio (TBR) of uptake of glucose by monocusp was measured at the cooptation edge of the neopulmonary valve.
The median age of the patients is 14 (9 - 37). RV function is preserved (TAPSE 18.9 (10.6 - 22.8)) at a mean follow-up of 4 years (3-9). The measurements of monocusp shows a shrinkage in height of the cusp by 35.5% (70% - 1.0%) and length by 7% (-44% - +104%). There was less shrinkage observed in patients below 15 years of age. The TBR of monocusp was 0.945 (0.17 - 3.35) with a strong correlation between the TBR values of aortic valve leaflet and monocusp leaflet of same patient.
The UAP is functional and successful as a valve substitute at neo pulmonary annulus at long-term follow-up. It has resisted calcification and has shown uptake of glucose in physiological limits.
跨环补片(TAP)后会立即出现肺动脉瓣反流。我们分析了在需要 TAP 的患者中,未处理的自体心包(UAP)作为肺瓣替代物在肺动脉位置的长期表现。
这项回顾性研究纳入了 2007 年至 2012 年间接受手术的患者(n=92)。选择了 19 名随访时间超过 3 年的患者进行本研究。这包括未行 TAP(n=4)和行 TAP 及瓣叶替代物的患者,瓣叶替代物为单瓣叶(n=11)或三尖瓣(n=4)于新肺动脉瓣环。所有患者均行超声心动图检查评估右心室功能,并进行 18 氟-脱氧葡萄糖 PET CT 扫描测量新肺动脉瓣环处瓣叶替代物的葡萄糖摄取量。在新肺动脉瓣的瓣叶交界区测量单瓣叶葡萄糖摄取的靶/血比值(TBR)。
患者的中位年龄为 14 岁(9-37 岁)。在平均 4 年(3-9 年)的随访中,右心室功能保持正常(TAPSE 18.9(10.6-22.8))。单瓣叶的测量结果显示瓣叶高度缩小了 35.5%(70%-1.0%),长度缩小了 7%(-44%-+104%)。年龄小于 15 岁的患者瓣叶缩小程度较轻。单瓣叶的 TBR 为 0.945(0.17-3.35),同一患者的主动脉瓣叶和单瓣叶的 TBR 值之间存在强相关性。
UAP 作为新肺动脉瓣环的瓣叶替代物,在长期随访中具有良好的功能和效果。它已经抵抗了钙化,并显示出在生理范围内的葡萄糖摄取。