• 文献检索
  • 文档翻译
  • 深度研究
  • 学术资讯
  • Suppr Zotero 插件Zotero 插件
  • 邀请有礼
  • 套餐&价格
  • 历史记录
应用&插件
Suppr Zotero 插件Zotero 插件浏览器插件Mac 客户端Windows 客户端微信小程序
定价
高级版会员购买积分包购买API积分包
服务
文献检索文档翻译深度研究API 文档MCP 服务
关于我们
关于 Suppr公司介绍联系我们用户协议隐私条款
关注我们

Suppr 超能文献

核心技术专利:CN118964589B侵权必究
粤ICP备2023148730 号-1Suppr @ 2026

文献检索

告别复杂PubMed语法,用中文像聊天一样搜索,搜遍4000万医学文献。AI智能推荐,让科研检索更轻松。

立即免费搜索

文件翻译

保留排版,准确专业,支持PDF/Word/PPT等文件格式,支持 12+语言互译。

免费翻译文档

深度研究

AI帮你快速写综述,25分钟生成高质量综述,智能提取关键信息,辅助科研写作。

立即免费体验

机器人辅助达芬奇 X 肠系膜下动脉结扎治疗 II 型内漏后吲哚菁绿结肠灌注演示。

Indocyanine green colonic perfusion demonstration following robotic da Vinci X inferior mesenteric artery ligation for the treatment of type II endoleak.

机构信息

Royal Blackburn Hospital, East Lancashire Hospitals NHS Trust, Blackburn, UK.

Lancaster Medical School, Furness College, Lancaster University, Lancaster, UK.

出版信息

Int J Med Robot. 2022 Aug;18(4):e2407. doi: 10.1002/rcs.2407. Epub 2022 Apr 23.

DOI:10.1002/rcs.2407
PMID:35441796
原文链接:https://pmc.ncbi.nlm.nih.gov/articles/PMC9541556/
Abstract

BACKGROUND

We describe the technical operative details of the robotic repair of a type II endoleak (T2E) following endovascular abdominal aortic aneurysm repair (EVAR). We demonstrate that indocyanine green (ICG) can be used intra-operatively to demonstrate perfusion of the colon following ligation of the inferior mesenteric artery (IMA) vessel feeding the aneurysm sac.

METHODS

A 74-year old male underwent EVAR for a 5.8 cm infra-renal abdominal aortic aneurysm using an E-Tegra, Jotec Device (JOTEC Gmb, Lotzenäcker 23,D-72379 Hechingen). Surveillance contrast CT (CTA) over the ensuing 30 months confirmed progressive sac expansion.

RESULTS

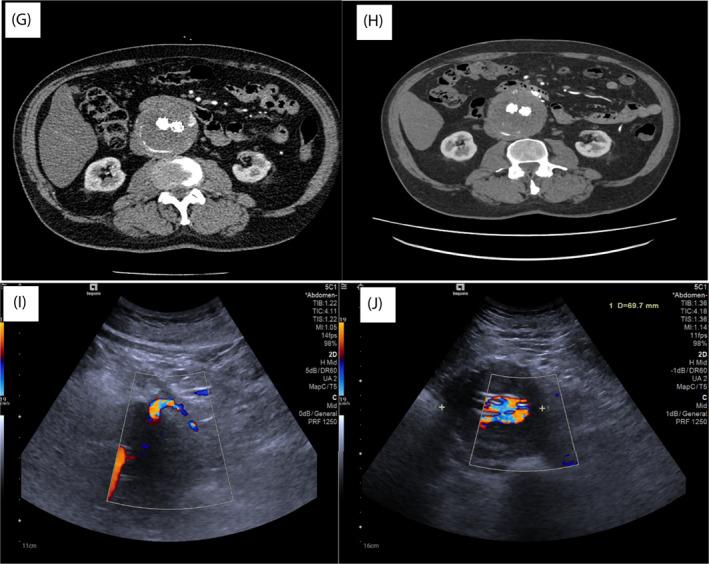
ICG confirmed colonic perfusion via the marginals after IMA ligation. Total operative time 56 min < 50 mls blood loss and 1-day hospital stay. 3-month follow-up: CTA and ultrasound demonstrated complete resolution of T2E and adequately perfused colon.

CONCLUSION

A total robotic approach can be performed safely with intra-operative ICG used to demonstrate colonic perfusion as an added safety measure.

摘要

背景

我们描述了机器人修复血管内腹主动脉瘤修复(EVAR)后 II 型内漏(T2E)的技术操作细节。我们证明,吲哚菁绿(ICG)可在术中用于证明结扎供应动脉瘤囊的肠系膜下动脉(IMA)血管后结肠的灌注。

方法

一名 74 岁男性因 5.8cm 肾下型腹主动脉瘤接受 EVAR 治疗,使用 E-Tegra,Jotec 器械(JOTEC Gmb,Lotzenäcker 23,D-72379 Hechingen)。随后的 30 个月的监测对比 CT(CTA)证实了囊的进行性扩张。

结果

IMA 结扎后,ICG 通过边缘确认了结肠的灌注。总手术时间 56 分钟<50ml 失血量和 1 天住院时间。3 个月随访:CTA 和超声显示 T2E 完全缓解,结肠灌注充足。

结论

可以安全地进行全机器人方法,并使用术中 ICG 来证明结肠灌注作为附加的安全措施。

https://cdn.ncbi.nlm.nih.gov/pmc/blobs/419c/9541556/213fc4a81a7e/RCS-18-e2407-g003.jpg
https://cdn.ncbi.nlm.nih.gov/pmc/blobs/419c/9541556/89411020c2c6/RCS-18-e2407-g001.jpg
https://cdn.ncbi.nlm.nih.gov/pmc/blobs/419c/9541556/9d407263c496/RCS-18-e2407-g002.jpg
https://cdn.ncbi.nlm.nih.gov/pmc/blobs/419c/9541556/213fc4a81a7e/RCS-18-e2407-g003.jpg
https://cdn.ncbi.nlm.nih.gov/pmc/blobs/419c/9541556/89411020c2c6/RCS-18-e2407-g001.jpg
https://cdn.ncbi.nlm.nih.gov/pmc/blobs/419c/9541556/9d407263c496/RCS-18-e2407-g002.jpg
https://cdn.ncbi.nlm.nih.gov/pmc/blobs/419c/9541556/213fc4a81a7e/RCS-18-e2407-g003.jpg

相似文献

1
Indocyanine green colonic perfusion demonstration following robotic da Vinci X inferior mesenteric artery ligation for the treatment of type II endoleak.机器人辅助达芬奇 X 肠系膜下动脉结扎治疗 II 型内漏后吲哚菁绿结肠灌注演示。
Int J Med Robot. 2022 Aug;18(4):e2407. doi: 10.1002/rcs.2407. Epub 2022 Apr 23.
2
Laparoscopic Clipping of the Inferior Mesenteric Artery and Intraoperative Indocyanine Green Angiography for Type II Endoleak Following Endovascular Aneurysm Repair.腹腔镜下肠系膜下动脉夹闭术及术中吲哚菁绿血管造影术治疗血管内动脉瘤修复术后Ⅱ型内漏
J Laparoendosc Adv Surg Tech A. 2020 Apr;30(4):413-415. doi: 10.1089/lap.2019.0766. Epub 2020 Jan 28.
3
Technical details and preliminary results of a full robotic type II endoleak treatment with the da Vinci Xi.达芬奇 Xi 全机器人 II 型内漏治疗的技术细节和初步结果。
J Robot Surg. 2019 Jun;13(3):505-509. doi: 10.1007/s11701-019-00944-z. Epub 2019 Mar 4.
4
Systematic review of laparoscopic ligation of inferior mesenteric artery for the treatment of type II endoleak after endovascular aortic aneurysm repair.腹腔镜下肠系膜下动脉结扎术治疗血管腔内修复术后Ⅱ型内漏的系统评价
J Vasc Surg. 2017 Dec;66(6):1878-1884. doi: 10.1016/j.jvs.2017.07.066. Epub 2017 Aug 16.
5
Total robotic ligation of inferior mesenteric artery for type II endoleak after endovascular aneurysm repair.血管内动脉瘤修复术后Ⅱ型内漏的肠系膜下动脉全机器人结扎术。
Ann Vasc Surg. 2009 Mar;23(2):255.e19-21. doi: 10.1016/j.avsg.2008.02.019. Epub 2008 Apr 14.
6
Operative Treatment of Type 2 Endoleaks Involving the Inferior Mesenteric Artery.涉及肠系膜下动脉的2型内漏的手术治疗。
Ann Vasc Surg. 2017 Feb;39:48-55. doi: 10.1016/j.avsg.2016.07.072. Epub 2016 Nov 24.
7
The role of the inferior mesenteric artery in predicting secondary intervention for type II endoleak following endovascular aneurysm repair.肠系膜下动脉在预测血管内动脉瘤修复术后 II 型内漏的二次干预中的作用。
J Vasc Surg. 2019 Nov;70(5):1463-1468. doi: 10.1016/j.jvs.2019.01.090. Epub 2019 Jul 18.
8
Role of type II endoleak in sac regression after endovascular repair of infrarenal abdominal aortic aneurysms.Ⅱ型内漏在肾下腹主动脉瘤血管腔内修复术后瘤腔缩小中的作用。
J Vasc Surg. 2015 Apr;61(4):869-74. doi: 10.1016/j.jvs.2014.11.003. Epub 2015 Jan 15.
9
Outcomes of translumbar embolization of type II endoleaks following endovascular abdominal aortic aneurysm repair.经腹主动脉瘤修复术后 II 型内漏经腰椎栓塞的结果。
J Vasc Surg. 2021 Dec;74(6):1867-1873. doi: 10.1016/j.jvs.2021.06.030. Epub 2021 Jun 29.
10
Midterm Outcomes of Endovascular Abdominal Aortic Aneurysm Repair with Prevention of type 2 Endoleak by Intraoperative Aortic Side Branch Coil Embolization.术中主动脉分支 coil embolization 预防 2 型内漏的腹主动脉瘤腔内修复的中期结果。
Ann Vasc Surg. 2022 Jan;78:180-189. doi: 10.1016/j.avsg.2021.06.037. Epub 2021 Sep 17.

本文引用的文献

1
Laparoscopic Clipping of the Inferior Mesenteric Artery and Intraoperative Indocyanine Green Angiography for Type II Endoleak Following Endovascular Aneurysm Repair.腹腔镜下肠系膜下动脉夹闭术及术中吲哚菁绿血管造影术治疗血管内动脉瘤修复术后Ⅱ型内漏
J Laparoendosc Adv Surg Tech A. 2020 Apr;30(4):413-415. doi: 10.1089/lap.2019.0766. Epub 2020 Jan 28.
2
Technical details and preliminary results of a full robotic type II endoleak treatment with the da Vinci Xi.达芬奇 Xi 全机器人 II 型内漏治疗的技术细节和初步结果。
J Robot Surg. 2019 Jun;13(3):505-509. doi: 10.1007/s11701-019-00944-z. Epub 2019 Mar 4.
3
Indocyanine green-based fluorescence imaging in visceral and hepatobiliary and pancreatic surgery: State of the art and future directions.
基于吲哚菁绿的荧光成像在腹部和肝胆胰外科中的应用:现状与未来方向。
World J Gastroenterol. 2018 Jul 21;24(27):2921-2930. doi: 10.3748/wjg.v24.i27.2921.
4
Type II endoleaks: diagnosis and treatment algorithm.Ⅱ型内漏:诊断与治疗流程
Cardiovasc Diagn Ther. 2018 Apr;8(Suppl 1):S131-S137. doi: 10.21037/cdt.2017.08.06.
5
Prevalence and risk factors of type II endoleaks after endovascular aneurysm repair: A meta-analysis.血管内动脉瘤修复术后Ⅱ型内漏的患病率及危险因素:一项荟萃分析。
PLoS One. 2017 Feb 9;12(2):e0170600. doi: 10.1371/journal.pone.0170600. eCollection 2017.
6
Type II endoleak: conservative management is a safe strategy.II型内漏:保守治疗是一种安全的策略。
Eur J Vasc Endovasc Surg. 2014 Oct;48(4):391-9. doi: 10.1016/j.ejvs.2014.06.035. Epub 2014 Jul 17.
7
Current evidence is insufficient to define an optimal threshold for intervention in isolated type II endoleak after endovascular aneurysm repair.目前的证据不足以确定血管内动脉瘤修复术后孤立型 II 型内漏介入治疗的最佳阈值。
J Endovasc Ther. 2012 Apr;19(2):200-8. doi: 10.1583/11-3762R.1.
8
Management of abdominal aortic aneurysms clinical practice guidelines of the European society for vascular surgery.欧洲血管外科学会腹主动脉瘤临床实践指南
Eur J Vasc Endovasc Surg. 2011 Jan;41 Suppl 1:S1-S58. doi: 10.1016/j.ejvs.2010.09.011.
9
Total robotic ligation of inferior mesenteric artery for type II endoleak after endovascular aneurysm repair.血管内动脉瘤修复术后Ⅱ型内漏的肠系膜下动脉全机器人结扎术。
Ann Vasc Surg. 2009 Mar;23(2):255.e19-21. doi: 10.1016/j.avsg.2008.02.019. Epub 2008 Apr 14.
10
Laparoscopic repair of a type II endoleak.
J Laparoendosc Adv Surg Tech A. 2006 Jun;16(3):267-70. doi: 10.1089/lap.2006.16.267.