Suppr超能文献

全外显子组测序鉴定非梗阻性无精子症相关囊性肾细胞癌中的 VHL 突变(c.262T > C,p.Try88Arg)。

Whole-Exome Sequencing Identifies the VHL Mutation (c.262T > C, p.Try88Arg) in Non-Obstructive Azoospermia-Associated Cystic Renal Cell Carcinoma.

机构信息

Department of Occupational Health and Environmental Medicine, School of Public Health, Wuhan University of Science and Technology, Wuhan 430065, China.

Department of Urology, Medical School of Nanjing University Affiliated Jinling Hospital, Nanjing 210002, China.

出版信息

Curr Oncol. 2022 Mar 28;29(4):2376-2384. doi: 10.3390/curroncol29040192.

Abstract

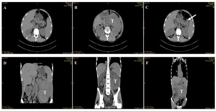
Von Hippel-Lindau (VHL) genes are intimately involved in renal cell carcinoma (RCC), including clear cell RCC (ccRCC) pathogenesis. However, the contribution of pathogenic VHL mutations to ccRCC remains poorly understood. We report a xanthoderm with non-obstructive azoospermia (NOA)-associated cystic ccRCC, and the missense VHL mutation (c.262T > C, p.Try88Arg). In a 34-year-old patient, a urologic physical examination identified hard epididymis, and imaging tests revealed deferens-associated NOA, as well as multi-organ hydatid cysts, including bilateral epididymal cysts, bilateral testicular cysts, bilateral renal cysts, and pancreatic cysts. Five years later, ccRCC was developed based on clinical and radiologic evidence. Two different prediction models of protein structure and multiple sequence alignment across species were applied to assess the pathological effects of the VHL mutation. The reliability of the assessment in silico was determined by both the cellular location and protein levels of the mutant products, using IF and Western blot, respectively. Our study shows that the missense VHL mutation (c.262T > C, p.Try88Arg) plays a deleterious role in pVHL functions, as predicted by multiple sequence alignment across species. While a structural analysis identified no significant structural alterations in pVHL, the detrimental effects of this mutation were determined by exogenous expression, evidenced by a markedly different spatial distribution and reduced expression of mutant pVHL. This is the first report of the VHL gene mutation (c.475T > C, p.Try88Arg) in a xanthoderm.

摘要

冯·希佩尔-林道(VHL)基因与肾细胞癌(RCC)密切相关,包括透明细胞 RCC(ccRCC)的发病机制。然而,致病性 VHL 突变对 ccRCC 的贡献仍知之甚少。我们报告了一例伴有非梗阻性无精子症(NOA)相关囊性 ccRCC 的黄瘤病,以及错义 VHL 突变(c.262T > C,p.Try88Arg)。在一名 34 岁的患者中,泌尿科体格检查发现硬附睾,影像学检查显示与输精管相关的 NOA,以及多器官包虫囊肿,包括双侧附睾囊肿、双侧睾丸囊肿、双侧肾囊肿和胰腺囊肿。五年后,根据临床和影像学证据诊断为 ccRCC。应用两种不同的蛋白质结构预测模型和跨物种多序列比对来评估 VHL 突变的病理影响。通过免疫荧光和 Western blot 分别评估突变产物的细胞定位和蛋白水平,确定了体外评估的可靠性。我们的研究表明,错义 VHL 突变(c.262T > C,p.Try88Arg)在跨物种多序列比对预测的 pVHL 功能中具有有害作用。虽然结构分析未发现 pVHL 结构发生显著改变,但通过外源性表达确定了该突变的有害影响,突变型 pVHL 的空间分布明显不同,表达水平降低。这是首例黄瘤病中 VHL 基因突变(c.475T > C,p.Try88Arg)的报道。

https://cdn.ncbi.nlm.nih.gov/pmc/blobs/619b/9030033/d64cbb3cc35f/curroncol-29-00192-g001.jpg

文献检索

告别复杂PubMed语法,用中文像聊天一样搜索,搜遍4000万医学文献。AI智能推荐,让科研检索更轻松。

立即免费搜索

文件翻译

保留排版,准确专业,支持PDF/Word/PPT等文件格式,支持 12+语言互译。

免费翻译文档

深度研究

AI帮你快速写综述,25分钟生成高质量综述,智能提取关键信息,辅助科研写作。

立即免费体验