• 文献检索
  • 文档翻译
  • 深度研究
  • 学术资讯
  • Suppr Zotero 插件Zotero 插件
  • 邀请有礼
  • 套餐&价格
  • 历史记录
应用&插件
Suppr Zotero 插件Zotero 插件浏览器插件Mac 客户端Windows 客户端微信小程序
定价
高级版会员购买积分包购买API积分包
服务
文献检索文档翻译深度研究API 文档MCP 服务
关于我们
关于 Suppr公司介绍联系我们用户协议隐私条款
关注我们

Suppr 超能文献

核心技术专利:CN118964589B侵权必究
粤ICP备2023148730 号-1Suppr @ 2026

文献检索

告别复杂PubMed语法,用中文像聊天一样搜索,搜遍4000万医学文献。AI智能推荐,让科研检索更轻松。

立即免费搜索

文件翻译

保留排版,准确专业,支持PDF/Word/PPT等文件格式,支持 12+语言互译。

免费翻译文档

深度研究

AI帮你快速写综述,25分钟生成高质量综述,智能提取关键信息,辅助科研写作。

立即免费体验

快速进展型可能散发性克雅氏病

Rapidly Progressive Probable Sporadic Creutzfeldt-Jakob Disease.

作者信息

Elziny Moustafa M, Elsaid Shaimaa S

机构信息

Department of Academic Internal Medicine and Geriatrics, University of Illinois at Chicago, Chicago, USA.

Department of Diagnostic and Interventional Radiology, National Cancer Institute, Cairo University, Cairo, EGY.

出版信息

Cureus. 2022 Mar 17;14(3):e23245. doi: 10.7759/cureus.23245. eCollection 2022 Mar.

DOI:10.7759/cureus.23245
PMID:35449632
原文链接:https://pmc.ncbi.nlm.nih.gov/articles/PMC9012942/
Abstract

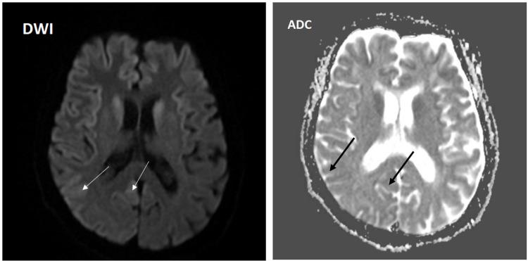
Creutzfeldt-Jakob disease (CJD) is a rare, fatal brain infection caused by a human prion. Because CJD is associated with rapidly progressive neurological degeneration, it requires high suspicion for diagnosis. We report the case of a 79-year-old patient who presented with a rapidly progressive neurological clinical picture. The patient had positive 14-3-3 proteins in cerebrospinal fluid, electroencephalography was significant for periodic discharges, and magnetic resonance imaging of the brain showed both diffusion restriction and increased fluid-attenuated inversion recovery signal in different cortical regions, consistent with probable sporadic CJD infection. The patient was enrolled under hospice and palliative care. The patient passed away two months after the onset of her symptoms. We discuss the probable sporadic CJD diagnostic criteria and possible risk factors that might have led to a faster progressive course.

摘要

克雅氏病(CJD)是一种由人类朊病毒引起的罕见致命性脑部感染。由于CJD与快速进展的神经退行性变有关,因此诊断时需要高度怀疑。我们报告了一例79岁患者,其临床表现为快速进展的神经系统症状。该患者脑脊液中14-3-3蛋白呈阳性,脑电图显示有周期性放电,脑部磁共振成像显示不同皮质区域既有弥散受限又有液体衰减反转恢复信号增强,符合可能的散发性CJD感染。该患者接受了临终关怀和姑息治疗。患者在症状出现两个月后去世。我们讨论了可能的散发性CJD诊断标准以及可能导致病程进展更快的危险因素。

https://cdn.ncbi.nlm.nih.gov/pmc/blobs/c0f7/9012942/84b8700e7872/cureus-0014-00000023245-i04.jpg
https://cdn.ncbi.nlm.nih.gov/pmc/blobs/c0f7/9012942/4429a8cc910a/cureus-0014-00000023245-i01.jpg
https://cdn.ncbi.nlm.nih.gov/pmc/blobs/c0f7/9012942/b257103dbec0/cureus-0014-00000023245-i02.jpg
https://cdn.ncbi.nlm.nih.gov/pmc/blobs/c0f7/9012942/d8b772824d7e/cureus-0014-00000023245-i03.jpg
https://cdn.ncbi.nlm.nih.gov/pmc/blobs/c0f7/9012942/84b8700e7872/cureus-0014-00000023245-i04.jpg
https://cdn.ncbi.nlm.nih.gov/pmc/blobs/c0f7/9012942/4429a8cc910a/cureus-0014-00000023245-i01.jpg
https://cdn.ncbi.nlm.nih.gov/pmc/blobs/c0f7/9012942/b257103dbec0/cureus-0014-00000023245-i02.jpg
https://cdn.ncbi.nlm.nih.gov/pmc/blobs/c0f7/9012942/d8b772824d7e/cureus-0014-00000023245-i03.jpg
https://cdn.ncbi.nlm.nih.gov/pmc/blobs/c0f7/9012942/84b8700e7872/cureus-0014-00000023245-i04.jpg

相似文献

1
Rapidly Progressive Probable Sporadic Creutzfeldt-Jakob Disease.快速进展型可能散发性克雅氏病
Cureus. 2022 Mar 17;14(3):e23245. doi: 10.7759/cureus.23245. eCollection 2022 Mar.
2
A Study of Clinical Profile, Radiological and Electroencephalographic Characteristics of Sporadic Creutzfeldt-Jakob Disease From a Tertiary Care Hospital.一家三级护理医院的散发性克雅氏病临床特征、放射学及脑电图特征研究
Cureus. 2023 Dec 5;15(12):e50008. doi: 10.7759/cureus.50008. eCollection 2023 Dec.
3
Young-onset sporadic Creutzfeldt-Jakob disease with atypical phenotypic features: a case report.具有非典型表型特征的青年型散发性克雅氏病:一例报告
J Med Case Rep. 2019 May 29;13(1):163. doi: 10.1186/s13256-019-2089-5.
4
Low mood, visual hallucinations, and falls - heralding the onset of rapidly progressive probable sporadic Creutzfeldt-Jakob disease in a 73-year old: a case report.情绪低落、视幻觉与跌倒——73岁患者快速进展型可能散发性克雅氏病发病的先兆:一例报告
J Med Case Rep. 2018 May 8;12(1):128. doi: 10.1186/s13256-018-1649-4.
5
The value of magnetic resonance imaging in the early diagnosis of Creutzfeldt-Jakob disease - own experience.磁共振成像在克雅氏病早期诊断中的价值——自身经验
Pol J Radiol. 2012 Jan;77(1):63-7. doi: 10.12659/pjr.882584.
6
Updated clinical diagnostic criteria for sporadic Creutzfeldt-Jakob disease.散发性 Creutzfeldt-Jakob 病的临床诊断标准更新版。
Brain. 2009 Oct;132(Pt 10):2659-68. doi: 10.1093/brain/awp191. Epub 2009 Sep 22.
7
Diagnostic approach in a patient with Creutzfeldt-Jakob disease.克雅氏病患者的诊断方法。
Dement Neuropsychol. 2022 Jul-Sep;16(3):361-364. doi: 10.1590/1980-5764-DN-2021-0110. Epub 2022 May 23.
8
Creutzfeldt-Jakob Disease Presenting as Posterior Reversible Encephalopathy Syndrome.表现为后部可逆性脑病综合征的克雅氏病
Cureus. 2020 Mar 8;12(3):e7211. doi: 10.7759/cureus.7211.
9
[Psychiatric manifestations of a new variant of Creutzfeldt-Jakob disease. Apropos of a case].[新型克雅氏病的精神症状。附病例报告]
Encephale. 2001 Mar-Apr;27(2):194-7.
10
Sporadic Creutzfeldt-Jakob disease presenting as epilepsia partialis continua and non-ictal nystagmus.散发型 Creutzfeldt-Jakob 病表现为部分连续性癫痫发作和非癫痫性眼球震颤。
Eur J Neurol. 2021 Jul;28(7):2456-2459. doi: 10.1111/ene.14847.

引用本文的文献

1
Rapid Neurological Decline in a Patient With Creutzfeldt-Jakob Disease: A Case Report.克雅氏病患者的快速神经功能衰退:一例报告
Cureus. 2025 Jul 14;17(7):e87930. doi: 10.7759/cureus.87930. eCollection 2025 Jul.
2
Creutzfeldt-Jakob disease presenting as psychiatric disorder: case presentation and systematic review.以精神障碍为表现的克雅氏病:病例报告及系统综述
Front Neurol. 2024 Aug 29;15:1428021. doi: 10.3389/fneur.2024.1428021. eCollection 2024.
3
Slow to Respond: A Rapidly Progressive Case of Sporadic Creutzfeldt-Jakob Disease.

本文引用的文献

1
Diagnostic value of diffusion-weighted brain magnetic resonance imaging in patients with sporadic Creutzfeldt-Jakob disease: a systematic review and meta-analysis.磁共振弥散加权成像对散发性克雅氏病的诊断价值:系统评价和荟萃分析。
Eur Radiol. 2021 Dec;31(12):9073-9085. doi: 10.1007/s00330-021-08031-4. Epub 2021 May 12.
2
Creutzfeldt-Jakob disease: a systematic review of global incidence, prevalence, infectivity, and incubation.克雅氏病:全球发病率、患病率、传染性和潜伏期的系统综述。
Lancet Infect Dis. 2020 Jan;20(1):e2-e10. doi: 10.1016/S1473-3099(19)30615-2.
3
Prion disease incidence in the United States: 2003-2015.
反应迟缓:一例散发性克雅氏病快速进展病例
Cureus. 2024 Feb 1;16(2):e53381. doi: 10.7759/cureus.53381. eCollection 2024 Feb.
美国朊病毒病发病率:2003-2015 年。
Neurology. 2020 Jan 14;94(2):e153-e157. doi: 10.1212/WNL.0000000000008680. Epub 2019 Nov 22.
4
Accuracy of diagnosis criteria in patients with suspected diagnosis of sporadic Creutzfeldt-Jakob disease and detection of 14-3-3 protein, France, 1992 to 2009.1992年至2009年法国疑似散发性克雅氏病患者诊断标准的准确性及14-3-3蛋白检测
Euro Surveill. 2017 Oct;22(41). doi: 10.2807/1560-7917.ES.2017.22.41.16-00715.
5
Prion Diseases.朊病毒疾病
Continuum (Minneap Minn). 2015 Dec;21(6 Neuroinfectious Disease):1612-38. doi: 10.1212/CON.0000000000000251.
6
Factors influencing the survival period in Japanese patients with sporadic Creutzfeldt-Jakob disease.影响日本散发性克雅氏病患者生存期的因素。
J Neurol Sci. 2015 Oct 15;357(1-2):63-8. doi: 10.1016/j.jns.2015.06.065. Epub 2015 Jun 30.
7
The prion diseases.朊病毒病。
J Geriatr Psychiatry Neurol. 2010 Dec;23(4):277-98. doi: 10.1177/0891988710383576. Epub 2010 Oct 11.
8
Brain biopsy in patients with suspected Creutzfeldt-Jakob disease.疑似克雅氏病患者的脑活检
J Neurosurg. 2008 Oct;109(4):735-41. doi: 10.3171/JNS/2008/109/10/0735.
9
Systematic review of therapeutic interventions in human prion disease.人类朊病毒病治疗干预措施的系统评价
Neurology. 2008 Apr 8;70(15):1272-81. doi: 10.1212/01.wnl.0000308955.25760.c2.
10
Determinants of diagnostic investigation sensitivities across the clinical spectrum of sporadic Creutzfeldt-Jakob disease.散发性克雅氏病临床谱中诊断性检查敏感性的决定因素。
Brain. 2006 Sep;129(Pt 9):2278-87. doi: 10.1093/brain/awl159. Epub 2006 Jul 1.