Suppr超能文献

以腹疝形式表现的破裂阑尾黏液囊肿:阑尾黏液囊肿罕见表现的病例报告

Ruptured Appendiceal Mucocele Presenting as a Ventral Hernia: A Case Report of a Rare Presentation of Appendiceal Mucocele.

作者信息

Meer Emtenen M, Khazindar Abdullah R

机构信息

Radiology, King Faisal Specialist Hospital and Research Centre, Jeddah, SAU.

Department of Radiology, College of Medicine, University of Jeddah, Jeddah, SAU.

出版信息

Cureus. 2022 Mar 18;14(3):e23304. doi: 10.7759/cureus.23304. eCollection 2022 Mar.

Abstract

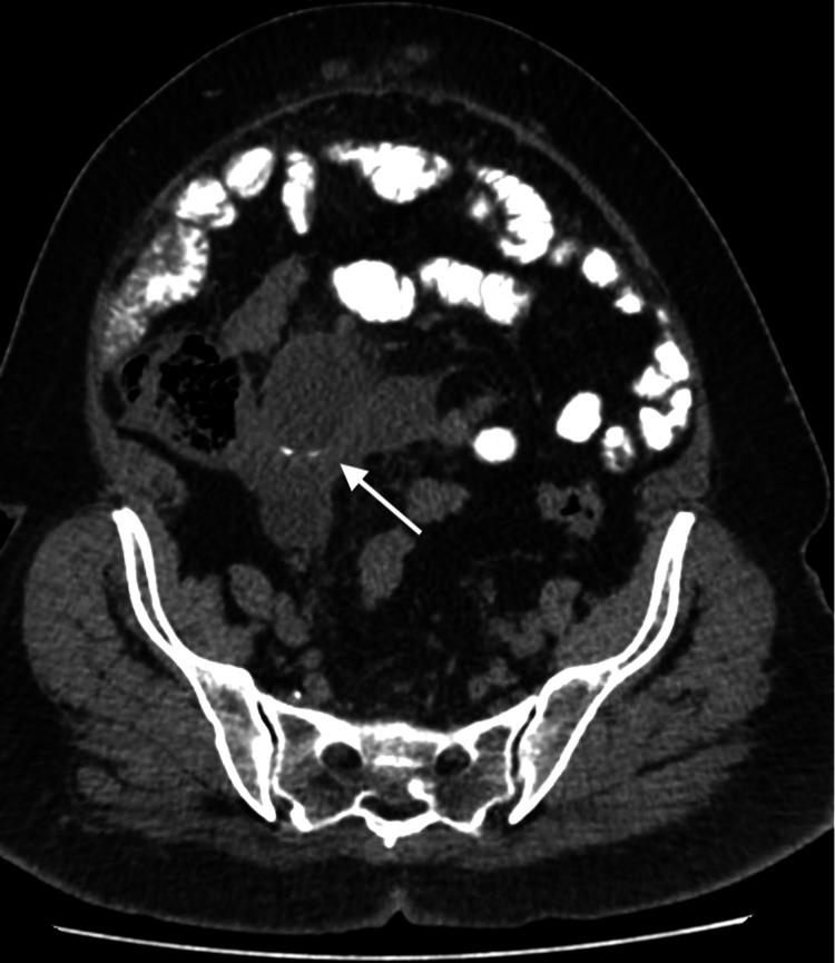
Mucocele of the appendix (MA) is a rare disease characterized by chronic accumulation of mucin within an appendix. Although MA can be an asymptomatic finding, some patients with MA may present with right lower quadrant (RLQ) pain, pelvic pain, or even hernias. The later presentation is usually related to rupture of the mucin-filled appendix, a condition referred to as pseudomyxoma peritonei (PMP). Herein, we present a case of ruptured MA presenting as an irreducible paraumbilical hernia, where the patient presented with a lump to the surgical clinic. computed tomography (CT) of the abdomen revealed an RLQ lesion extending through the hernial neck. Further characterization of the lesion was performed with magnetic resonance imaging (MRI), revealing an appendiceal origin of the lesion. The patient underwent an exploratory laparotomy during which an omental sample was taken. Histopathology confirmed the diagnosis of metastasizing low-grade appendiceal mucinous neoplasm. We believe that our case is unique due to the rarity of ruptured MA as well as the rarity of it presenting as a paraumbilical hernia.

摘要

阑尾黏液囊肿(MA)是一种罕见疾病,其特征为阑尾内黏液的慢性积聚。尽管MA可能是无症状表现,但一些MA患者可能出现右下腹(RLQ)疼痛、盆腔疼痛,甚至疝气。后期表现通常与充满黏液的阑尾破裂有关,这种情况称为腹膜假黏液瘤(PMP)。在此,我们报告一例破裂的MA表现为不可复性脐旁疝的病例,该患者因肿块到外科门诊就诊。腹部计算机断层扫描(CT)显示一个RLQ病变延伸至疝颈。通过磁共振成像(MRI)对病变进行进一步特征分析,显示病变起源于阑尾。患者接受了剖腹探查术,术中取了网膜样本。组织病理学证实为转移性低级别阑尾黏液性肿瘤。我们认为我们的病例很独特,因为破裂的MA罕见,且表现为脐旁疝也罕见。

https://cdn.ncbi.nlm.nih.gov/pmc/blobs/cb95/9013519/4af009addbd3/cureus-0014-00000023304-i01.jpg

文献检索

告别复杂PubMed语法,用中文像聊天一样搜索,搜遍4000万医学文献。AI智能推荐,让科研检索更轻松。

立即免费搜索

文件翻译

保留排版,准确专业,支持PDF/Word/PPT等文件格式,支持 12+语言互译。

免费翻译文档

深度研究

AI帮你快速写综述,25分钟生成高质量综述,智能提取关键信息,辅助科研写作。

立即免费体验