Suppr超能文献

爱泼斯坦-巴尔病毒相关噬血细胞性淋巴组织细胞增生症的血浆外泌体蛋白质组学模式

Plasma Exosomal Proteomic Pattern of Epstein-Barr Virus-Associated Hemophagocytic Lymphohistiocytosis.

作者信息

Xie Yan, Yang Li, Cao Pengfei, Li Shen, Zhang Wentao, Dang Wei, Xin Shuyu, Jiang Mingjuan, Xin Yujie, Li Jing, Long Sijing, Wang Yiwei, Zhang Senmiao, Yang Yang, Lu Jianhong

机构信息

Department of Hematology, Xiangya Hospital, Central South University, Changsha, China.

Department of Microbiology, School of Basic Medical Science, Central South University, Changsha, China.

出版信息

Front Microbiol. 2022 Apr 6;13:821311. doi: 10.3389/fmicb.2022.821311. eCollection 2022.

Abstract

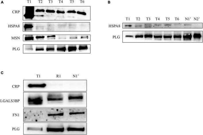
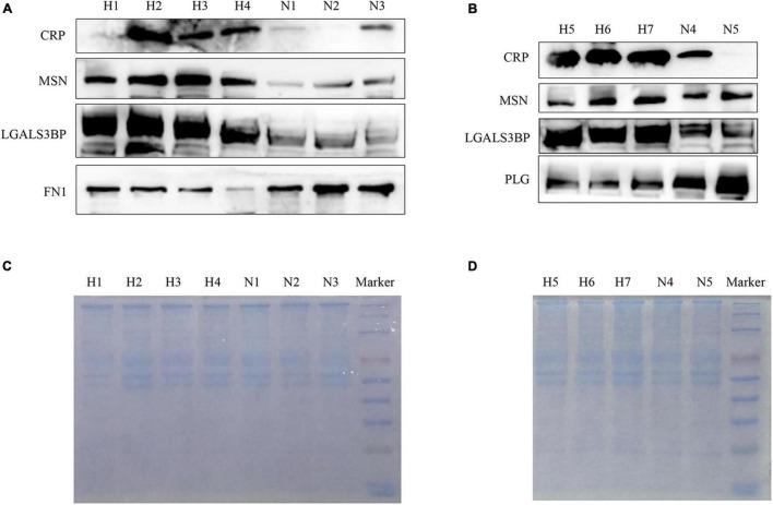
Epstein-Barr virus (EBV)-associated hemophagocytic lymphohistiocytosis (EBV-HLH) is a life-threatening syndrome, which is caused by EBV infection that is usually refractory to treatment and shows relapse. The development of new biomarkers for the early diagnosis and clinical treatment of EBV-HLH is urgently needed. Exosomes have been shown to mediate various biological processes and are ideal non-invasive biomarkers. Here, we present the differential plasma exosomal proteome of a patient with EBV-HLH before vs. during treatment and with that of his healthy twin brother. A tandem mass tag-labeled LC-MS technique was employed for proteomic detection. Gene Ontology and Kyoto Encyclopedia of Genes and Genomes analyses indicated that differential proteomic profiles were related to virus infection, coagulopathy, nervous system dysfunction, imbalance of immune response, and abnormal liver function. The candidate biomarkers were first identified in the patient's plasma exosomes at different treatment and follow-up time points. Then, 14 additional EBV-HLH exosome samples were used to verify six differentially expressed proteins. The upregulation of C-reactive protein, moesin, galectin three-binding protein, and heat shock cognate 71 kDa protein and the downregulation of plasminogen and fibronectin 1 could serve as potential biomarkers of EBV-HLH. This plasma exosomal proteomic analysis provides new insights into the diagnostic and therapeutic biomarkers of EBV-HLH.

摘要

爱泼斯坦-巴尔病毒(EBV)相关噬血细胞性淋巴组织细胞增生症(EBV-HLH)是一种危及生命的综合征,由EBV感染引起,通常治疗难治且易复发。迫切需要开发用于EBV-HLH早期诊断和临床治疗的新生物标志物。已证明外泌体可介导各种生物学过程,是理想的非侵入性生物标志物。在此,我们展示了一名EBV-HLH患者治疗前与治疗期间以及与其健康双胞胎兄弟的血浆外泌体蛋白质组差异。采用串联质量标签标记的液相色谱-质谱技术进行蛋白质组学检测。基因本体论和京都基因与基因组百科全书分析表明,差异蛋白质组谱与病毒感染、凝血病、神经系统功能障碍、免疫反应失衡和肝功能异常有关。候选生物标志物首先在患者不同治疗和随访时间点的血浆外泌体中被鉴定出来。然后,使用另外14个EBV-HLH外泌体样本验证6种差异表达蛋白。C反应蛋白、埃兹蛋白、半乳糖凝集素三结合蛋白和热休克同源71 kDa蛋白的上调以及纤溶酶原和纤连蛋白1的下调可作为EBV-HLH的潜在生物标志物。这种血浆外泌体蛋白质组学分析为EBV-HLH的诊断和治疗生物标志物提供了新的见解。

https://cdn.ncbi.nlm.nih.gov/pmc/blobs/8ca5/9019563/1ceef2457a6b/fmicb-13-821311-g001.jpg

文献AI研究员

20分钟写一篇综述,助力文献阅读效率提升50倍。

立即体验

用中文搜PubMed

大模型驱动的PubMed中文搜索引擎

马上搜索

文档翻译

学术文献翻译模型,支持多种主流文档格式。

立即体验