Suppr超能文献

儿童激素抵抗型肾病综合征的病理与演变相关性

Pathological and Evolutive Correlations in Steroid Resistant Nephrotic Syndrome in Children.

作者信息

Starcea Iuliana Magdalena, Bogos Roxana Alexandra, Scurtu Georgiana, Munteanu Mihaela, Russu Radu, Lupu Vasile Valeriu, Lupu Ancuta, Trandafir Laura, Miron Ingrith Crenguta, Mocanu Maria Adriana

机构信息

Pediatrics Department, "Grigore T. Popa" University of Medicine and Pharmacy, Iasi, Romania.

Nephrology Division, St. Mary's Emergency Children Hospital, Iasi, Romania.

出版信息

Int J Gen Med. 2022 Apr 19;15:4187-4193. doi: 10.2147/IJGM.S348346. eCollection 2022.

Abstract

BACKGROUND

Nephrotic syndrome (NS) is the term used for the association of edema and massive proteinuria. From a therapeutic point of view, it is important to distinguish between primitive and secondary kidney damage. The clinical evolution, prognosis and therapeutic response in the NS in children are directly determined by the anatomopathological aspect. Steroid resistant nephrotic syndrome was diagnosed in patients with idiopathic NS based on lack of complete remission despite treatment with steroids.

PURPOSE

To analyse the anatomopathological aspects of steroid resistant nephrotic syndrome (SRNS) and their correlation with evolution.

MATERIALS AND METHODS

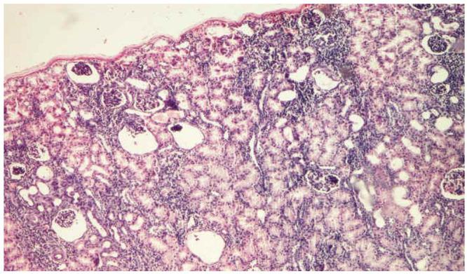
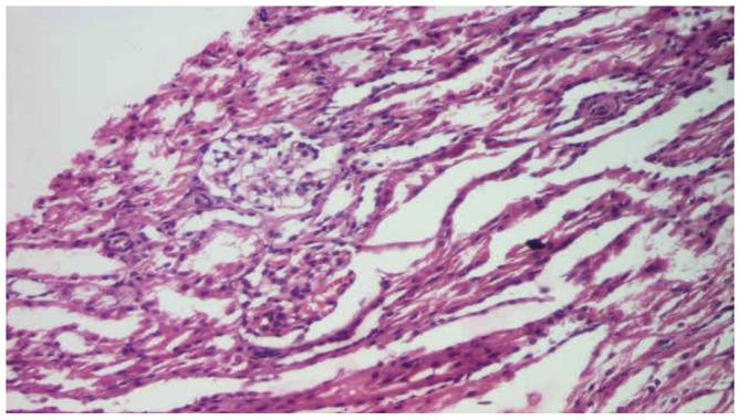
We made a retrospective study with the aim to analyze the anatomo-pathological aspects and their correlations with evolution in 68 cases of steroid resistant nephrotic syndrome (SRNS) hospitalized in the Pediatric Nephrology Department in Iaşi, Romania. We defined SRNS in all cases without response to corticosteroids after the first month of therapy. For all the cases selected, the period of follow-up was the minimal 6 months.

RESULTS AND DISCUSSIONS

A 36% case of nephrotic syndrome was corticoresistant, with the mean age at onset of patients with SRNS being 9.18 years, compared to KDIGO studies in which the corticosteroid resistance is 10-20%. Renal biopsy was performed in 80.88% children with SRNS and was allowed the evaluation of the activity and chronicity index. Total remission was obtained in 44.01% children with SRNS. The correlation of the anatomopathological aspects with the evolution is not statistically significant (p = 0.76), observing different therapeutic responses to all the analyzed histological types.

CONCLUSION

Almost half of NS in children are cortico resistant. Remission was obtained in 44% of cases of SRNS. Predicting the response to long-term treatment in SRNS is difficult using only renal biopsy; it is necessary to introduce genetic molecular analyses to establish a judicious therapeutic attitude.

摘要

背景

肾病综合征(NS)是用于描述水肿和大量蛋白尿并存情况的术语。从治疗角度来看,区分原发性和继发性肾损伤很重要。儿童肾病综合征的临床病程、预后及治疗反应直接由解剖病理学特征决定。特发性肾病综合征患者若经类固醇治疗后仍未完全缓解,则被诊断为类固醇抵抗型肾病综合征。

目的

分析类固醇抵抗型肾病综合征(SRNS)的解剖病理学特征及其与病情发展的相关性。

材料与方法

我们进行了一项回顾性研究,旨在分析罗马尼亚雅西市儿科肾脏病科收治的68例类固醇抵抗型肾病综合征(SRNS)患者的解剖病理学特征及其与病情发展的相关性。我们将所有治疗第一个月后对皮质类固醇无反应的病例定义为SRNS。对于所有选定病例,随访期最短为6个月。

结果与讨论

36%的肾病综合征病例为皮质类固醇抵抗型,SRNS患者的平均发病年龄为9.18岁,而KDIGO研究中的皮质类固醇抵抗率为10 - 20%。80.88%的SRNS患儿进行了肾活检,从而能够评估活动度和慢性指数。44.01%的SRNS患儿实现了完全缓解。解剖病理学特征与病情发展的相关性无统计学意义(p = 0.76),对所有分析的组织学类型观察到不同的治疗反应。

结论

儿童肾病综合征近半数为皮质类固醇抵抗型。44%的SRNS病例实现了缓解。仅通过肾活检难以预测SRNS对长期治疗的反应;有必要引入基因分子分析以确立明智的治疗策略。

https://cdn.ncbi.nlm.nih.gov/pmc/blobs/aa82/9034867/1d38575a68fa/IJGM-15-4187-g0001.jpg

文献AI研究员

20分钟写一篇综述,助力文献阅读效率提升50倍。

立即体验

用中文搜PubMed

大模型驱动的PubMed中文搜索引擎

马上搜索

文档翻译

学术文献翻译模型,支持多种主流文档格式。

立即体验