Suppr超能文献

肺动脉瓣心内膜炎合并室间隔缺损及冠状动脉疾病时的脓毒性肺栓塞:一例报告

Septic pulmonary emboli in pulmonary valve endocarditis with concurrent ventricular septal defect and coronary artery disease: a case report.

作者信息

Lim Wei Juan, Kaisbain Neerusha, Kim Heng Shee

机构信息

Department of Cardiology, Institute Jantung Negara (National Heart Institute), 145, Jalan Tun Razak, 50400 Wilayah Persekutuan Kuala Lumpur, Malaysia.

Department of Medicine, Hospital Sultanah Aminah Johor Bahru, Jalan Persiaran Abu Bakar Sultan, 80100 Johor Bahru, Johor, Malaysia.

出版信息

Eur Heart J Case Rep. 2022 Apr 12;6(4):ytac162. doi: 10.1093/ehjcr/ytac162. eCollection 2022 Apr.

Abstract

BACKGROUND

Infective endocarditis (IE) is one of the common causes of life-threatening infections. Compared to left-sided endocarditis, right-sided infective endocarditis is rarer, with pulmonary valve endocarditis much rarer than the tricuspid valve. Its diagnosis poses a challenge, owing to its rarity, low index of clinical suspicion, and lack of availability of appropriate diagnostic measures. Risk factors include indwelling central venous catheter, sepsis, intravenous drug use, pacemaker with lead infection, or ventricular septal defect (VSD).

CASE SUMMARY

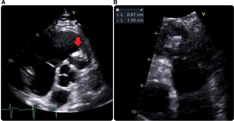
We describe a case of pulmonary valve endocarditis that led to septic pulmonary emboli in a patient scheduled for elective bypass surgery for triple vessel disease. There was an incidental finding of VSD on echocardiography, which is also a risk factor for pulmonary valve endocarditis owing to the jet of VSD to the pulmonary valve. The patient was given 4 weeks of antibiotics and subsequently underwent coronary artery bypass graft, pulmonary valve replacement, and VSD closure.

DISCUSSION

Our case demonstrated the importance of high clinical suspicion and vigilance of diagnosing pulmonary valve endocarditis when dealing with pyrexia of unknown origin in a patient with a congenital VSD as VSD-associated pulmonary valve endocarditis remained a rare disease. Besides, an active search for clinical and radiological signs of pulmonary embolization is necessary in patients with right-sided endocarditis especially those with large and mobile vegetation. A conservative approach or valve repair is recommended for most patients with right sided IE affecting the tricuspid or pulmonary valve.

摘要

背景

感染性心内膜炎(IE)是危及生命的感染的常见病因之一。与左侧心内膜炎相比,右侧感染性心内膜炎较为少见,肺动脉瓣心内膜炎比三尖瓣心内膜炎更为罕见。由于其罕见性、临床怀疑指数低以及缺乏合适的诊断措施,其诊断具有挑战性。危险因素包括留置中心静脉导管、败血症、静脉吸毒、起搏器导线感染或室间隔缺损(VSD)。

病例摘要

我们描述了一例肺动脉瓣心内膜炎病例,该病例导致一名计划接受三支血管疾病择期搭桥手术的患者发生脓毒性肺栓塞。超声心动图偶然发现室间隔缺损,由于室间隔缺损产生的血流喷射至肺动脉瓣,这也是肺动脉瓣心内膜炎的一个危险因素。该患者接受了4周的抗生素治疗,随后进行了冠状动脉搭桥术、肺动脉瓣置换术和室间隔缺损修补术。

讨论

我们的病例表明,在处理先天性室间隔缺损患者不明原因发热时,高度的临床怀疑和警惕性对于诊断肺动脉瓣心内膜炎非常重要,因为室间隔缺损相关的肺动脉瓣心内膜炎仍然是一种罕见疾病。此外,对于右侧心内膜炎患者,尤其是那些有大的、可移动赘生物的患者,积极寻找肺栓塞的临床和影像学征象是必要的。对于大多数影响三尖瓣或肺动脉瓣的右侧感染性心内膜炎患者,建议采取保守方法或瓣膜修复。

https://cdn.ncbi.nlm.nih.gov/pmc/blobs/bdde/9036074/9dc6105980a0/ytac162f1.jpg

文献AI研究员

20分钟写一篇综述,助力文献阅读效率提升50倍。

立即体验

用中文搜PubMed

大模型驱动的PubMed中文搜索引擎

马上搜索

文档翻译

学术文献翻译模型,支持多种主流文档格式。

立即体验